Also ich versuche mich mal wieder an Trameten.
Da gibt es immer wieder Exemplare, die mir die Fragezeichen auf die Stirn bringen.
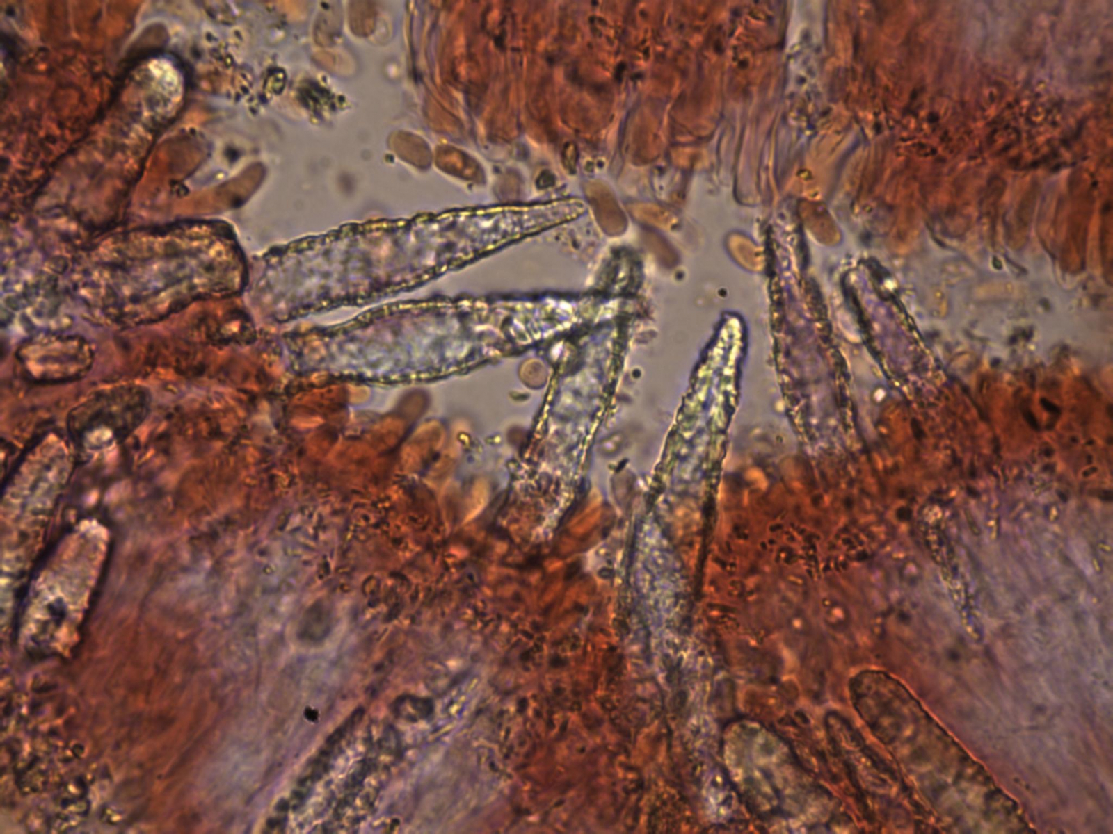
Hier habe ich ein Exemplar, welches stark striegelig ist. Die Anwachstelle ist 1cm dick und die Sporen sind eigentlich für die Striegelige Tramete zu dick.
Poren sind rundlich.
Sporenabwurf in H2O: 6.9 × 2.6 µm ; Qe = 2.7; N = 30
(6) 6.4 - 7.4 (8.3) × (2) 2.2 - 2.9 (3.4) µm; Q = (2.1) 2.4 - 3.1 (3.5)

Hier denke ich an Zonentramete (Trametes occhracea).
Und dann sind da noch diese:
Anwachstelle nicht so dick, aber insgesammt eigentlich zu dick für Schmetterlingstramete:
Sporen H2O: 6.1 × 2.4 µm ; Qe = 2.6; N = 30
(5.2) 5.5 - 6.6 (6.9) × 2 - 2.8 (3.1) µm; Q = (2) 2.2 - 2.8 (3.2)



Tja - wasndasschonwieder?
Und dann noch diese.
Frisch recht "fleischig" (0,3 cm) und sehr dunkel. Aber eigentlich zu dick für Schmetterlingstramete. Erinnert mich farblich eher an einen Wurzelschwamm.
Sporen H2O: 5.1 × 2.3 µm ; Qe = 2.2; N = 30
(4.5) 4.9 - 5.5 (5.8) × (2.1) 2.2 - 2.5 (2.7) µm; Q = (2) 2.1 - 2.3 (2.4)



Da fällt mir nicht wirklich was zu ein.
Tja, also das mit den Sporengrößen hilft nicht wirklich.
Nebenbei bemerkt konnte ich auch noch nie bei eindeutigen Schmetterlingstrameten die Breite von 1,5 - 2µm messen. Bei mir sind es eher um die 2µm im Mittel.
Habt ihr Vorschläge dazu?
Gruß Nosozia