Beiträge von Clavaria
-
-
Hallo zusammen
Vergangene Woche habe ich im schönen Entlebuch verbracht (für alle die sich jetzt am Kopf kratzen: das ist eine Region im Kanton Luzern).
Dort findet jedes Jahr eine sehr sympathische mykologische Studienwoche statt.
Obwohl es wirklich feucht genug war, hielten sich die Pilze sehr bedeckt. Es gab wenige aber dafür schöne Kollektionen, kaum Leichenfledderei.
Der Mangel an Pilzen führte unvermeidlich zu einem verstärkten Besuch in Gaststätten.

Hier ein paar schöne Funde:
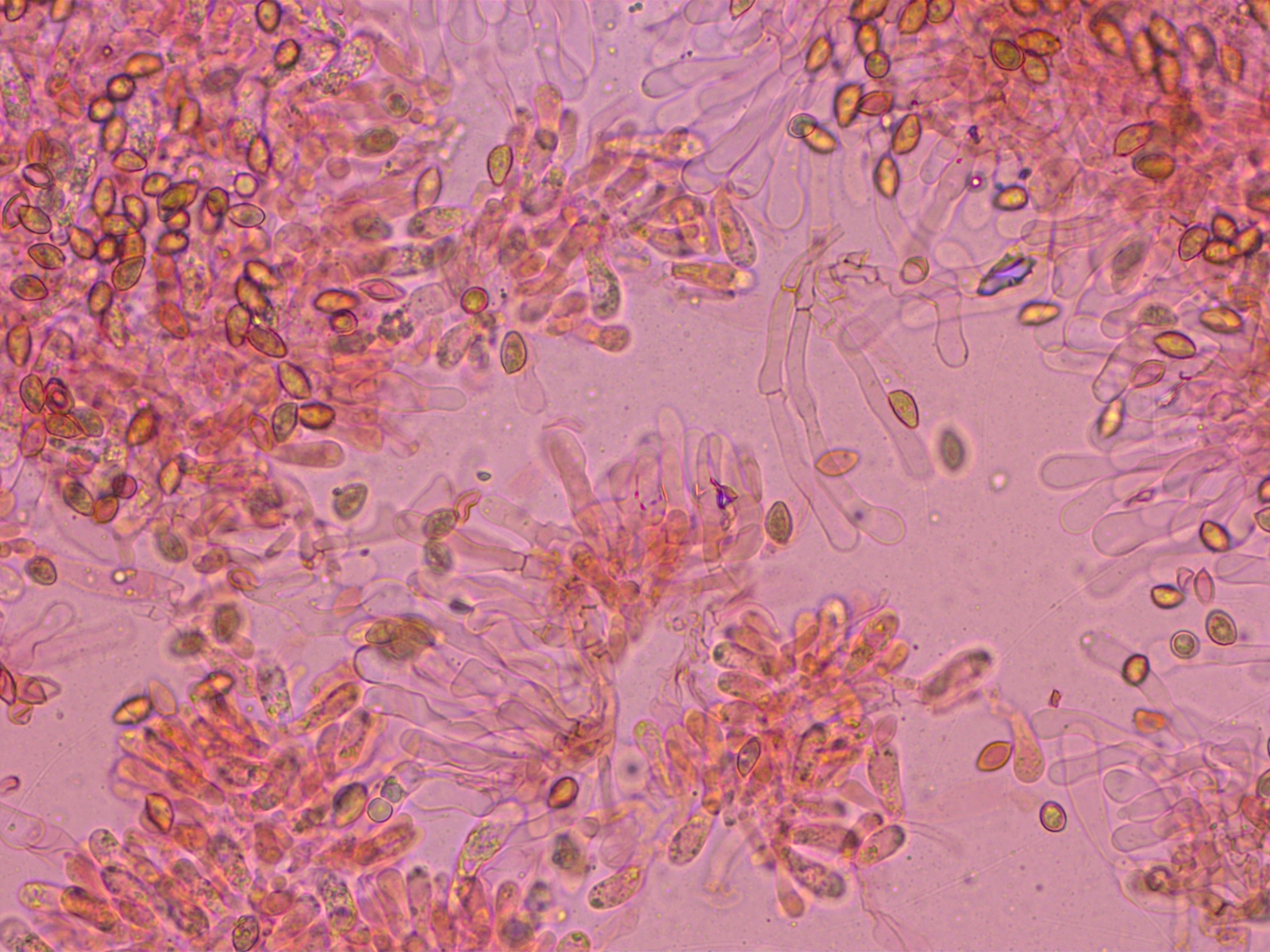
1: Phaeoclavulina curta
Diese kleine, zartfleischige Koralle ist ein Doppelgänger von Ph. myceliosa.
