Zwergenparade

Es gibt 11 Antworten in diesem Thema, welches 4.277 mal aufgerufen wurde. Der letzte Beitrag () ist von Tuppie.

  • Hallo Ihr Lieben!

    Am Donnerstag habe ich einen kurzen Besuch auf dem Bolzplatz gemacht, und auf einer kleinen Wiese davor.

    Ein paar Pilzchen habe ich gefunden. Auch einen dieser unsäglichen winzigen hellen Pilze.


    Aaaaahhh! Selbst unterm Mikro hat der mich gefoppt. Die Sporen sind so winzig, dass ich sie kaum sehen konnte.


    Die Fotos draußen sind recht schwummerig geworden, da es schon duster war. Sporenmessung findet mangels Maßeinheiten immer noch nicht statt. Außerdem hoffe ich, dass ich nicht wieder mit den Sporen und Zellen unterm Mikro durcheinandergekommen bin.


    Ich benötige nicht zwingend eine Benamsung, aber falls der eine oder die andereIdeen hat, gerne raus damit. :)



    Pilz Nr. 1 Arbeitstitel Trichterling

    Ziemlich magere Wiese, ca. 1,5 bis 2 cm Hutdurchmesser

    Geruch keiner feststellbar, maximal ein Hauch süßlich

    Spp-Farbe weißlich, war zu wenig für eine echte Farbbeurteilung




    Sporen


    Lamellenschneide


    HDS




    Pilz 2, Arbeitstitel Brauner Zwerg. edit: Galerina, danke für die Hausaufgaben, Karl!

    Hutdurchmesser 5-7 mm

    Geruch keiner wahrnehmbar

    Spp-Farbe braun

    87C2176D-54E2-4E35-956D-DB0581758EAE.jpeg




    Sporen


    Lamellenschneide, Basidien mit 4 Sterigmen


    HDS



    Pilz 3 Amiant-Körnchenschirmling




    Pilz 4 Arbeitstitel Krönchenträuschling. edit: vermutlich Stropharia inuncta, Purpurgrauer Träuschling, danke Werner!

    Hutdurchmesser 2,5 cm

    Geruch irgendwie stechend chemisch

    Huthaut klebrig, leicht abziehbar

    Dunkelsporer, braun




    Sporen


    Lamellenschneide


    Huthaut löste sich in Wasser in diese „Gerüstzellen“ und Schleim auf



    Pilz 5 Der einzige seiner Art, durfte stehen bleiben

    8C0228A1-85D5-416E-9D07-14F8227A4EA8.jpeg





    Pilz 6 Saftling, winzig klein mit einem Hutdurchmesser von etwa 6-7 mm, er war der einzige seiner Art, schwärzte nicht und durfte stehen bleiben




    Liebe Grüße,

    Tuppie

  • Hallo Tuppie,

    Ich halt mich bei der Bestimmung mal raus , aber hast du schön gemacht - und präsentiert.

    Lieben Gruß

    No

    ------------------------------------------------------
    Pilzchips = 100 -5 APR 2015 +12 APR 2016 = 107 -7 Für APR 2017 = 100 + 5 APR 2018 =105 +5 APR 2019 =110+6 APR 2020=116+5+4 APR2021=125

    -15 für APR 2022 = 110. -15 für APR 2024 = 95 +5 APR2024 Platz und einschätzung = 100

    Pilzbestimmung im Netz ist keine Essfreigabe

    ------------------------------------------------------

  • Hallo Tuppie

    Pilz 2 ist ganz sicher eine Galerina. Die Form der Zystiden findest Du bei vittiformis/atkinsoniana aber auch perplexa, wobei die augenscheinlich schwache Qrnamentierung der Sporen sogar gut zu perplexa passt. Zur genauen Bestimmung müsstest Du noch auf Pileozystiden und Kaulozystiden schauen und eventuell auch noch auf die Anwesenheit von Pleurozystiden. Galerina ist eine tolle Gattung, aber sie macht etwas Arbeit :giggle:.

    LG Karl

  • Hallo Karl!

