Hallo Zusammen,
dieser Rindenpilz verbreitet sich gerade in unserem Garten an Nadekholzpallisaden.
Momentan tendiere ich zu Phlebiopsis gigantea.
Es könnte aber was aus der Phanerochaete Ecke sein. Bin mir nicht sicher.
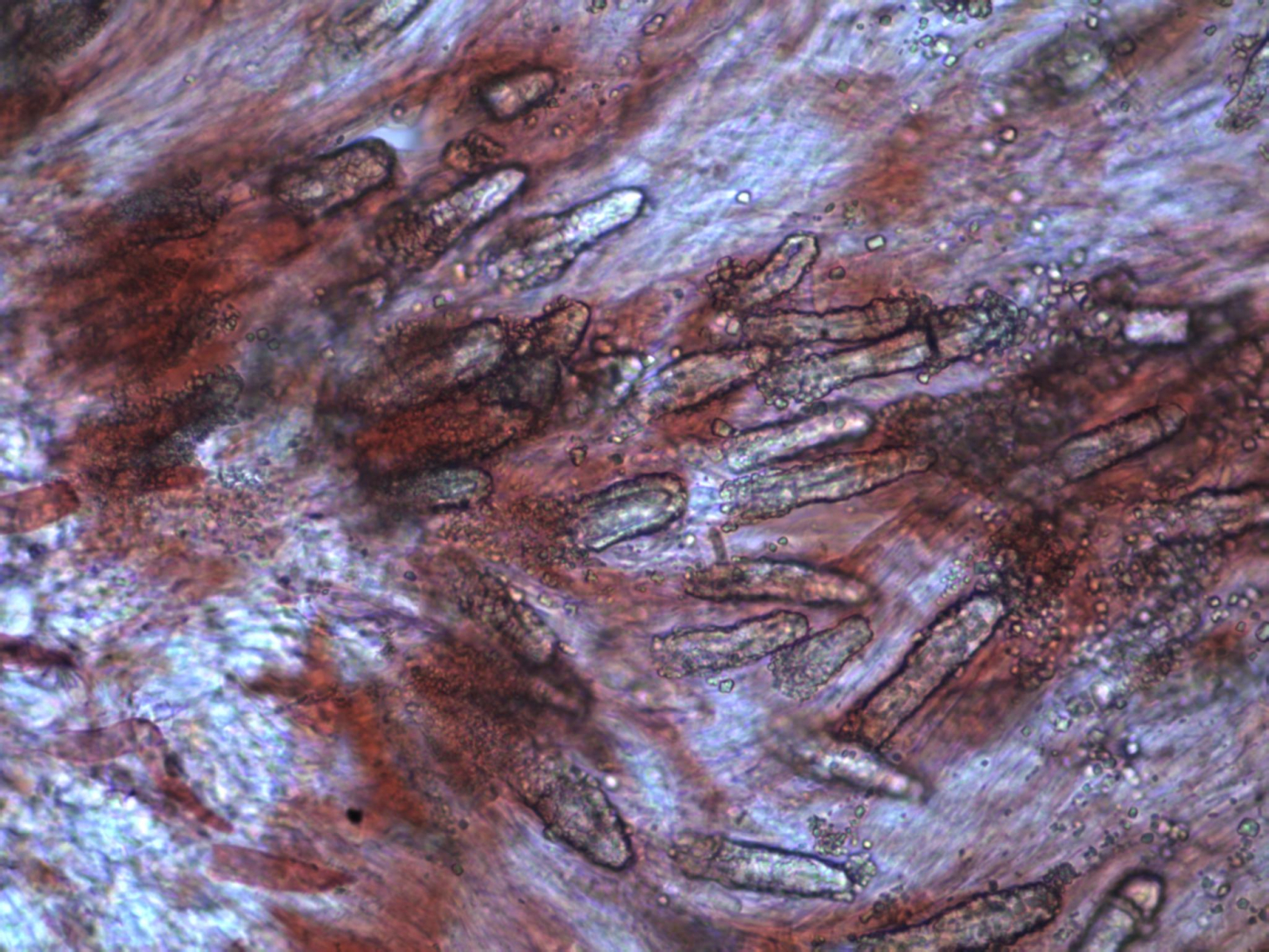
Zystiden sehen denen im Artenporträt sehr ähnlich.
Sporen in H2O: 7.3 × 3.4 µm ; Qe = 2.1; N = 30
(6) 6.7 - 7.8 (8.6) × (2.6) 3 - 3.7 (3.8) µm; Q = (1.9) 1.94 - 2.3 (2.7)
Hyphen:
Was meint ihr?
Gruß Nosozia
