Gleispark Frintrop 16.11.2019

Es gibt 8 Antworten in diesem Thema, welches 6.466 mal aufgerufen wurde. Der letzte Beitrag () ist von boccaccio.

  • Hallo zusammen,


    am Samstag Vormittag war ich auf einer kleinen Runde im Gleispark Frintrop, einem ehemaligen Rangierbahnhof in Essen, der mittlerweile in eine Parklandschaft umgewandelt wurde, aber immer noch Einflüsse der zugrundeliegenden Industrie erkennen läßt. Pilze gibt es dort natürlich entsprechend auch:


    1. Erysiphe tortilis ex Cornus sp.


    2. Rhytisma acerinus und Sawadaea bicornis ex Acer pseudoplatanus


    3. Microstroma album ex Quercus robur


    4. Collybia cirrhata, da ohne Sklerotien


    5. Mucilago crustacea

    Gleispark Frintrop-0012.jpg


    6. Xanthoria parietina


    7. Entoloma sericeum mit Mehlgeruch und isodiametrischen Sporen


    8. Melampsora sp. ex Populus tremula. Hätte ich besser direkt vor Ort gelassen :D


    9. Thelephora terrestris


    10. Phlebia tremellosa


    12. Arcyria sp. Sporengröße (8.3+-0.4) µm. Können die Schleimpilzexperten hierzu Näheres sagen? Mein Eindruck ist, daß sich das Capilittium leicht von Stiel und der unteren Einfassung trennen läßt.


    13. Arcyria stipata


    14. Hier würde ich zu einer Comatricha tendieren. Sporengröße (10.1+-0.3) µm. Was meinen die Experten?


    15. Polyporus badius


    16. Und wer genau hinschaut, erkennt bei Nr. 14 natürlich noch einen Rindenpilz im Hintergrund. Der entpuppte sich dann mit einem Blick als Phlebiopsis gigantea.


    Björn

  • Hallo Björn,

    tolle Doku von Deiner morgentlichen Runde!

    Zu Deinen unbestimmten Myxos: die erste rote Arcyria erinnerte mich erst makroskopisch an Arcyria denudata. Leider ist sie noch nicht richtig reif, da man da erst sieht wie sich da Capillitium entfaltet. Man erkennt aber das der Kelchbecher recht tief ist. Deine Bemerkung, das das Capillitium leicht vom Becher zu trennen ist, ist auch wichtig.

    Zusammen mit der Sporengröße und dem stark skulpturierten Capillitium käme ich jetzt auf Arcyria affinis. Das ist eine Art die oft im Spätherbst erscheint.

    Die von Dir richtig eingeordnete Comatricha würde ich anhand der Sporengröße und Skulptur sowie des dichten Capillitiums für Comatricha nigra halten. C. nigra kommt auch im Winterhalbjahr häufiger vor.

    LG Ulla

  • Hallo Ulla,


    vielen Dank für dein Feedback zu den Schleimpilzen. Hätte man die Arcyria noch irgendwie nachreifen lasse können? Ich hatte die jetzt einfach zu Hause trocken gestellt um sie im Bedarfsfall an Jan-Arne weiterreichen zu können.


