Octospora ithacaensis - gleich zweimal im Lotto gewonnen?

Es gibt 11 Antworten in diesem Thema, welches 5.305 mal aufgerufen wurde. Der letzte Beitrag () ist von beatephmc.

  • Schaut mal, das hier ist mein Lottogewinn Nr.1 - mein erstes Mikroskop! Es ist ein nagelneues Motic Panthera C Trinocular. Kostenpunkt neu eigentlich 1800 Euro. Aber da war dieser Typ, der es mit einem Computer des gleichen Namens verwechselt hat. (Kein Blödsinn, sowas gibt es wirklich...) Und der hats in der Bucht für 450 Euro an mich verkauft =o)))) Und das Allerbeste: es funktioniert einwandfrei und wurde bereits von meinem Pilzguru Ralf als klasse befunden. (...tausend Dank nochmal für Deine Expertise, lieber Ralf!) So sieht es aus:



    Und um auch was drunterlegen zu können, bin ich schnell um die Ecke hinters Altenheim gelaufen, um trotz beißender Kälte noch ein paar Pilzchen zu finden. Und - bingo! Ein nettes gelboranges Becherchen in Brunnenlebermoos, das sich rund um mehrere große Steine an einem Spazierweg angesiedelt hatte. Aber Moment mal - Brunnenlebermoos? Das könnte ja sogar etwas richtig Schickes sein! Au weia, und ich sitz erst das dritte mal hinter einem Mikroskop und hab weder Ahnung noch Fotoadapter, Meßplatte oder Chemikalien. Na, egal. Also hier erst mal makroskopisch:







    Durchmesser des Größten Becherchens ca.2mm. Ich habe leider so gut wie keine Ahnung von Ascos, aber bei reichlich Nachforschung bin ich auf diese Arbeit hier gestoßen:

    Benkert, D. 1998b. Beiträge zur Kenntnis bryophiler Pezizales-Arten. 7. Octospora ithacaensis. - Zeitschrift für Mykologie 64: 41-44.

    Den findet Ihr hier:
    https://www.dgfm-ev.de/publika…pora-ithacaensis/download


    Ich habe ziemlich viel rumgesucht, und ich könnte mir wirklich vorstellen, daß die Becherchen Lottogewinn Nr. 2 sind, Ocrospora ithacaensis. (Ich bin aber auch sehr gespannt auf Eure Gegenvorschläge!)