Sie unterscheidet sich durch extrem kurze Sporen und eine andere Farbe der Astspitzen.
Die Sporen werden kaum länger als 4 µm und sind sehr fein punktiert.
[trennlinie][/trennlinie]
Ich habe viel Zeit mit der Bestimmung von Telamonien verbracht. Zum Glück gab es da kompetente Unterstützung.
So wirklich restlos sicher ist man da ja nie, also bitte korrigiert mich bei Bedarf.
2: Cortinarius erythrinus (ss. Bidaud et al., Atlas des Cortinaires)
Die Art wurde so verschieden interpretiert, da fällt es schwer einen Namen zu nennen.
Der Geruch war schwach rettichartig, Habitat ein saurer Fichtenwald.
Sporen klein und deutlich warzig.
[trennlinie][/trennlinie]
3: Cortinarius flabellus
Mit seinem Pelargonien-Geruch erwies er sich als halbwegs bestimmbar. Standort direkt neben C. erythrinus oben.
Wieder recht kleine Sporen
Stielhyphen braun inkrustiert.
[trennlinie][/trennlinie]
4: Cortinarius cf. parasuillus (ss. Bidaud et al.)
Der hat mich fast zur Verzweiflung gebracht. Geruch komplex-fruchtig, Standort in einem moorigen, sauren Fichtenwald.
Sporen vor allem basal kräftig warzig
[trennlinie][/trennlinie]
5: Cortinarius raphanicus
Auf einer Alpweide auf Kalk, in der Nähe von Fichten. Geruch nach Kohlrabi.
Eher schmale Sporen mit deutlichen Warzen an der Basis.
[trennlinie][/trennlinie]
Natürlich gab es auch andere Sachen...
6: Mycena latifolia
Auf einer Alpweide.
Leicht zu erkennen an den Zystiden, die in der Mitte igelig sind, an der Spitze aber nicht.
[trennlinie][/trennlinie]
7: Chalciporus amarellus
Leider leider habe ich den nicht selber gefunden, durfte aber trotzdem ein Foto machen.
[trennlinie][/trennlinie]
8: Hebeloma ischnostylum
Der hat mir am meisten Freude gemacht, ist ein Erstnachweis für die Schweiz.
Standort war eine Alpweide auf Kalk. Geruch süsslich.
Vom ähnlichen H. fusisporum kann man ihn anhand der deutlich kleineren Sporen gut unterscheiden.
Sporen spindelförmig und eher klein
Cheilozystiden zylindrisch-keulig, lang, schlank und oft unregelmässig geformt, teilweise septiert.
[trennlinie][/trennlinie]
9: Tricholoma boudieri
Dieser Ritterling galt lange als Varietät des Seifenritterlings, ist aber nach FNE4 eine eigene Art.
Hut und Lamellen röten sehr stark, die Sporen haben einen etwas tieferen Q-Wert.
Der Geruch ist kräftiger als bei einem normalen Seifenritterling.
HDS mit zahlreichen Schnallen
Viele Grüsse
Raphael
-
Hallo zusammen, liebe Ditte
Ich habe hier einen Risspilz, dem ich nicht so richtig auf die Schlichte komme.
Mein Verdacht ist, dass ich für den die bevorstehende Publikation brauche...
Habitat: Auwald mit Fichten auf 1500m. In einiger Entfernung
Auf fast kahlen, feuchtem Boden direkt neben einem kleinen Wasserlauf.
Geruch spermatisch.
Bei den Sporen war ich unsicher, welche ich überhaupt messen soll. Die waren extrem verschieden.
Ich habe mich dann auf die grösseren, kräftig gefärbten konzentriert.
Da komme ich auf: 9.6-11.4-13.3 x 6.0-6.8-8.1 µm, Q = 1.48-1.67-1.92
Cheilozystiden mit eher dünnen Wänden, in KOH deutlich gelb, mit vielen Kristallen.
Parazystiden zahlreich.
Pleurozystiden ähnlich
Cheilozystiden nur im oberen Drittel vorhanden.
Meine Bestimmversuche enden bei I. gausapata, die aber gemäss meiner Literatur kleinere Sporen haben soll.