    Ohhaue, hoffentlich überlebt der kleine Pilz noch 2 Tage, oder ich finde frische für diese Untersuchungen. Morgen bin ich den ganzen Tag unterwegs und Montag muss ich wieder arbeiten. Frühestens Montag abend komme ich da wieder dran. Ich schaue mal, ob ich das alles hinbekomme, bei diesem Zwerg.


    Liebe Grüße,

    Tuppie

  • Hallo Karl!

    Eben war ich noch mal auf der Wiese und es sind genügend Fruchtkörper nachgekommen. Habe welche mitgenommen und gehe gleich mal ans scharfe Glas.


    Also… ich bin wirklich ein Siebkopf, ich kann mir nie merken, welche Zystiden wie heißen. :gomg:


    Pileozystiden, HDS untersuchen

    Kaulozystiden, Stieloberfläche untersuchen

    eventuell Pleurozystiden, Lamellenquerschnitt :gschock: … bei diesen Zwergen???


    Verwende ich dafür irgendwelche Chemie oder untersuche ich das alles in Wasser?


    Danke für Eure Hinweise

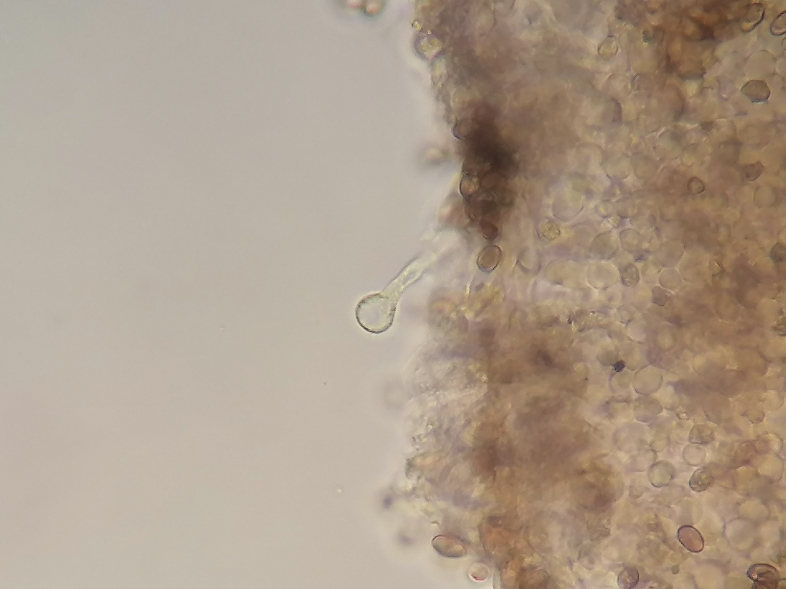
  • Hallo Karl W , hallo Zusammen!


    So, nun habe ich ein paar Mikroaufnahmen gemacht, ob uns das auf der Suche nach der richtigen Galerina weitehilft? Fraglich… aber ich kann mit Fug und Recht behaupten: „Ich war stets bemüht…“


    Mikroaufnahmen zu Pilz 2

    Lamellenquerschnitt bei diesem Zwergenpilzchen, ich bin ganz zufrieden mit dem Schnitt


    Lamellenseite


    Lamellenseite mit der einzigen Pleurozystide, die ich beim kompletten Lamellenquerschnitt gefunden habe


    An der Lamellenschneide gab es dann reichlich


    HDS mit reichlich Sporen drauf




    Stiel mit Kaulozystiden





    Vielleicht gucke ich noch morgen noch mal mit Kongorot.

  • Hallo Zusammen!

    Dafür habe ich noch Fotos gemacht von Pilz 6, dem kleinen roten Saftling. Da kamen nämlich jetzt noch welche nach. Diesmal hatte ich das Stativ bemüht, aber viel besser sind die Bilder auch nicht geworden…



    Auch Pilz 3, der Amiant Körnchenschirmling hatte noch mal nachgezogen


    und Pilz 4, der Pupurgraue Träuschling


    Außerdem zeigte sich noch ein neuer Saftling, wiederum der einzige seiner Art, deshalb blieb er stehen