Hallo zusammen,
scheinbar geht auch bei den Pilzen momentan der Trend zum Studium. So fand ich auf dem Weg von der Arbeit nach Hause die folgenden vier Pilze auf dem Campus Duisburg der Uni Duisburg-Essen.
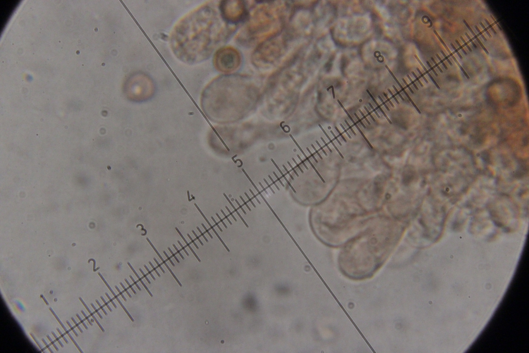
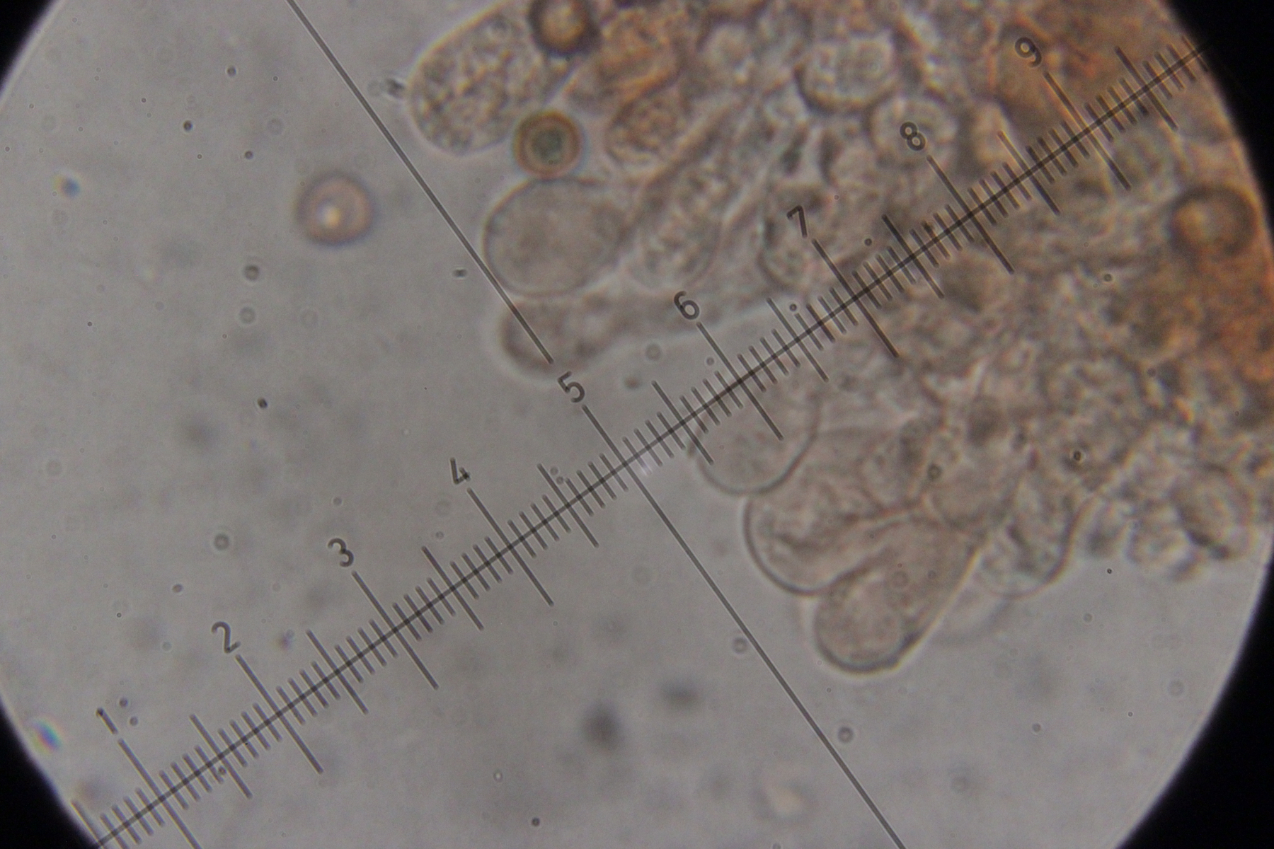
1. Zunächst mal ein Agaricus sp. mit Sporengröße (5.65 +- 0.4) µm x (4.5 +- 0.2) µm, pilzigem Geruch, doppeltem Ring und einer nur sehr langsamen und geringen Verfärbung des Fleisches in Bräunliche beim Durchschneiden. Insgesamt ein sehr fester Pilz. Karl hat in der Zwischenzeit auf FB A. bitorquis als heißen Kandidaten genannt.
2. Das würde ich für eine Melanoleuca halten. Mikroskopiert habe ich nicht, aber ich werden heute Abend vielleicht mal einen Fruchtkörper einsacken.
3. Puccinia punctiformis ex Cirsium arvense II
4. Eine Taphrina auf Prunus serotina. Das müßte dann T. farlowii sein, wobei die normalerweise nur Blätter befällt und nicht derartige Narrentaschen an den Früchten verursacht.
Björn