Auch die Beschaffenheit der Hutoberfläche passt mir da nicht so recht.
Eine bessere Idee habe ich im Moment nicht.
Lg, Raphael
-
Hallo Uwe
Danke für die Ergänzungen!
Der Pluteus alniphilus war wirklich eine Sensation. Ich muss mich unbedingt auf die Suche nach dem machen...
Wir hatten übrigens Glück, heute hat es bis auf 1800m kräftig geschneit. Meistens ist danach die alpine Pilzsaison zu Ende.
Ich bin nun an der mykologischen Studienwoche in Escholzmatt, es sieht hier gar nicht so schlecht aus.
Im Übrigen habe ich bei den beiden Risspilzen oben noch die Sporenmasse und weitere Infos ergänzt, erst jetzt traue ich mich da noch Ditte zu rufen, in der Hoffnung dass sie meine Bestimmungen überprüft.
Es folgt dann noch ein separater Beitrag zu einem unklaren Risspilz aus dem Binntal.
Viele Grüsse
Raphael
-
Hallo zusammen
Diese Woche durfte ich als Gast an der Schweizer WK-Tagung teilnehmen, die glücklicherweise ganz in meiner Nähe stattfand.
Die Bedingungen waren suboptimal. Vor der Tagung hatte es mehrere Wochen nicht geregnet.
Während der Woche regnete es dann immer wieder - genug, damit man nass wurde, aber zu spät, um Pilze hervorzuzaubern.
Wir brauchten alle Fantasie, um in den letzten schattigen Ecken noch spannende Pilze aufzutreiben. Aber am Abend kam dann doch immer eine stattliche Anzahl zusammen.
Ich konnte viele wohlbekannte und einige weniger bekannte Arten finden und dokumentieren, ein paar Highlights möchte ich gerne mit euch teilen.
Das grösste Highlight war allerdings, dass ich die Freude hatte Cortinarius persönlich kennenzulernen.
Ich habe zwei Exkursionen in alpine Gebiete gemacht, wo ich unter anderem folgendes fand:
1: Deconica chionophila
Dieser winzige Pilz parasitiert auf Moos, welches in der Folge abstirbt. Daran erkennt man ihn schon am Standort, sofern man darauf achtet.
Kleine, breite, teils fast rhomboide Sporen
Cheilozystiden lageniform
[trennlinie][/trennlinie]
2: Cortinarius lamoureae
Diese winzige Telamonia scheint in der Gegend verbreitet zu sein. Uwe kam irgendwann auch mit einer Kollektion zu mir, aus einem anderen Gebiet.
Mit den braun inkrustierten Hyphen an Hut und Stiel gehört sie in die Sektion Incrustati.
