Hallo ihr lieben,
war gestern und heute mal ein bisschen im Wald (speziell Märchenwald und mein Sandkasten); in der Hoffnung vielleicht doch eine Frühjahrslorchel zu finden und dann musste ich ja auch noch neuen Hasen- und Pferdedung mitnehmen. (beim alten war halt die "Luft" raus).
Gut Frühajhrslorcheln hab ich leider keine gefunden; dafür aber das.
Lamellenpilze im Frühjahr, die ich nicht kenne und denen ich auf Anhieb keine Gattung zuordnen kann; das gibts leider! ![]()
10 m weiter nochmal; vielleicht die gleiche Art; vielleicht auch nicht. Insgesamt größer. Der Hut ist 3 cm breit und der Stiel 5 cm lang.
Also hab ich die mitgenommen und unters Mikro gepackt. Sch***, wie befürchtet. Der typische Entoloma-Habitus der Fruchtkörper war nicht zu übersehen. ![]()
Die Sporenmaße waren in beiden Fällen 8-11 x 6-8 µm groß. (im Mittel: 10-7 µm); teilweise mit einem deutlichen Sterigmenrest. Cheilos konnte ich bei beiden nicht sehen.
Nun erst mal zur Makroskop. Beschreibung. Die ersten Fruchtkörper waren sehr klein; der Hutdruchmesser war kaum größer als 1 cm. Einen besonderen Geruch konnte ich nicht ausmachen; hat aber leider wenig zu sagen, da ich gerade erkältet bin und nicht so gut riechen kann. In der Nähe waren nur Birken und Kiefern; gefunden auf kargem Sandboden im April. Die Huthaut war glänzend und die Fruchtkörper scheinen bei Alter/Trockenheit zu Schwärzen.
Ebenso die 2. Fruchtkörper; keinen nennenswerten Geruch ausmachen können. Dei Hauthaut ist etwas feaseriger eingewachsen als die die erste Kollektion. Eine Schwärzung konnte ich nicht ausmachen. Unter der Lupe konnte ich einen deutlichen weißen Mycelbewuchs an beiden Kollektionen ausmachen. Der Hut war unter der Stereolupe deutlich gerunzelt.
Stiel Kollektion klein
Stiel Kollektion groß
Huthaut klein:
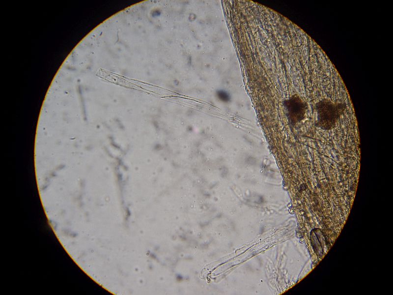
Huthaut groß:
In beiden Fällen besteht die Huthaut aus dünnen Hyphen mit sporadischen haarigen Gebilden. Bei der Kollektion groß (die 2.) ist auch noch ein "Gefizzel" aus dicken Hyphen zu sehen. (Bild 2+3 von Huthaut groß). Schnallen konnte ich nirgends sehen.
Bestimmbar? Dei Fruchtkörper kommen über Nacht in den Kühlschrank und wenn ich noch was nachmikroskopieren muss, dann werde ich das morgen gern tun.
l.g. und danke schon mal
Stefan