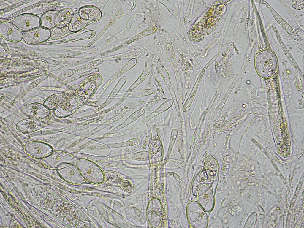
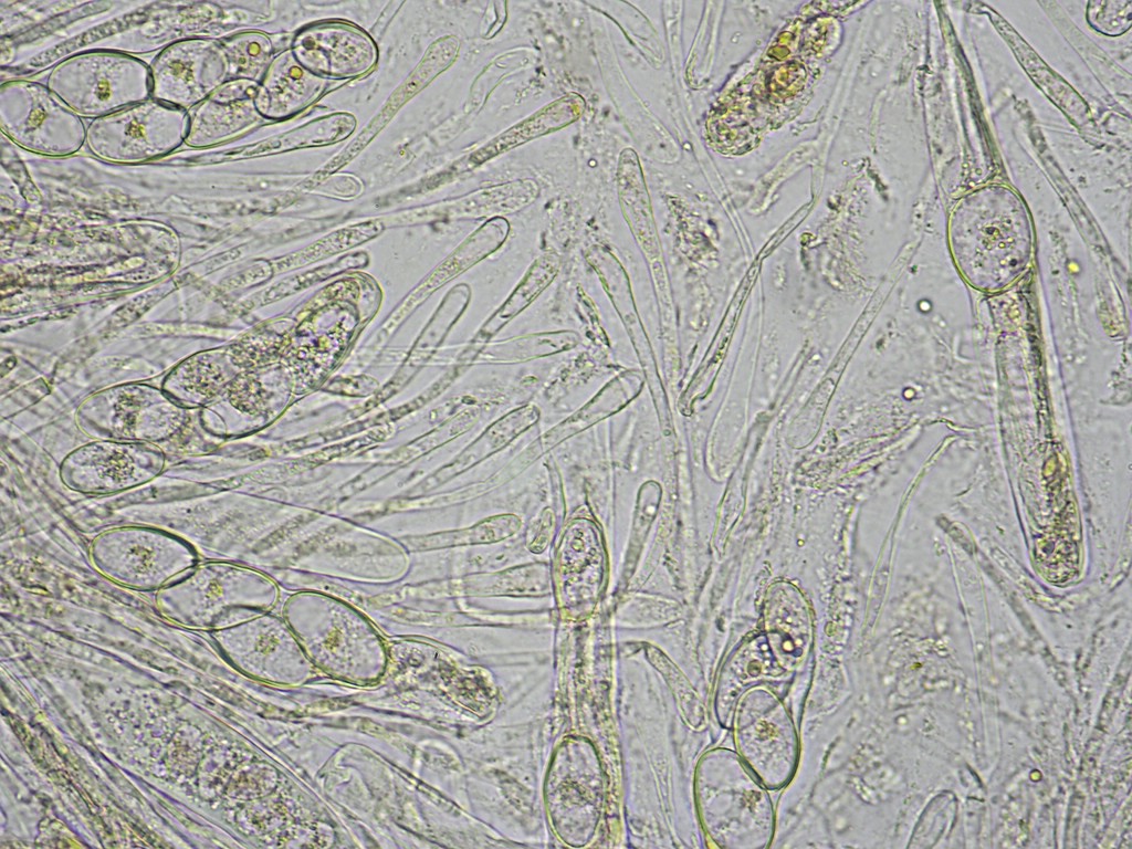
    Wenigstens makroskopisch passt das alles schon ganz prima, finde ich. Bei meinen ersten mikroskopischen Gehversuchen wurde aber leider schnell klar, daß die Sporen noch nicht reif sind. Es waren auch so gut wie keine frei schwimmenden Sporen auffindbar.

    Ich hab aber trotzdem einfach mal die Kamera vor den Tubus gehalten und ganz einfach in Wasser ein paar Aufnahmen gemacht. Ich hab ehrlich noch überhaupt keine Ahnung und keinerlei Übung, also verzeiht mir bitte die dilettantischen Fotos. Aber vielleicht kann man ja doch schon irgendetwas erkennen?

    Hier zwei erste Übersichtsaufnahmen. Wenn ich es richtig sehe fällt auf, daß, wie es auch bei O. ithacaensis zu erwarten wäre, die Sporen manchmal uni- und manchmal biseriat angeordnet sind.




    So sehen die noch unfertigen Sporen in den Asci aus:





    Hier habe ich mich bemüht, die Paraphysen etwas deutlicher zu zeigen:






    Bei manchen Sporen (aber nur bei denen ganz oben im Ascus) meine ich sogar Anzeichen für eine warzige Granulation der Sporenhülle zu sehen. Das kann aber natürlich auch Wunschdenken sein, es erschien mir aber bei folgenden Bildern als immerhin möglich:




    Einige wenige Sporen wirkten auch, als hätten sich schon die zu erwartenden 2 Öltröpfchen gebildet:




    So, jetzt hab ich Euch ja ganz schön mit Komplettanfängerfotos bombardiert, und es ist ein echt langer Bericht geworden. Vielleicht ist das hier ja auch alles völlig irrelevant weil man in so einem Stadium gar keine Aussagen machen kann. Aber so oder so würde ich mich wirklich über ein paar Hilfestellungen freuen. Vielleicht läßt der Frost ja noch ein paar reifende Becherchen übrig, dann würde ich mich sehr über Vorschläge freuen, wie man sowas dann richtig mikroskopiert. Das Mikrometer ist jedenfalls auf dem Weg, damit ich dann demnächst auch mal was messen kann. Das kommt aus China. (Chrr, das ist nämlich der Nachteil an meinem neuen Schätzchen: da kostet eine Original Schnittplatte ungefähr so viel wie meine Haushaltskasse für den Monat =o))) LG an alle und Danke für Eure Geduld!

