Servus,
Ich hatte gestern eine Begnung mit einer Pachyella.
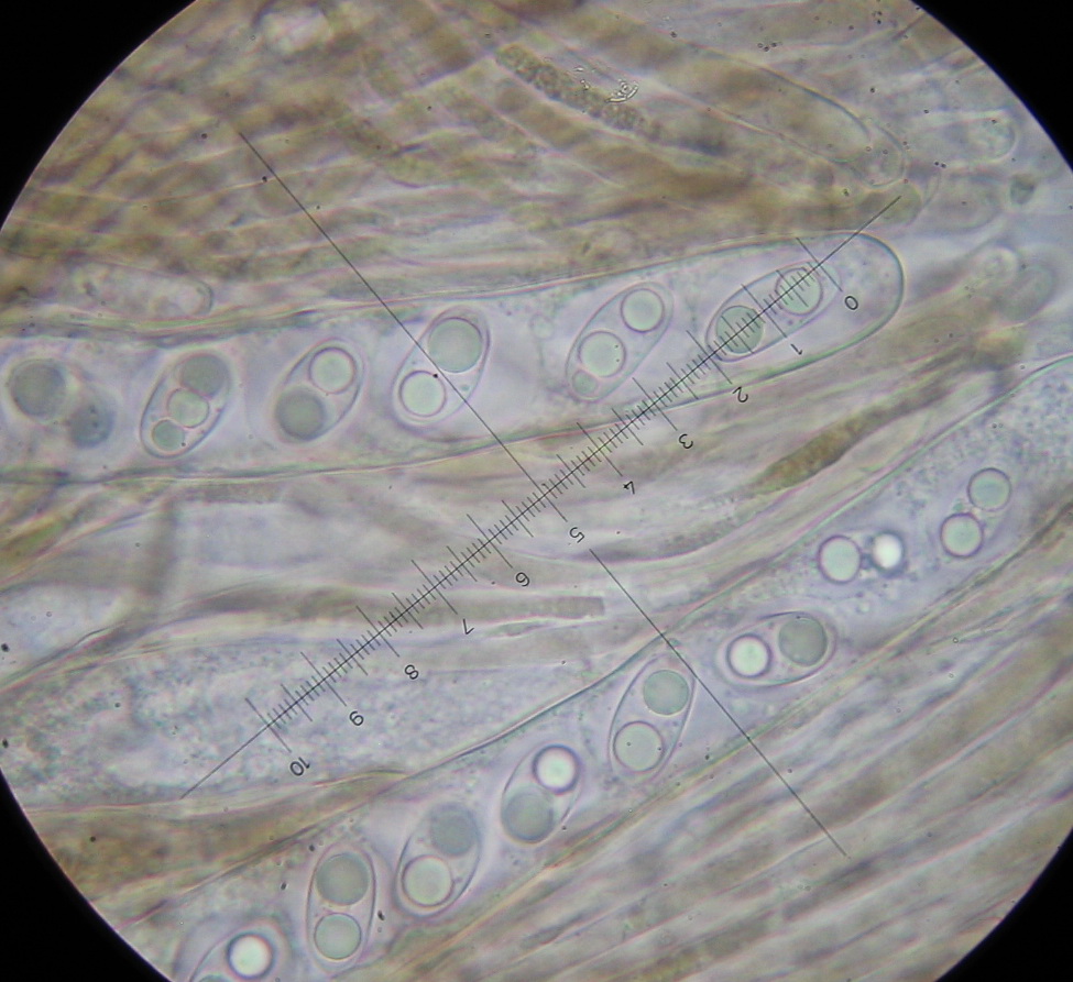
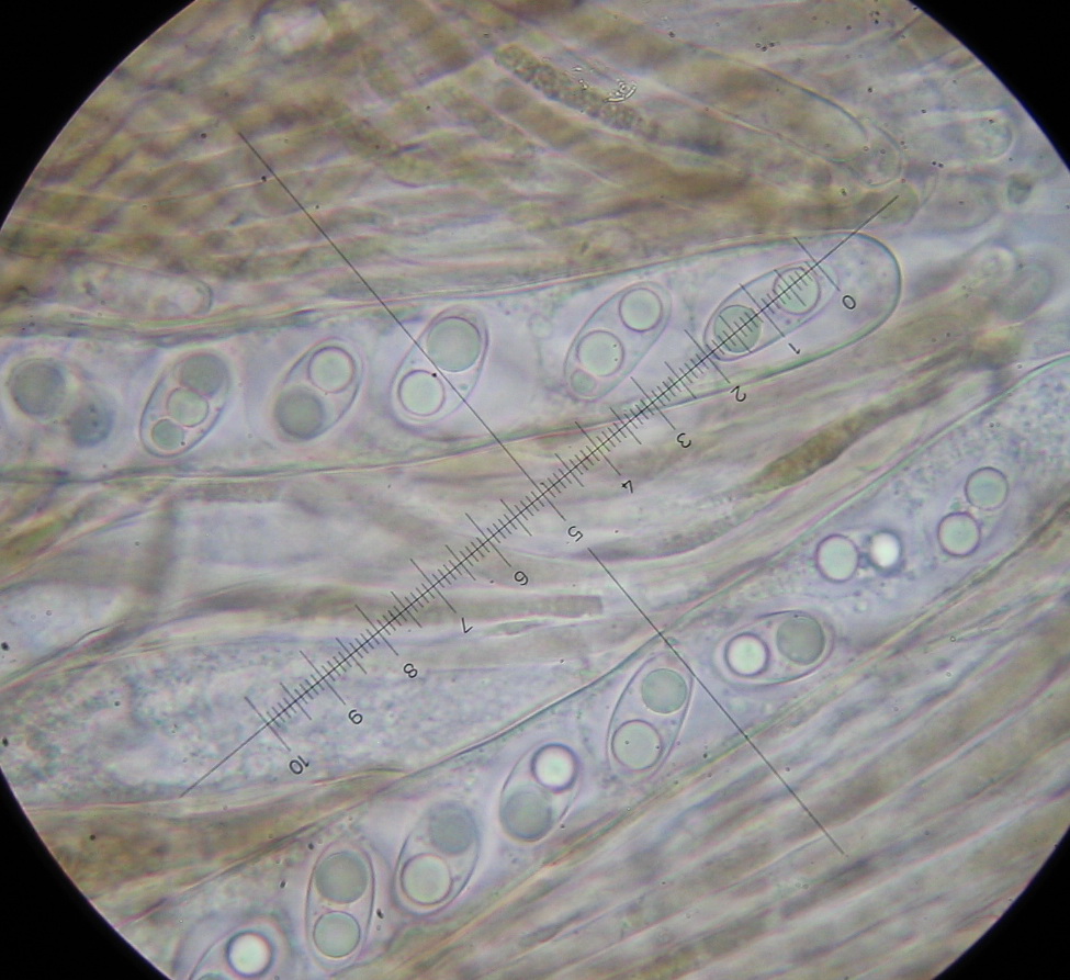
Leider ist sie wie fast immer unreif.
Sporen im Ascus 22-25 x10µ ( unreif daher auch keinerlei Ornamentation)
Asci 420 x 22µ, IKI+,
Paraphysen bis x 8µ an der Spitze mit braunem homogenen Inhalt ( manchmal Tropfen bildend)
Der Rand und die Aussenseite mit gelifizierten Pallisaden
Rand:
Aussen
Dennoch, auf Grund der Größe 4 cm hoch, 6 cm breit,
Bei der Hymeniumfarbe dunkelschwarzbraun-violett würde ich P.violaceonigra ins Spiel bringen,
IKI:
So, wenn nicht die Gelbverfärbung der Schnittstelle wäre, wäre es evtl.einfacher
Und da kommt halt dann P.pseudosuccosa in Frage.
Frischer Schnitt
Schnitt leicht angetrocknet
Schnitt mit 3% KOH
Schnitt leicht angetrocknet auf Objektträger
Hat jemand Interesse das Ding sequenzieren zu lassen Tricholomopsis, oder Till R. Lohmeyer oder ???
Ich lege es heut zum trocknen raus.
Grüße
Felli
