Hallo zusammen,
am Dienstag war ich im Stadtwald an der Stadtgrenze zwischen Duisburg und Mülheim unterwegs und habe mir mal die Mülheimer Seite etwas genauer angeschaut. Eine ziemlich ähnliche Tour habe ich vor genau einem Jahr schon mal gemacht und tatsächlich gab es auch einige Pilze, die ich damals schon gefunden habe, an den gleichen Stellen wieder.
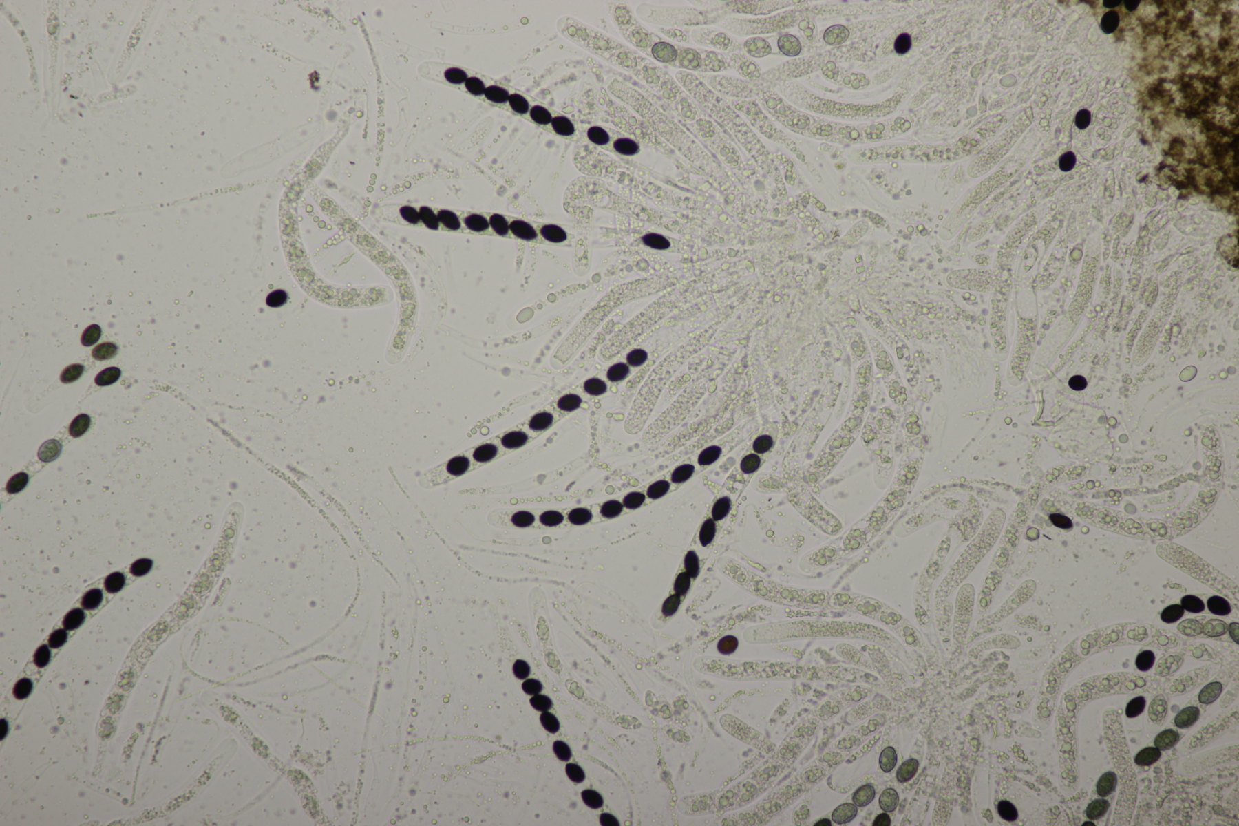
1. Biscogniauxia nummularia
2. Eine Vuilleminia an Alnus glutinosa. Als ich den Fund schon als zystidenlos ablegen wollte, tauchte dann doch eine einzige dickwandige Zystide im Präparat auf. Also V. coryli
3. Tremella mesenterica. Immer wieder hübsch, sowohl von außen als auch von innen
4. Puccinia longicornis auf Bambus
5. Cudoniella acicularis
6. Das sieht mir nach einer Athelia aus. Basalhyphen mit Schnallen, ansonsten ohne Schnallen. Zystiden konnte ich keine finden. Das spräche ja erstmal für das A. epiphylla-Aggregat. Die Sporen von (4.9+-0.6) µm x (3.5+-0.5) µm, Q=1.4+-0.1, (4.2-6.1) µm x (2.9-4.6) µm, Q=1.2-1.7 passen da aber so recht zu keiner Art...
7. Laxitextum bicolor
8. Hypoderma commune an Solidago
9. Tulasnella violea
Björn
