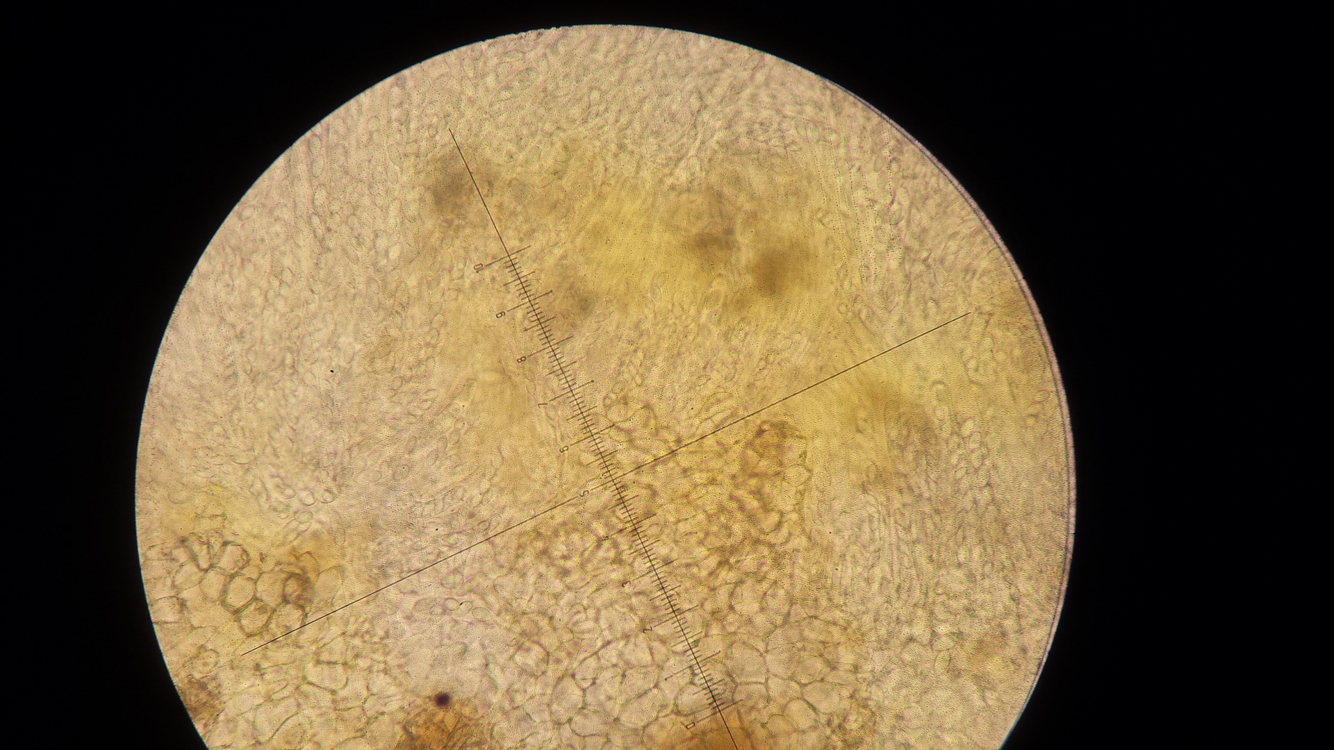
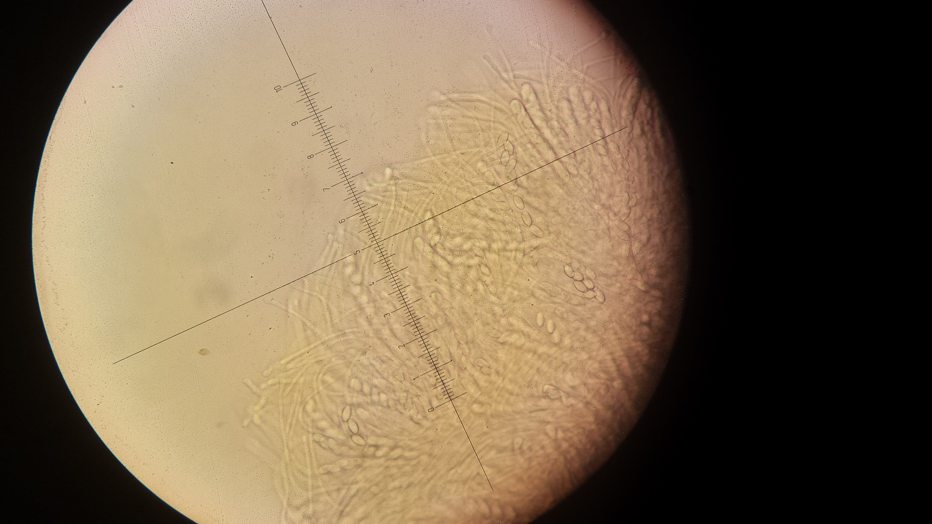
Außer den schon gezeigten zwei Arten (und Ascobolos albidus, der einfach immer wieder hübsch ist) , gibt es noch kleine weiße Kügeln, auch ziemlich vie Paraphysen, abr die nicht kopfig, Spoen 23 X 10 µm, ich fand auch die Sporenform bemerkenswert - ich hab nur keine Idee und ande auch im Schlüssel immer bei Zeugs, was nicht sein kann.... Für Hinweise bin ich dankbar..
Noch mehr Reh
- Hagen Graebner
- Erledigt
Es gibt 2 Antworten in diesem Thema, welches 1.497 mal aufgerufen wurde. Der letzte Beitrag () ist von Hagen Graebner.
-
-
Ist das nicht das Gleiche, was Du unter Thelebolus microsporus angefragt hast, Hagen?
Also, das ist dann schon ein Ascobolus, evtl. A. furfuraceus.
Aber im unreifen Zustand natürlich nicht wirklich bestimmbar.
LG, Nobi
-
Könnte ich die Bilder verwechselt haben? Na, ich warte mal, auch davon gibts genug.Erschienen mir auch unreif und die Seten waren nicht kopfig.