Die Sporen entsprechen exakt den Massen in der FN.
[trennlinie][/trennlinie]
3: Clitocybe dryadicola
Ein kleiner alpiner Trichterling, der nicht zwingend bei Dryas wachsen muss wie man anhand des Namens vermuten könnte.
Sporen elliptisch und eher breit
[trennlinie][/trennlinie]
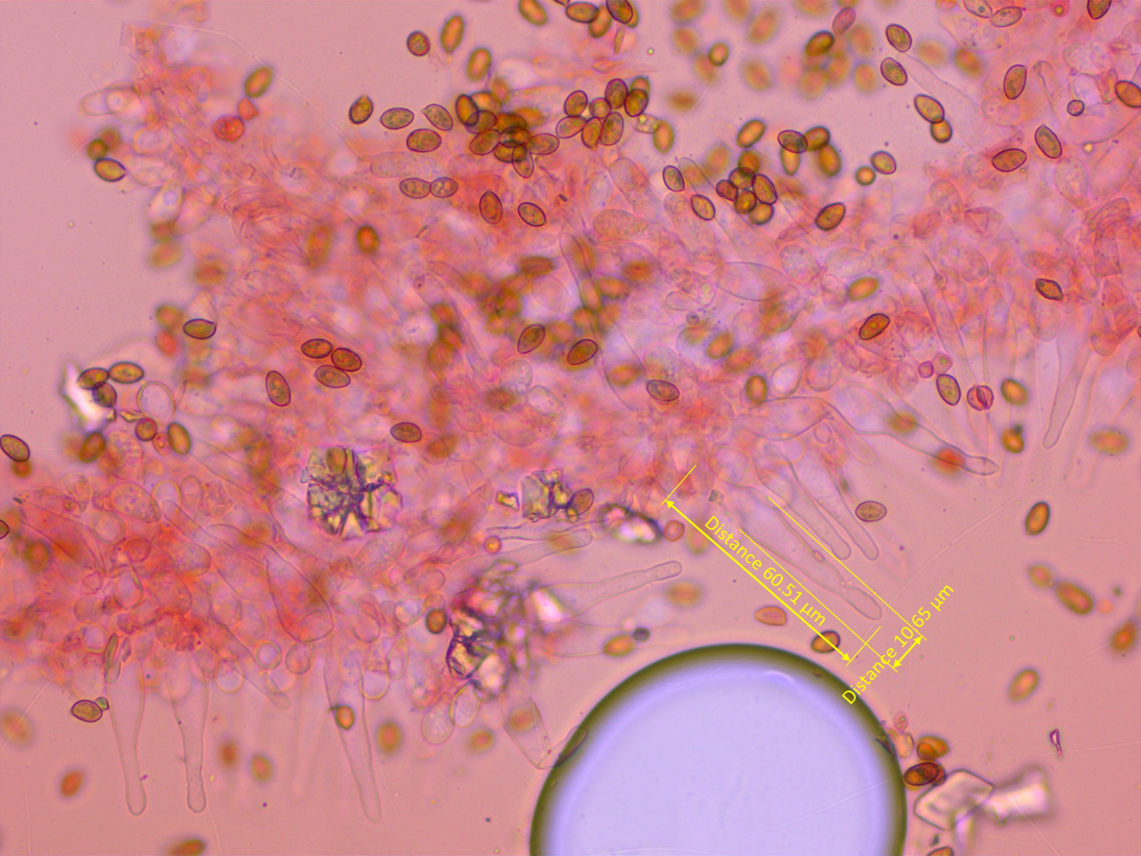
4: Inosperma subhirsutum
Dieser Risspilz hat (vor allem im Schnitt) einen grünen Stiel. Damit gehört er klar in die Nähe von I. calamistratum.
Geruch kräftig pelargonienartig.
Cheilozystiden keulig.
Sporen recht gross und schlank: 12.1-12.6-13.5 x 6.0-6.7-7.6 µm, Q = 1.66-1.88-2.07
[trennlinie][/trennlinie]
5: Lyophyllum schulmannii
Eine "vergessene" Art, die ich im Feld und auch bei der Bestimmung lange für einen Trichterling hielt.
Es gibt eine Reihe ähnlicher Trichterlinge (C. strigosa u.a.), aber keiner passt so richtig.
Der Pilz wurde 1969 von Harmaja beschrieben, einige Jahre später kombinierte er ihn zu Lyophyllum um.
Und zwar stellte er im Nachhinein am Typus die siderophile Granulation fest, die konnte ich auch nachweisen.
Der stark bittere Geschmack trennt ihn von ähnlichen Arten.
Auffallend sind die sehr langen, schlanken Sporen.
[trennlinie][/trennlinie]
Das trockene Wetter zwang uns, viel Zeit in Erlenbrüchen zu verbringen. Entsprechend gab es einige dazu passende Funde:
6: Naucoria luteolofibrillosa
Die Art wurde von diversen Teilnehmern gefunden und bestimmt.
Sporen deutlich warzig und eher breit
Cheilozystiden zugespitzt
[trennlinie][/trennlinie]
7: Naucoria submelinoides
Sporen weniger warzig und etwas schlanker
Cheilozystiden keulig.
[trennlinie][/trennlinie]
Und schliesslich noch ein paar weitere Sachen aus verschiedenen Habitaten:
8: Inocybe soluta
Naja, zumindest habe ich ihn so bestimmt.
Habitat: Fichtenstreu auf ca. 1600m.
Geruch unauffällig.
Sporen teils deutlich höckerig, teils nur eckig, 6.8-7.6-8.4 x 4.4-5.2-5.8 µm, Q = 1.32-1.48-1.64
Cheilozystiden nur selten mit Kristallen, 45-65 x 14-18 µm
Pleurozystiden ähnlich.
[trennlinie][/trennlinie]
9: Galerina badipes
Ganz nahe verwandt mit G. marginata. Aber der Ring verschwindet sehr früh und der Stiel wird rasch von unten dunkel.
