Hallo Zusammen,
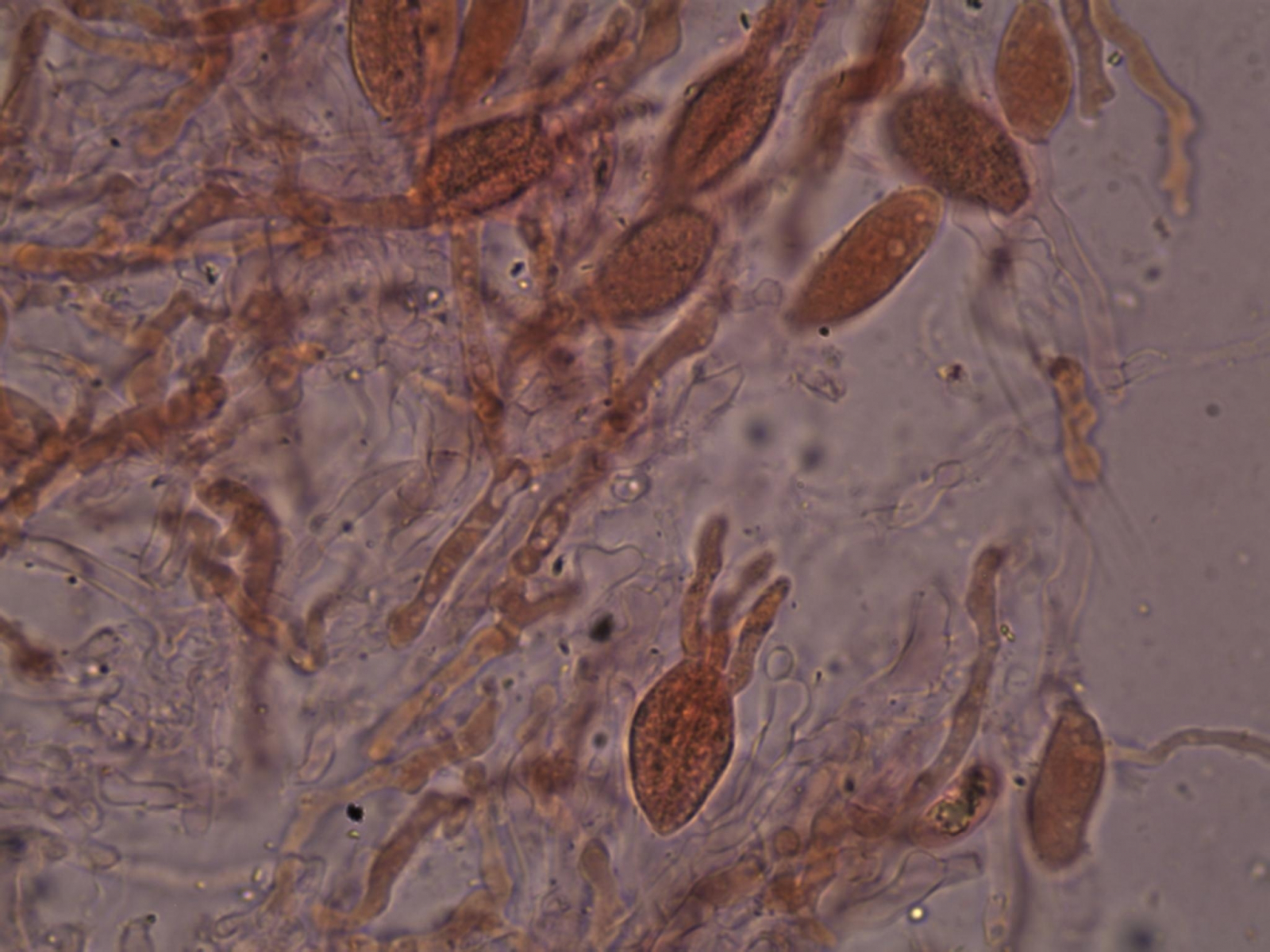
bei dem ersten Pilz dachte ich erst ich hätte mir Sporen und Basidien von einem Drüsling eingefangen, bis ich gesehen habe, dass auch Wachskrusten solche Formen aufweisen.
Wuchs an einem Laubholz Ästchen. Konsistenz in feuchtem Zustand wachsartig.
Momentan lande ich bei Exidiopsis effusa. Kann das hinkommen?
Sporen in Kongo: 14.5 × 5 µm; (12.7) 13.4 - 15.5 (20.6) × (3.7) 4.7 - 5.4 (5.9) µm ; N = 36
Basidien: 16.9 × 8.6 µm; (14) 15.5 - 18.2 (21.1) × (6.9) 7.7 - 9.3 (9.9) µm; N = 18
Pilz 2 ist ein Porling an liegendem Stamm von Laubholz (glaube ich).
Ich dachte erst an Reihige Tramete, aber der Pilz war fest mit dem Holz verwachsen und ließ sich kaum lösen. Die Reihige Tramete soll sich ja leicht vom Substrat lösen.
Mikroskopisch konnte ich nicht wirklich was sehen. Eventuell ein paar Sporen - bin mir aber nicht sicher.
Sporen???
Habt ihr dazu eine Idee?
Gruß Nosozia
