Hallo Ihr Lieben!
Angespornt von Karl und Claudia wollte ich unbedingt auch Conidiensporen sehen.
So habe ich einen meiner Sarcoscypha austriaca mit etwas Wasser im Becher in den Kühlschrank gestellt. Und gestern habe ich den erstem Blick darauf geworfen… und was soll ich sagen?
Es funktioniert! Einfach so…
In ein paar Tagen schaue ich noch mal rein, vielleicht gibt es dann ein paar größere Exemplare.
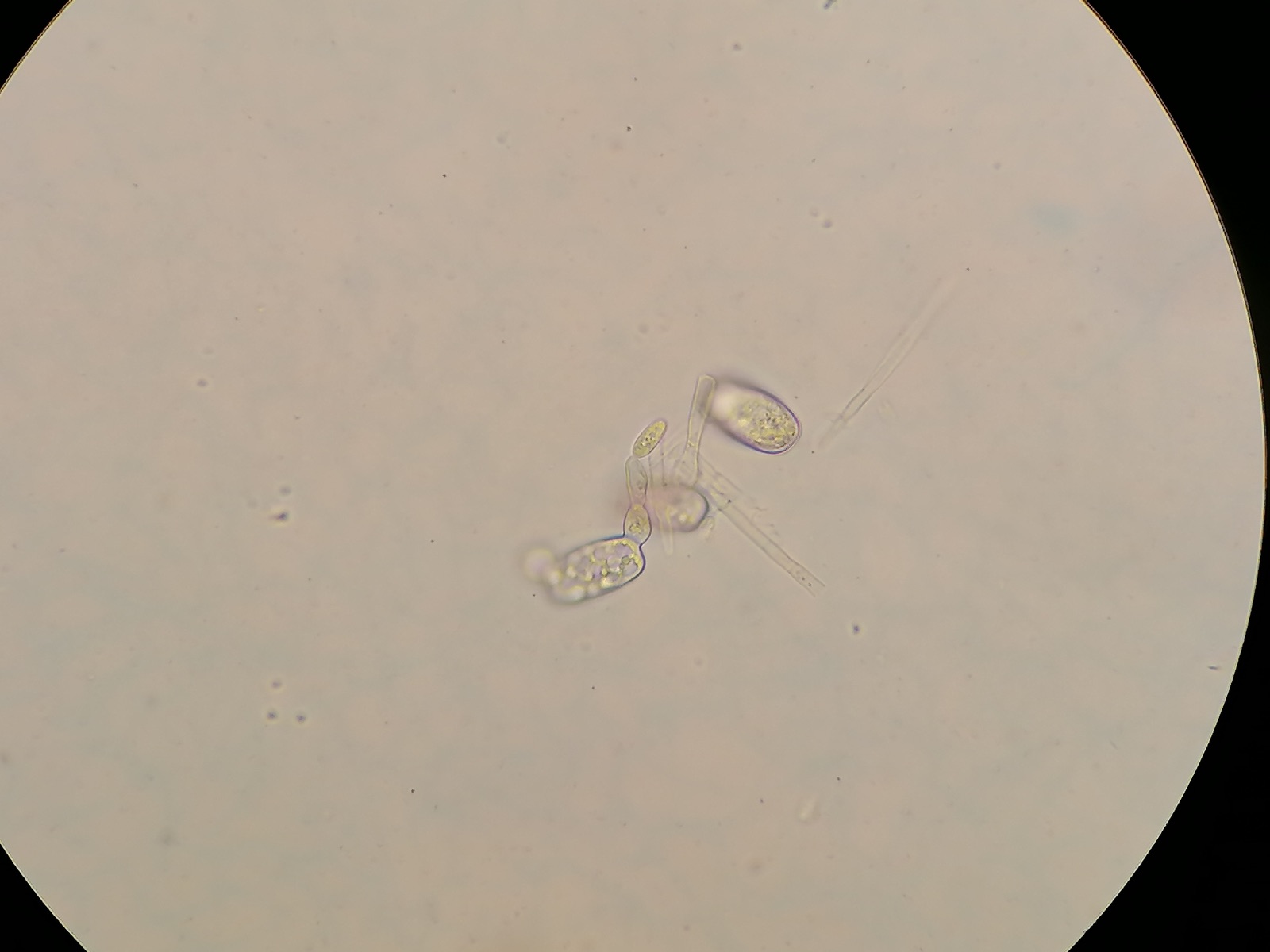
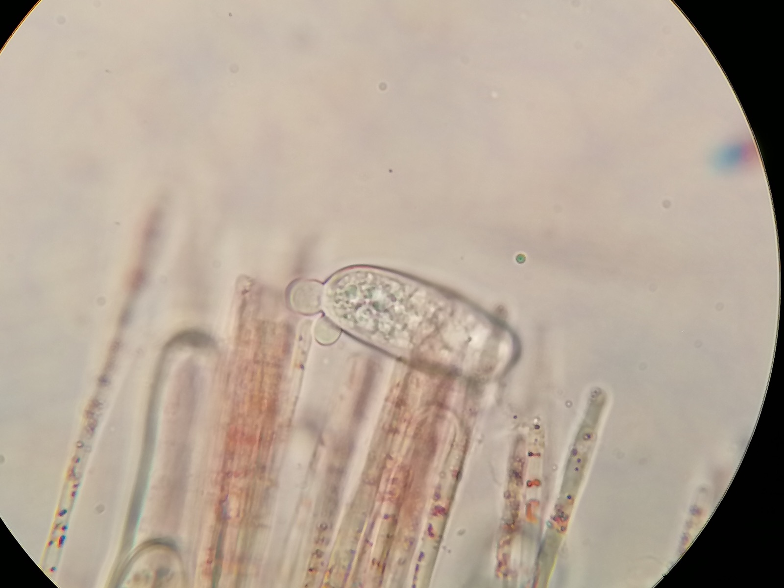
Hier mal meine ersten Mikrobilder. ![]()
Es gab diese kleinen Auswüchse in allen Größen
Hier sah die Ursprungsspore irgendwie total verausgabt aus
Ich hoffe, die kleinen gefallen Euch auch ein bisschen. Ich hab mich auf jeden Fall,gefreut wie‘s Plätzchen ![]()
Liebe Grüße,
Eure Tuppie