Sporen moderat warzig
Cheilozystiden lageniform
[trennlinie][/trennlinie]
10: Leucocoprinus caepistipes
Der wuchs zuoberst auf einem riesigen Haufen von Holzschnitzeln.
Sporen habe ich nur wenige erwischt, weil ich in Eile war. Hier in Melzer, stark dextrinoid.
Cheilozystiden in Kongorot.
Danke an alle, die genug Geduld hatten um bis hier mitzulesen.
Korrekturen/Anmerkungen wie immer erwünscht.
Gruss Raphael
-
Hallo beli
Von einer montanen Variante zu Lyophyllum connatum habe ich noch nie gehört.
Die Art wurde ja zusammen mit Clitocybe candicans und Clitocybe houghtonii in die neue Kleingattung Leucocybe verschoben.
Vielleicht hast du aus dem Zusammenhang etwas im Kopf.
Ich finde die ganz ähnlich bei uns (hier auf ca. 1900m):
Meine montanen Funde bilden nie so riesige Fruchtkörper wie in tieferen Lagen. Das ist vielleicht witterungs- oder bodenbedingt.
Die büscheligen, weissen Lepistas (caespitosa, subconnexa, irina var. montana) sind eher Wiesenbewohner.
Um die sicher auszuschliessen, hilft ein Tropfen Eisensulfat. Leucocybe connata wird davon kitschig violett.
Aber hier bin ich mir auch so ziemlich sicher, dass es L. connata ist.
Der zweite ist fast sicher ein Hebeloma. Aber wirklich ohne Geruch? Nicht schwach nach Rettich?
So makroskopisch könnte es H. mesophaeum sein, aber ohne Mikros lässt sich das nicht absichern.
Zu der Telamonia kann ich ohne Mikrobilder nichts sagen.
Gruss Raphael
-
Hallo beli
Meine Vermutung wäre Chamaemyces fracidus.
Gruss Raphael
-
Hallo,
A. submembranacea ist in meiner Gegend in den Wäldern auf 2000m recht häufig. Scheint also plausibel zu sein.
Gruss Raphael
-
Hallo zusammen
Ich musste spontan an eine der weissen Melanoleucas denken, M. strictipes habe ich auch schon an sehr alten Stümpfen gefunden
Gruss Raphael
-
Hallo zusammen
Meine Ausflüge gestern und heute waren wenig ertragreich.
Es gab zwar massenhaft Pilze, aber das meiste sehr triviale Arten.
Aber immerhin, folgende Sachen waren dann doch die Mühe einer Untersuchung wert:
Ich habe mich nochmal an zwei Phlegmacien getraut und bin da immerhin auf plausible Namen gekommen.
Falls ich mich irre, bitte melden.
#1: Cortinarius olidus (=cliduchus?)
Er wuchs bei Birken in einem Gebiet, wo der heimische Kiefernwald von ca. 30 Jahren abgebrannt ist.
Der Geruch war stark, anfangs angenehm, später wurde er eher unangenehm aber schwer zu beschreiben.
Fleisch weiss bis blasscreme, in der oberenm Stielrinde bläulich.
KOH überall negativ.
Sporen mandel- bis zitronenförmig, moderat warzig, meistens 9-10 x 5-6 µm.
[trennlinie][/trennlinie]
#2: Cortinarius variecolor
Unter Fichten. Geruch muffig-erdig.
KOH im Fleisch sofort intensiv gelb
Sporen deutlich warzig.
[trennlinie][/trennlinie]
#3: Galerina cf. hypnorum
Hier habe ich nach FN und de Haan/Walleyn geschlüsselt und finde nichts anderes.
Mich stört dieser markante Ring, den gab es an jedem Fruchtkörper, beschrieben wird der aber nirgends.
Ansonsten passt es ganz gut:
Sporen schwach kalyptrat, mit deutlicher Plage, etwas warzig-uneben, bis 10.5 µm lang.
Cheilozystiden lageniform, Pleurozystiden fehlen, ähnliche Kaulozystiden nur im obersten Stieldrittel vorhanden.
Die Zystidenform würde noch besser zu G. alluviana passen, aber die hat etwas kleinere Sporen und auch keinen Ring.
[trennlinie][/trennlinie]
#4: Lycoperdon nigrescens
Capitillium vom Lycoperdon-Typ, etwas dickwandig, unseptiert, nicht verzweigt oder ästig.
Sporen nahezu glatt, nur wenige lose Sterigmenreste.
