noch eine Inocybe

Es gibt 2 Antworten in diesem Thema, welches 1.345 mal aufgerufen wurde. Der letzte Beitrag () ist von romana.

  • Hallo,

    hier nun mein dritter und letzter Risspilz dieser Exkursion in den Wienerwald.
    Diese Inocybe wuchs bei Buche und ist recht kräftig. Ein FK hat eine leichte Knolle, die rötlich war. Jetzt wirken die FK dunkler. Der Geruch ist obstartig-chemisch.

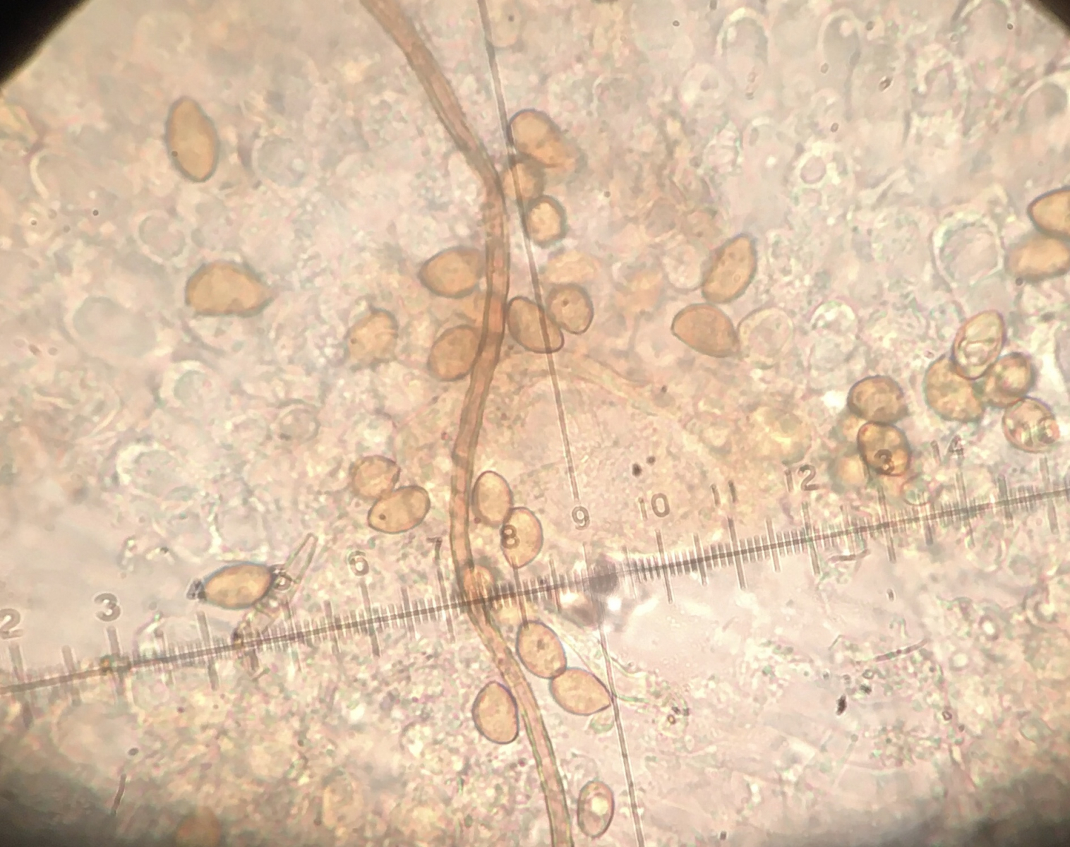
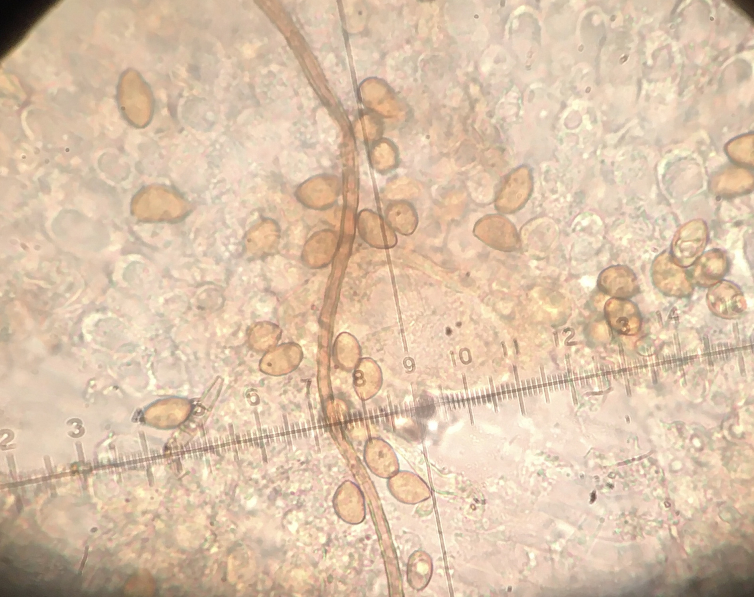
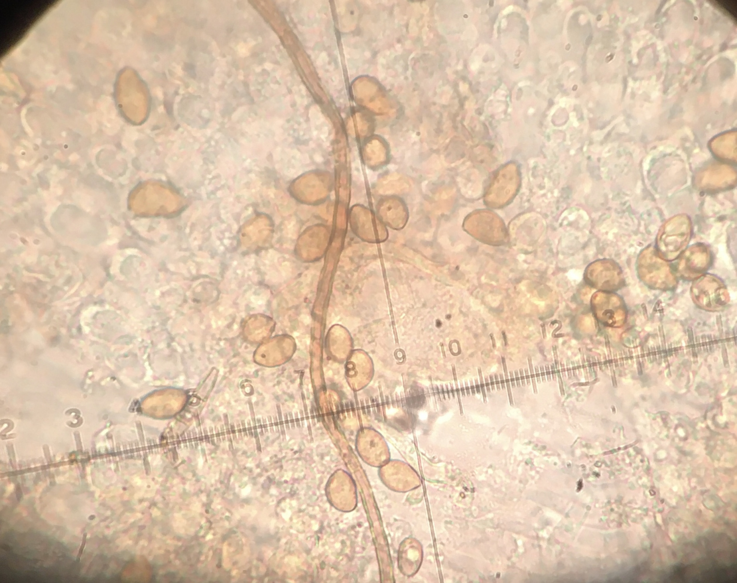
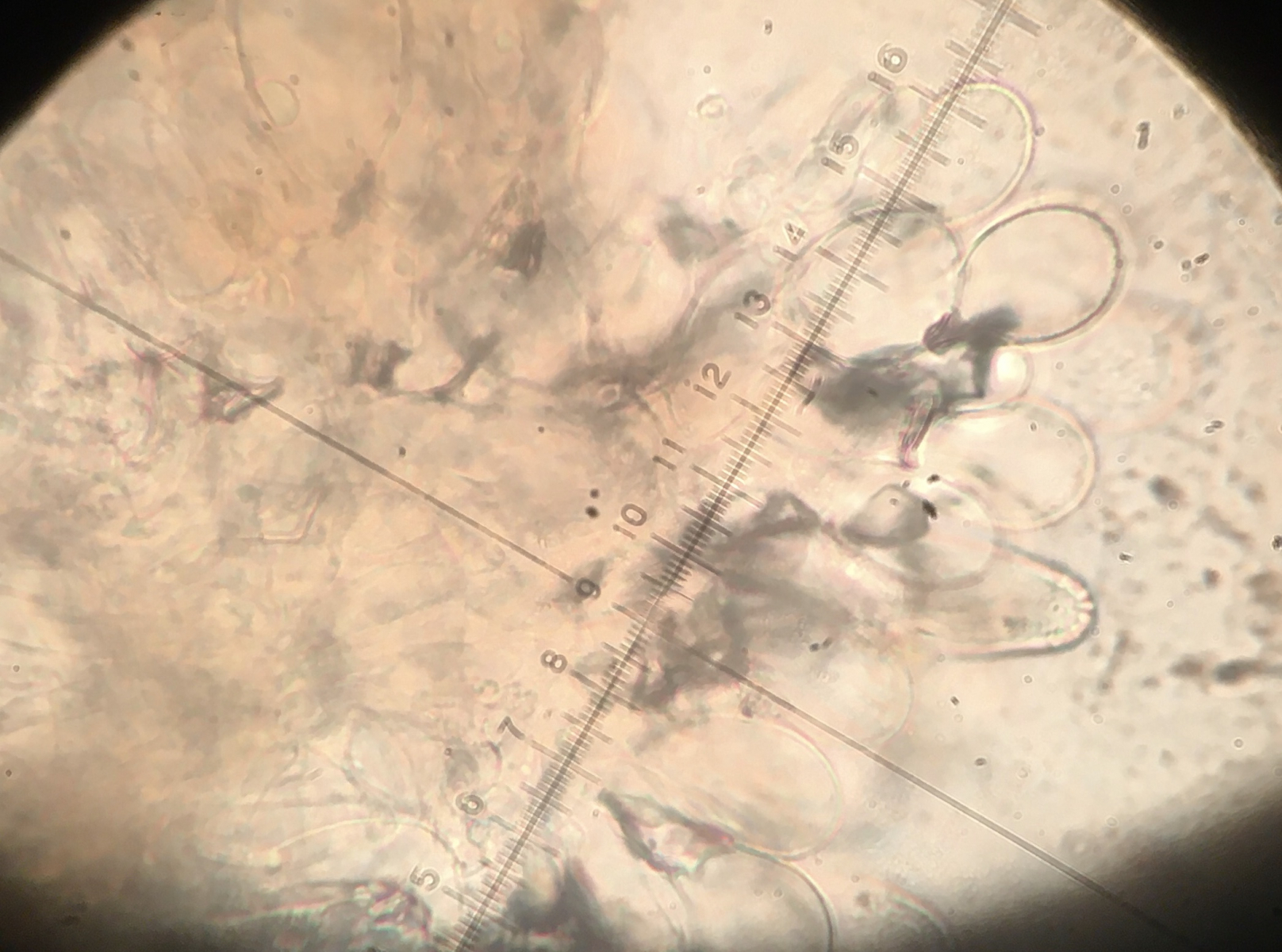
    Sporen: 9-9,5 x 5-5,5