    Beate.

  • Hallo Renate,


    das ist ja super, daß das mit dem Mikroskop dann alles so super geklappt hat!


    Was das Moos und den Pilz angeht: Von Moos habe ich ja keine Ahnung, aber der Pilz erinnert mich stark an Octosporopsis nicolaii, womit der Wirt dann Lunularia cruciata wäre. Und jetzt beim zweiten Blick sehe ich auch die halbmondförmigen Dinger auf den Moosblättchen! Auch ein toller Fund, der bei Pilze-Deutschland bislang nur mit Funden aus Bochum und Düsseldorf eingetragen ist!


    Björn

  • Glückwunsch, Beate, sowohl zum neuen Mikroskop als auch zu dem tollen Fund!:thumbup:

    Ich habe keine Zweifel an Octosporopsis nicolai, wie von Björn vorgeschlagen.

    Dafür sprechen neben dem Substrat auch die charakteristischen Sporen, die man so bei Octospora nicht findet.


    Im Forum wurde die Art von Thorben schon einmal vorgestellt. Hier zum vergleichen.

    Den wunderbaren Artikel "Octosporopsis nicolai - ein rätselhafter Vertreter aus der Familie der Pyronemataceae" von Lindemann et al (Z.Mykol. 80/2, 2014) findest Du hier als PDF zum download.


    Vielen Dank für die Vorstellung dieser Art. Sowohl die Makro- als auch Mikrofotos sind ausgezeichnet gelungen!


    Liebe Grüße

    Nobi

    Hier geht es zu meinen Themen.

    -------------------------------------------------------------------------------------------------------------------------------------------------------------------------------------------------------

    Chips: 72

  • ...oh, ganz ganz toll daß Ihr den trotz allem bestimmen konntet! Und, Nobi, ganz herzlichen Dank für den tollen Link, das ist ja wirklich sehr interessant. Mir war nicht mal die Gattung bekannt. UH. Es gibt noch sooo viel zu lernen! Aber durch Euch wird das alles sehr viel leichter und macht einfach ungeheuer Spaß. (Außerdem fürchte ich fast, daß mich Ralf mit seinem Asco-Virus angesteckt hat. Ich fühle mich schon etwas befallen =o)) LG!

  • Klasse, dass du so ein tolles Mikroskop bekommen konntest. Da tun sich ganz neue phantastische Welten auf. Viel Freude und neue Erkenntnisse damit.

    Viele Grüße

    Thomas

    AUCH VON MIR KEINE ESSENSFREIGABE. EINE BESTIMMUNG IST OHNE JEDE GARANTIE.

  • Hallo Beate,


    dass sehe ich wie meine Vorredner, denn dein Pilz ist Octosporopsis Nicolai.

    Dieser Pilz ist auf Lunulara cruciata (Mondbechermoos) und auf Marchantia polymorpha (Brunnenlebermoos) zu finden, wächst gerne auch neben dem Moos und kann auch in weiß erscheinen.

    Wenn du einmal einen Fundort hast, dann sind die Pilze relativ Standorttreu, es sei denn dem Moos passiert etwas.


    Die Octospora ithacaensis wächst übrigens auf Marchantia polymorpha, hat warzige Sporen mit 2 Guttulen.

    Dein Moos ist eine Lunularia cruciata, weshalb die O. ithacaensis wegfällt, aber es gibt einen Fund von mir von einer ähnlich aussehenden Octospora ithacaensis, die auf Lunularia cruciata wächst (Siehe hier).

    Es handelt sich dabei wohl um eine unbeschriebene Art.


