Hallo zusammen,
ein neuer Saftling auf meinen Wiesen sucht einen Namen. Ich haben ihn geschlüsselt und lande makroskopisch bei Ludwig und Boertmann bei Hygrocybe subpapillata. Bei Ludwig fand ich dann noch den Hinweis, dass H. papillata der einzige mit einer so deutlichen Papille ist. Mögliche Verwechslungspartner kommen entweder im Hochgebirge bzw. hoch im Norden vor, oder sind deutlich schleimig, oder aber völlig gelb, passen also alle nicht. Die Freude, dass sich der Pilz so einfach benennen lässt, währte trotzdem nur kurz.
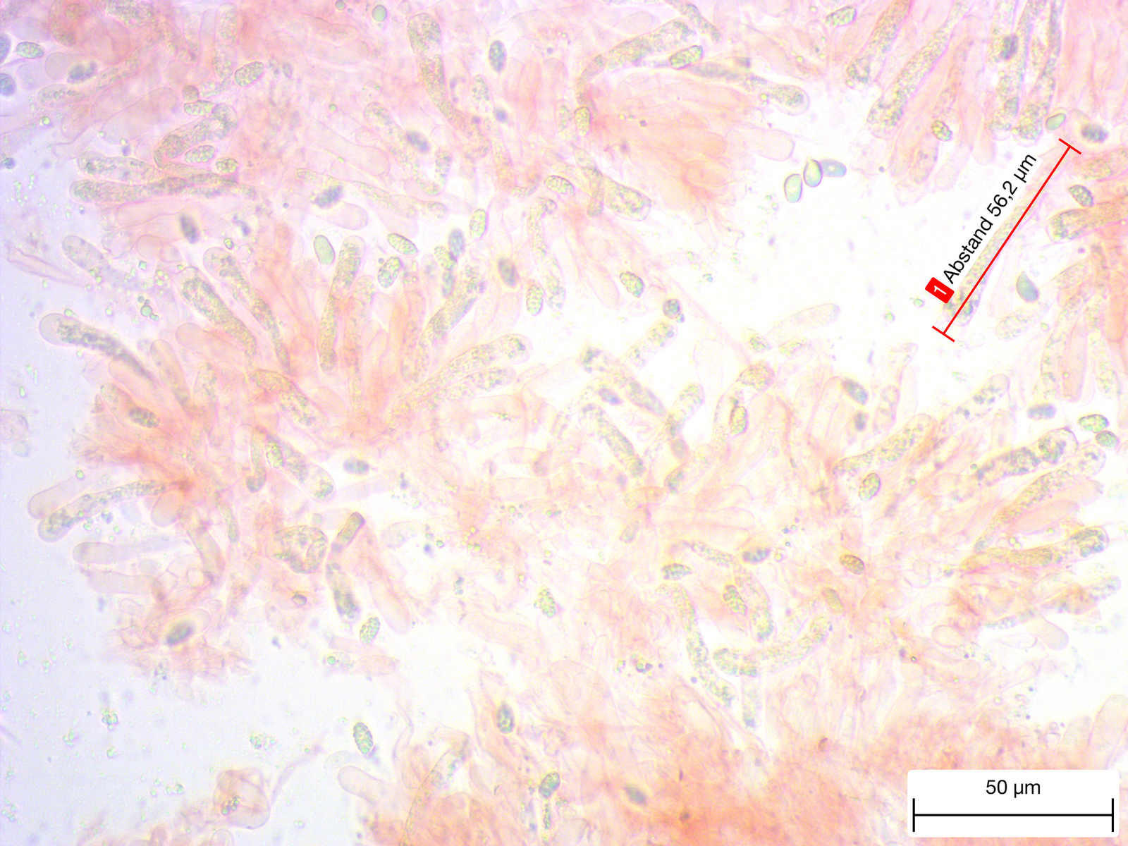
Die Länge der Basidien passt nicht so recht. Meist sind 4 aber manchmal sind auch weniger als 4 Sterigmien vorhanden. Die Länge der Basidien beträgt allerdings schon ohne Sterigmien über 50 µ, sollte aber nur 30 - 40, auf jeden Fall weniger als 50 µ betragen. Ansonsten passen Sporenform, etc. gut. Eine Spore mit Öltropfen, ist deutlich länger ist als die angegebenen 10µ maximal. Vielleicht ist das eine Fremdspore? Die anderen Sporen liegen im Rahmen.
Wie ist eure Meinung zu diesem Pilz.
2- max. 3 cm Hutdurchmesser
zarter und brüchiger als beispielsweise H. coccinea
deutlich abgesetzte Papille in der Hutmitte
geruch und geschmacklos
Huthaut wachsartig bis leicht klebrig, aber nicht schleimig.
Junge FRk rot, später orange nach gelb
radialstreifig vom Hutrand her
Stiel trocken, glatt
Lamellen hell später über gelb nach orange, breit, mit Zahn angewachsen
saure Magerwiese
400 m. ü. NN
Danke fürs Nachdenken!