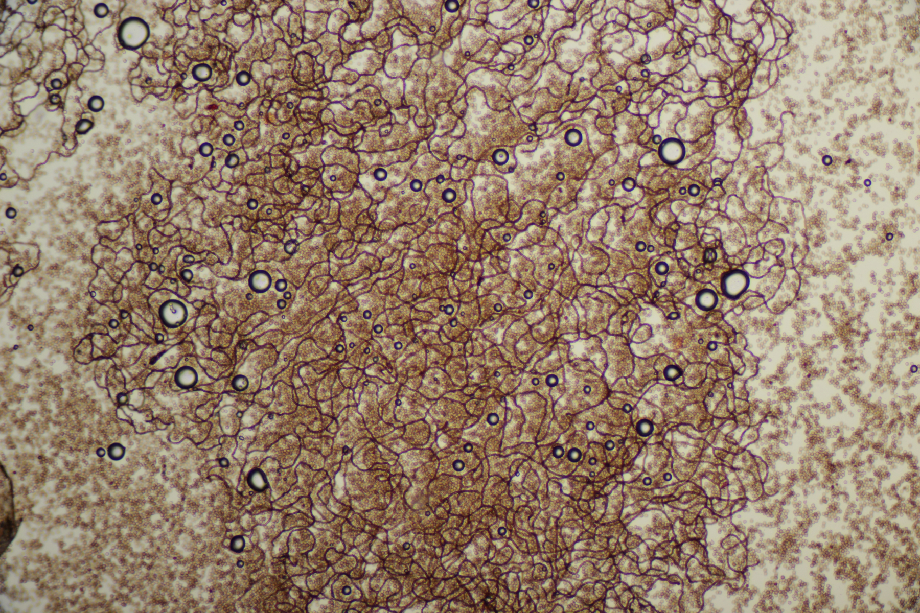
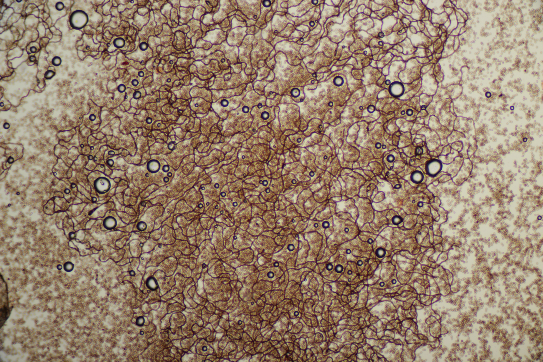
    Außerdem habe ich jetzt auch noch die Xanthoria unters Mikroskop gelegt:

    Sporen

    Asci in Lugol

    Asci und Paraphysen in Wasser

    Und am Ende mit etwas KOH versetzt

    Gleispark Frintrop-0077.jpg


    Björn

  • Hallo Björn,

    das Nachreifen von Schleimlingen ist immer so ein Problem. In dem Zustand wie Du sie fotografiert hast kann es eigentlich reichen sie langsam trocknen zu lassen (also nicht gleich auf die Heizung). Aber manchmal hat man auch Pech das das nicht klappt. Der passende Moment muß es eben sein. Ist immer etwas Glück dabei. Kommt auch auf die Gattung oder Art an. Eventuell noch etwas in der feuchten Kammer liegen lassen, aber nicht zu lange oder zu feucht, dann schimmelts.

    Myxomyceten sind eben empfindliche Wesen ==16==3 !

    Jan-Arne kann sie ja nochmal unters Mikro quetschen.

    LG Ulla

    • Offizieller Beitrag

    Hallo, Björn!


    Hast du bei der Phlebiopsis gigantea auch die basalen Hyphen (Subikulum, substratnah) angeguckt?
    Irgendwie sieht die komisch aus. Phlebiopsis bildet ja normalerweise ziemlich fette, fruchtkörper mit allerhand komischen Oberflächenstrukturen und bildet Fruchtkörper meistens an sehr frischem, noch komplett berindetem Nadelholz.

    Kann zwar auch gut sein, daß die Bestimmung so passt, denn wenn sie sich entschließt, an einem so ziemlich verbrauchten Substrat nochmal Fruchtkörper zu bilden, dann dürften die auch anders aussehen (zB viel dünner, wie hier). Oder aber, du hast doch eine Phanerochaete gefunden. Wo die eine oder andere Art bis auf die basalen Hyphen wirklich erstunlich ähnlich sieht.



    LG; Pablo.

  • Hallo Pablo,


    vielen Dank für den Hinweis. Genau als das hier gezeigte hatte ich leider nicht reingeschaut, weil das ja auch irgendwie nur ein Beifang war. Der kleine Beleg ist auch mittlerweile komplett eingetrocknet (und zusätzlich von der Comatricha besiedelt), so daß wohl ein unentschiedener Fall bleiben muß.


    Björn

    • Offizieller Beitrag

    Hllo, Björn!


    Nervermind. Es ging ja in erster Linie wohl wirklich um die Comatricha, und die mag anscheinend wie viele andere Schleimis gerne solche Krusten.

    Möge es gemundet haben. :gzwinkern:



    LG; Pablo.

    • Offizieller Beitrag

    Ein spätes Hallo!


    Ich hatte die Arcyria nun unterm Mikro. Für mich passt Arcyria affinis ohne Zweifel.

    Mittlerweile hatte sich übrigens beim Beleg beinahe bei allen Sporocarpien das Capillitium vollends von selbst gelöst.

    Beim nächsten Mal bin ich wieder schneller. ==11


    LG, Jan-Arne