Hallo zusammen,
ich euch gerne eine Interessante Anamorphe zeigen, die ich am 09.05.22, finden konnte.
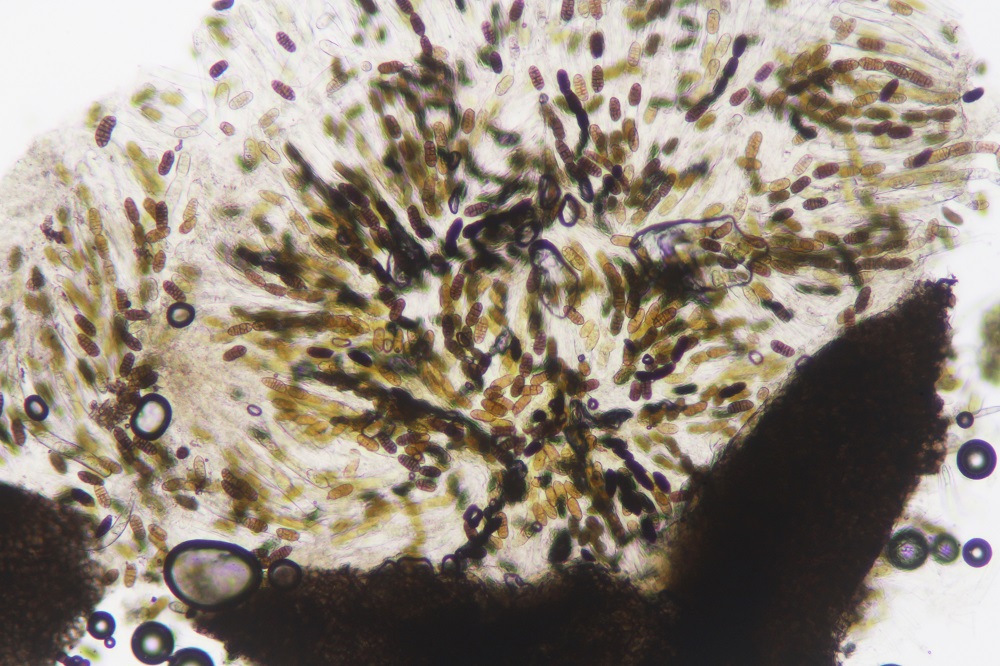
Der Fundort war im Wald, an einem verrottetem Holzstück.
Interessant ist, dass vor einigen Jahren eine Sporoschisma aquaticum Z.L. Luo, H.Y. Su&K.D.Hyde, sp. nov (2016) beschrieben wurde, die ähnlich der Sporoschisma juvenile sein soll.
Allerdings hat man hier herausgefunden, das S. aquaticum und S. juvenile gleich sind und daher S. aquaticum ein Synonym von S. juvenile ist, was ich auch übernehme.
Hier sind die Bilder:
1.

2.

3. Konidienträger bis 223 Mikrometer lang

4. Konidien werden in diesem Konidienträger in Ketten gebildet

5. jung sind die Konidien farblos

6. die Außenseite ist warzig

7.

VG : Thorben