[trennlinie][/trennlinie]
#5: Suillus placidus
Den habe ich nur mitgenommen, weil sonst gerade nicht viel los war.
Sporen in KOH.
Lg, Raphael
-
Hallo zusammen
Wow, danke euch, ich denke Arpinia inops stimmt haargenau!
Viele Grüsse
Raphael
-
Hallo zusammen
Ich habe heute diesen weissen Becherling gefunden. Ascomyceten sind ja nicht so meine Welt. Aber der sieht recht markant aus, war ich überzeugt ich würde das hinkriegen.
Aber weit gefehlt, ich tappe völlig im Dunkeln.
Sie wuchsen terrestrisch auf einer Strassenböschung, die wohl vor einigen Jahren neu angelegt wurde. In der Nähe gab es Kiefern, Fichten und Lärchen. Montan auf ca. 2050m.
Der grösste Fruchtkörper ist 18mm breit.
Sporen und Asci in Lugol
Sporen dickwandig, breit elliptisch
Paraphysen
Hat jemand eine Idee?
Viele Grüsse
Raphael
-
Hallo Oliver
Ich nehme immer eine ganze Lamelle mit der Pinzette raus und lege die flach auf ein Brett. Dann zwei möglichst frische Rasierklingen aufeinander legen und vorsichtig einen Schnitt über die Lamelle machen (möglichst schneiden, nicht drücken).
Danach hat man zwischen den Rasierklingen ein Lamellenfragment, das schiebe ich mit einer Nadel auf den Objektträger.
Klappt je nach Konsistenz der Lamelle besser oder schlechter.
Gruss Raphael
-
Hallo zusammen
Vielen Dank für die ausführlichen Rückmeldungen!
Hat etwas gedauert bis ich mich wieder melde, diese Woche war der Job sehr stressig.
Der erste war keine Bilderbuch-Kollektion, deshalb verfolge ich das nicht weiter und lasse es bei Cortinarius cf. glaucopus.
Beim zweiten habe nochmal ein wenig im AdC gestöbert. Meine Schlüsselversuche endeten bei C. maculatipes, was ein Synonym zu C. pseudonaevosus ist.
Ich habe dann hier eine recht gute Darstellung dieser Art gefunden: (PDF) Some interesting and little known Cortinarius species found at the 37th J.E.C. congress at Brennabu, Valdres, Norway, in 2019
Das passt vieles recht gut, aber eben nicht alles. Der Habitus passt eben schon besser zu C. balteatus.
Hinzu kommt diese weisse, abgesetzte Stielspitze. Ich weiss nicht ob das ein halbwegs zuverlässiges Merkmal ist.
Aber diese Stielspitze sehe ich auf vielen Bildern von C. balteatus, auf den wenigen Bildern von C. pseudonaevosus nicht.
Fazit: Ich lege es als Cortinarius cf. balteatus ab.
Lg, Raphael
-
Zum Abschluss noch ein Pilz den ich zwar gut kenne, aber seit 6 Jahren nicht mehr so zahlreich gefunden habe. Auf Holzhäxelhaufen, die ich schon seit Wochen beobachte wurde ich jetzt fündig.
Runzeliger Ackerling (Clitocybe rivulosa)Hallo Karl
Schöne Funde!
Einen Flüchtigkeitsfehler gibt es, das sollte wohl Agrocybe und nicht Clitocybe sein.
Gruss Raphael
-
Hallo zusammen
Heute durfte ich an einem Familienausflug teilnehmen. Wir waren an bzw. knapp über der Baumgrenze unterwegs.
Die Toleranz für meine Pilzspinnerei hält sich in Grenzen, deshalb waren nur kurze Abstecher in die spannenden Bergwiesen erlaubt.
Aber immerhin ein paar nette Sachen gab es dann doch. Mikrobilder sind bei den meisten dieser Arten wenig aufschlussreich, darum verzichte ich darauf.
1: Clavaria fumosa
2: Cystoderma carcharias
3: Hygrocybe punicea
Schnittbild: Stielbasis weiss
4: Hygrocybe splendidissima
Schnittbild: Fleisch bis in die Steilbasis orange bis chromgelb
5: Hygrocybe cf. reidii
Schwer zu bestimmen, weil sie schon recht trocken sind. Man sieht aber dass sie von orange über gelb zu cremegelb ausblassen.
Einige Sporen sind eingeschnürt, aber sicher weniger als die Hälfte. HDS trocken (Kutis).