    Könnte die in Richtung Inocybe fraudans gehen?

    LG

    romana










    103-15 APR2017+17(3.Platz)+2(Wette)=107-1(OBR)-15 APR2018=91+13(3.Platz)+8(Wetten)=112-2+7(Wette)=117-15 APR2019=102+8(8.Platz)=110-15 APR2020=95+12(3.Platz)+27(Wetten)=134-15 APR2021=119+10(4.Platz)+12(Wetten)=141-15+16 APR2022=142-15(APR2023)=127+18=145-15(APR24)=130

    • Offizieller Beitrag

    Hi,


    I. fraudans ist hier sehr gut möglich, wenn sonst alles gepasst hat. Das für mich wichtigste Bestimmungsmerkmal der Art ist das schnelle Röten und der süßlich-obstartige Geruch mit einer stechenden Gaskomponente, den ich sonst nur noch von I. corydalina kenne; nur dort ist die stechende Gaskomponente nicht so ausgeprägt.


    l.g.

    Stefan

    Risspilz: hui; Rissklettern: bisher pfui; ab nun: na ja mal sehen...


    Derzeit so pilzgeschädigt, das geht auf keine Huthaut. :D


    Meine Antworten hier stellen nur Bestimmungsvorschläge dar. Verzehrsfreigaben gibts nur vom PSV vor Ort.

  • Hi Stefan,

    vielen Dank für deine Erklärungen zu der Art! Ich leg den mal so ab!

    LG

    romana

    103-15 APR2017+17(3.Platz)+2(Wette)=107-1(OBR)-15 APR2018=91+13(3.Platz)+8(Wetten)=112-2+7(Wette)=117-15 APR2019=102+8(8.Platz)=110-15 APR2020=95+12(3.Platz)+27(Wetten)=134-15 APR2021=119+10(4.Platz)+12(Wetten)=141-15+16 APR2022=142-15(APR2023)=127+18=145-15(APR24)=130