    Ich bin gespannt was du noch für Pilze finden und Mikroskopieren wirst, mit einem Mikroskop tauchst du gleich in eine neue spannende Welt ein :)


    VG: Thorben

  • @Thorben:

    Heißen Dank für den Link, die Microfotos sind grandios und jetzt weiß ich auch mal, wie Octospora ithacaensis in Abgrenzung zu Octosporopsis nicolai aussehen sollte und wo die (offensichtlichen) Unterschiede liegen. Ist ja interessant daß O.i. doch auch auf Lunaria cruciata vorkommt, da hätte es die ja tatsächlich auch auf "meinem" Moos geben können =o)) Besonders spannend fand ich auch, daß ich jetzt weiß wie deutlich sich an der Sporenhülle ein Sporenornament zeigt, und daß das, was ich für ein mögliches Ornament gehalten habe, meilenweit weg davon ist. Im Moment muß ich erstmal lernen, an den Strukturen innen und außen zu unterscheiden... Sag mal, es gibt ein Foto in Deinem Bericht (Nr. 6) , in dem das Sporenornament so ganz deutlich wird. Hast Du da eine Färbetechnik angewendet (für mich Laien sieht das erst mal gar nicht so aus) oder hast Du Streiflicht dafür erzeugt oder sowas? Das Foto ist ja total plastisch. Ist das eine Technik?


    Und an alle nochmal ein herzlicher Dank für die Ermutigungen und die netten Glückwünsche zu meinem neuen Schätzchen! Das war auch für mich ein sehr spannender Einstand und das Ende aller Fragen, warum ich meinte, mir ein Mikroskop leisten zu müssen =o))

  • Hallo Beate,


    wenn du mit Sporenornamenten experimentieren willst, bieten sich auch Rostpilze ganz gut an. Du kannst ja mal die Brombeeren in der Umgebung nach gelb-orangen Pusteln auf der Blattunterseite absuchen. Da hast du dann jede Menge stachelige Uredosporen.


    Björn

  • Hallo Beate,

    wie Octospora ithacaensis in Abgrenzung zu Octosporopsis nicolai aussehen sollte und wo die (offensichtlichen) Unterschiede liegen. Ist ja interessant daß O.i. doch auch auf Lunaria cruciata vorkommt, da hätte es die ja tatsächlich auch auf "meinem" Moos geben können =o))

    Bitte nicht falsch verstehen, aber die O. ithacaensis wächst nur auf dem Brunnenlebermoos, mein Fund ist etwas anderes, da das Sporenornament und die Sporengröße anders ist.

    Leider gibt es keine weiteren Funde dieser Art, weshalb man keine weiteren Untersuchungen machen kann.


    Sag mal, es gibt ein Foto in Deinem Bericht (Nr. 6) , in dem das Sporenornament so ganz deutlich wird. Hast Du da eine Färbetechnik angewendet (für mich Laien sieht das erst mal gar nicht so aus) oder hast Du Streiflicht dafür erzeugt oder sowas? Das Foto ist ja total plastisch. Ist das eine Technik?

    Es gibt viele verschiedene Sporenornamente, manche kannst du gut in Wasser erkennen (wie in meinem Fall) und andere musst anfärben (z.B: mit Baumwollblau).

    Das Problem ist, dass viele Sporen überhaupt kein Ornament besitzen, eines besitzen was du nur durch ein Rasterelektronenmikroskop sehen kannst, Ornament schwach ausgeprägt ist oder nur durch das anfärben zu sehen sind. Bei manchen Sporen kann sich das Sporenornament auch lösen.

    Bei meinem Bild kam noch der Vorteil hinzu, dass die Spore und auch das warzige Ornament groß waren, was sehr vorteilhaft ist.


    VG : Thorben

  • Hallo Thorben,

    Bitte nicht falsch verstehen, aber die O. ithacaensis wächst nur auf dem Brunnenlebermoos, mein Fund ist etwas anderes, da das Sporenornament und die Sporengröße anders ist.

    ...danke für die Richtigstellung! (Wer lesen kann ist klar im Vorteil =o) Aber dann kann ich die Stellen bei mir ja noch mal absuchen (es sind drei verschiedene) Vielleicht verbirgt sich ja da irgendwo auch Deine geheimnisvolle Art! Ich bin grad übrigens kurz weggeflogen beim Betrachten Deines Pilzfotostreams - wunderschön! Das Schwebfliegenauge ist wirklich der Hammer. Besten Dank für Deine Hilfe und LG, Beate.