Vielleicht hat noch jemand eine bessere Idee.
6: Tricholoma psammopus
Obligater Lärchenbegleiter, der mir dauernd auflauerte.
Gruss Raphael
-
Hallo Jann
Vielleicht ist es C. diatreta, Habitus und Farbe könnten zumindest passen.
Den Geruch kenne ich bei der Art recht variabel, da können auch ranzige Komponenten dabei sein.
Das Bild in "Fungi of northern europe" passt recht gut zu deinem Fund.
Leider ist die Bestimmung kleiner Trichterlinge enorm schwierig, also bleibt das nur eine Vermutung.
Gruss Raphael
-
Hallo Uwe
Danke für die Bemühungen!
Im Moment wohnen die noch im Kühlschrank, für den Fall dass es noch Untersuchungen an Frischmaterial braucht.
Gibt es makrochemische Tests, die ich sinnvollerweise jetzt für alle Fälle noch machen könnte?
Ich mache morgen dann Eksikkate und kann dir gerne etwas davon schicken. Kannst mir eine PN mit deiner Adresse schicken.
Gruss Raphael
-
Hallo Uwe,
Zu 1: Kann denn C. glaucopus so einen kräftigen Geruch haben? Der störte mich richtig, als die Pilze beim Bestimmen neben mir lagen.
Der Blauschimmer war da aber sehr undeutlich, man konnte es nur an dem einen Exemplare erahnen.
Habitat würde stimmen (Fichten, Kalk). Hier noch ein paar weitere Fotos:
Zu 2: Da habe ich mit 3% KOH getestet, war alles negativ (blassbraun).
Eine Verfärbung beim Berühren gab es nicht, habe sogar am Stiel gerieben um das zu testen.
Hier auch noch zwei Bilder.
Gruss Raphael
-
Hallo
Mich erinnert an ein mein Fund Lichenomphalia umbelifera , R.ickenella ist viel größer Pilc
LG
Genau darauf wollte ich hinaus...
-
Hallo Bernd
An Rickenella mag ich nicht so richtig glauben.
Ganz sicher dass das Substrat eine Thelephora war und nicht eine alte Flechte?
Gruss Raphael
-
Dein erster Schleierling könnte doch zu den Multiformes gehören?
Vermutilch nicht ganz einfach, da zu einer Bestimmung zu kommen, aber man kann es durchaus >hiermit< versuchen.
Hallo Pablo
Habe mir mal den Schlüssel in dem Paper vorgenommen, da kommt man ohne Alternative zu C. caesiolamellatus.
Der kann er aber eigentlich nicht sein, da gibt es makro- und mikroskopisch zu viele Abweichungen.
Mal schauen, ob Cortinarius oder sonstwer noch eine Idee hat.
Gruss Raphael
-
Ahoi!
Och, die Schwefelritterlinge sind doch eher Sommerpilze. Wenn man mal vom gelegentlichen Frühjahrsschub der Erdritterlinge absieht, ist das einer der frühesten Ritterlinge, die man finden kann. Nebelkappen wären schlimmer im Moment.
LG; Pablo.
Ich will euch die Sommerlaune nicht verderben, habe aber am Mittwoch sehr viele Nebelkappen gesehen.

Aber ich fand sie zu langweilig, um sie zu fotografieren.
Gruss Raphael
-
Hallo zusammen
Hier noch der Rest zu meinem vorgestrigen Ausflug. Bei den Bestimmungen hier bin ich mir teils gar nicht sicher, bitte korrigiert mich schonungslos.
Habitat sofern nicht anders erwähnt: Montaner Fichten-/Kiefernwald mit einzelnen Lärchen.
Ich versuche mich immer mal wieder mit Phlegmacien zu beschäftigen, aber die sind mir doch noch recht schleierhaft.
1) Cortinarius cf. glaucopus
Hier die KOH-Reaktion (3%): auf dem Hut, im Hutfleisch und in der Stielbasis.
Fleisch in der Stielbasis blassgelb, weiter oben bläulich, im Hut wieder blassgelb.
So richtig will ich nicht an glaucopus glauben, denn sie haben einen kräftigen, würzig-komplexen Geruch.
Geschmack ebenso und etwas bitter.
C. glaucopus soll ja fast geruchlos sein, so hatte ich ihn auch schon gefunden und ohne Zweifel bestimmt.
Eine echte Alternative habe ich leider nicht.
Sporen sehr kurz, selten länger als 7.5 µm.
