Conidiensporen (bzw. sie wachsen noch)! aus Sarcoscypha austriaca

Es gibt 5 Antworten in diesem Thema, welches 2.250 mal aufgerufen wurde. Der letzte Beitrag () ist von hilmgridd.

  • Hallo Ihr Lieben!

    Angespornt von Karl und Claudia wollte ich unbedingt auch Conidiensporen sehen.

    So habe ich einen meiner Sarcoscypha austriaca mit etwas Wasser im Becher in den Kühlschrank gestellt. Und gestern habe ich den erstem Blick darauf geworfen… und was soll ich sagen?


    Es funktioniert! Einfach so…

    In ein paar Tagen schaue ich noch mal rein, vielleicht gibt es dann ein paar größere Exemplare.



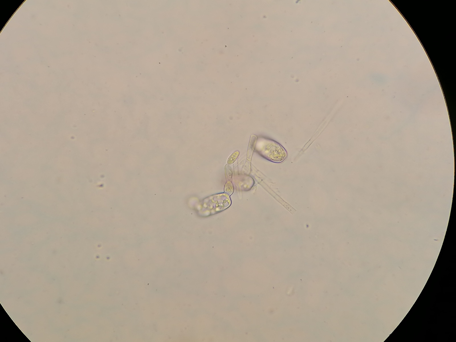
    Hier mal meine ersten Mikrobilder. :)


    Es gab diese kleinen Auswüchse in allen Größen







    Hier sah die Ursprungsspore irgendwie total verausgabt aus


    Ich hoffe, die kleinen gefallen Euch auch ein bisschen. Ich hab mich auf jeden Fall,gefreut wie‘s Plätzchen g:D


    Liebe Grüße,

    Eure Tuppie

  • Liabe Tuppie,


    deine letzte Aufnahme hat's in sich. mE produziert die total verausgabte Ursprungsspore eine Konidie mit letzter Kraft. Rechts davon sehe ich eine junge Spore auf Kollisionskurs, die von unten die Ausbuchtung verursacht.


    Coole Aufnahmen, raus ausm Kühlschrank damit und morgen wieder mikroskopieren, :gklimper:


    lgpeter

    "Die, die Kriege von oben führen sind feige Schreibtischtäter, die nicht wissen wie schrecklich Krieg ist".

    Quelle: "Masters Of War", Bob Dylan

  • Danke, liabs Habichterla!

    von diesem letzten Bild gibt es auch einen Film, einmal durchfokussiert.


    Externer Inhalt youtu.be
    Inhalte von externen Seiten werden ohne deine Zustimmung nicht automatisch geladen und angezeigt.
    Durch die Aktivierung der externen Inhalte erklärst du dich damit einverstanden, dass personenbezogene Daten an Drittplattformen übermittelt werden. Mehr Informationen dazu haben wir in unserer Datenschutzerklärung zur Verfügung gestellt.

  • Liabe Tuppie,


    ==konfetti


    für deine Idee, Mikrodetails durchfokussiert zu filmen. Das Equipment dafür habe ich, einen Zeichenblock auch.


    lgpeter

    "Die, die Kriege von oben führen sind feige Schreibtischtäter, die nicht wissen wie schrecklich Krieg ist".

    Quelle: "Masters Of War", Bob Dylan

  • Hallo Habichterla!

    Das mache ich mit der Handykamera durch Okular. Also kein Hexenwerk. :)




    Hallo Zusammen!

    Die Conidien sind weiter gewachsen, echt irre Dinger.

    Jetzt kommen die nächsten Mikrobilder und Mikrofilme :)


    Man sieht, dass die Conidien sich abschnüren und „frei herumschwimmen“





    Und hier sieht man, woher der Formtypus des Schweizer Taschenmessers kommt… ;)


    Externer Inhalt youtu.be
    Inhalte von externen Seiten werden ohne deine Zustimmung nicht automatisch geladen und angezeigt.
    Durch die Aktivierung der externen Inhalte erklärst du dich damit einverstanden, dass personenbezogene Daten an Drittplattformen übermittelt werden. Mehr Informationen dazu haben wir in unserer Datenschutzerklärung zur Verfügung gestellt.


    Externer Inhalt youtu.be
    Inhalte von externen Seiten werden ohne deine Zustimmung nicht automatisch geladen und angezeigt.
    Durch die Aktivierung der externen Inhalte erklärst du dich damit einverstanden, dass personenbezogene Daten an Drittplattformen übermittelt werden. Mehr Informationen dazu haben wir in unserer Datenschutzerklärung zur Verfügung gestellt.


    Externer Inhalt youtu.be
    Inhalte von externen Seiten werden ohne deine Zustimmung nicht automatisch geladen und angezeigt.
    Durch die Aktivierung der externen Inhalte erklärst du dich damit einverstanden, dass personenbezogene Daten an Drittplattformen übermittelt werden. Mehr Informationen dazu haben wir in unserer Datenschutzerklärung zur Verfügung gestellt.


    Liebe Grüße,

    Tuppie

  • :daumen::daumen::daumen: Juhu, so super, dass du es geschafft hast ! Ich freue mich mit dir !Tolle Aufnahmen. Jetzt fehlt mir nuch noch ein FK, damit ich es auch mal probieren kann ! :love:

    LG Sandra

    Liebe Grüße aus dem Vogtland

    die Schwarzhex

    :gwinken: Sandra

    (PC 100 - 10 (fürs APR 2020) = 90 - 15 (APR 21) = 75-10 (APR22) = 65 + 7 (APR 22 Auflösung) - 5 (Rätsel-Gedicht)= 67 - 10 (APR 23) = 57 + 5 Gnanzierung = 62 - 10 (Ast-Wette gegen Björn) = 52 - 10 (APR 24)- 1 (legaler Bestechungsversuch im Vorfeld des APR zugunsten GI)= 41 + 21 (Thorwulf Spende)= 62 + 38 (Hannes2 Spende) = 100 PC :gbravo: + 3 Gnolmengastfreundlich = 103-15 (APR 25) = 88+ 1 Nannettenrätsel=89 + 3 Jammerei auf hohem SchwarzhexxNiveau = 92+ 3 (Platz 20 APR25)=95