2) Cortinarius cf. saginus
Lamellen teilweise schartig. Geruch schwach, etwas holzartig.
Hier war ich anfangs richtig glücklich, weil ich im Atlas des Cortinaires den wunderbar passenden C. saginoides fand.
Aber offenbar wurde der molekular untersucht und zu C. varius gestellt ??!! Der kann es aber eigentlich nicht sein.
KOH auf dem Hut und im Fleisch negativ
An der Stielspitze zeigt sich aber nach ca. zwei Minuten eine gelbbraune Reaktion, die dann wieder verschwindet.
Sporen recht schlank, mandel- oder zitronenförmig.
Die Sporen passen nicht zu dem, was ich in meiner Literatur als C. saginus finde.
3) Cortinarius croceus
Wenigstens da bin ich mir halbwegs sicher. Aber man weiss ja nie.
Kurze, kräftig warzige Sporen.
4) Clitocybe cf. marginella
Auffallend ist der gelbbraune Hutrand, der fein gerieft ist. Der Hut verfärbt sich hygrophan zu weisslich, aber mit dunkler Mitte.
Die Sporen sind klein und helfen kaum weiter.
In der FN kommt C. marginella raus, wobei die Unterscheidung zu C. agrestis nur über die kräftige Hutrandfarbe gelingt.
Mein eigener experimenteller Clitocybe-Schlüssel kommt auf C. agrestis, in dem Schlüssel fehlt C. marginella aber noch.
Die Original-Beschreibung von Harmaja beschreibt aber eher einen schlanken Pilz mit stärker gestreiftem Hut.
Kann sein dass der irgendwann anders interpretiert wurde.
5) Helvella pezizoides
Mit dieser kleinen Lorchel habe ich viel Zeit verbracht. Die Fruchtkörper wuchsen dort rasig, keiner war grösser als 1.5 cm.
Nach Skrede 2017 kommt man auf Helvella pezizoides, findet dann aber im Internet völlig verwirrende Darstellungen.
Die Art wurde u.a. bei Boudier anders dargestellt, als sie wohl in der Original-Beschreibung gemeint war.
Skrede et al. 2020 zeigen dann aber genau das was ich gefunden habe.
6) Hebeloma cf. mesophaeum
Beweisen kann ich es nicht wirklich. Es könnte auch H. subtortum sein, die Lamellenzahl ist aber etwas zu tief und die Sporen passen nicht so ganz.
Für H. mesophaeum fehlt der typische zweifarbige Hut. Aber eine bessere Idee habe ich nicht.
Geruch kräftig nach Rettich.
Sporen recht blass, wenig warzig, nicht dextrinoid, 9.0-10.2-11.5 x 5.2-5.7-6.2 µm, Q = 1.60-1.78-1.99
Störend: Die häufigste Zystidenform war deutlich lageniform mit sehr dickem Bauchteil, ungestielt.
Die Form würde besser zu H. pubescens passen, die aber nur aus Spitzbergen bekannt ist und auch sonst nicht in Frage kommt.
7) Entoloma spec.
Hier habe ich aufgegeben. Vielleicht hat jemand eine zündende Idee.
Alle Versuche laufen ins Leere, am ehesten in die Nähe von E. prunuloides, das aber einen völlig anderen Habitus hat.
Hut um 1.5cm im Durchmesser, deutlich hygrophan. Stiel silbrig überfasert. Geruch schwach, etwas säuerlich.
Habitat: Recht magere Alpweide, in der Nähe nur einzelne Lärchen.
Sporen mehrheitlich isodiametrisch und recht klein, meistens < 9 µm.
Die Frage nach Zystiden kann ich nicht eindeutig beantworten. Es gab hier und da solche schlanken, aber auffälligen Zellen, die die Basidiolen deutlich überragten.
Hier noch so eine.
Schnallen konnte ich ohne grosse Mühe finden.
HDS: Eine Kutis
Hat da jemand irgendeine Idee?
Viele Grüsse
Raphael
-
Hallo zusammen
Ja ihr habt wohl recht. Ich versuchte gerade meine Gedankengänge nachzuvollziehen, um meine Bestimmung vehement zu verteidigen.
Aber ich weiss ehrlich gesagt auch nicht mehr, warum ich auf fuligineoalba kam.

Sogar die Sporen passen besser zu violascens.
Also - danke für den Hinweis, habs korrigiert.
Gruss Raphael
