From Lithuania with love: Elch
- boccaccio
 - Erledigt
 
Es gibt 16 Antworten in diesem Thema, welches 6.439 mal aufgerufen wurde. Der letzte Beitrag () ist von kruenta.
- 
			
 - 
			
Hallo zusammen,
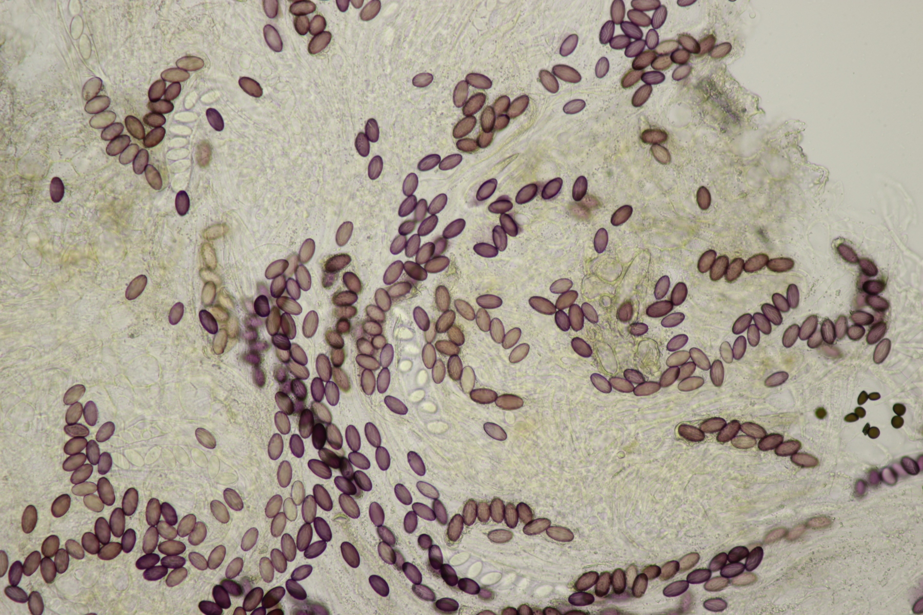
der Elch macht direkt weiter! Heute Abend konnte ich eine Sporormiella mit 7-zelligen Sporen entdecken (meine erste nicht vierzellige Sporormiella überhaupt). Gescheite Fotos zu machen war alles andere als einfach, da viele Fruchtkörper schon überreif waren und nur noch Sporenfragmente enthielten und in anderen Präparaten dann fiese Luftblasen immer genau dort saßen, wo es ohne sie schöne Bilder gegeben hätte. Aber ein paar Fotos sind dann doch ganz brauchbar geworden. Sporen messen ca. 41 µm x 8 µm, so daß ich mit der schrägen Keimspalte und den mittleren Zellen, die breiter als lang sind, bei Sporormiella vexans lande.
 - 
			
An Sporormiella vexans habe ich keine Zweifel, Björn.
Sporenform und ~größe lassen da nichts anderes zu.
Ich finde die Art meist im Frühjahr bis Frühsommer, nur ausnahmsweise auch später im Jahr.
LG, Nobi
 - 
			
 - 
			
 - 
			
so daß ich ohne große Zweifel bei Sporormiella lageniformis lande.
Völlig ohne Zweifel, Björn.
Man sieht auf deinen Bildern sehr schön die schräge Septierung, die ich so eindeutig nur noch von der kleinsporigen Sporormiella muskokensis kenne.
LG, Nobi
 - 
			
Hallo zusammen,
auch auf dem Elch hat sich in den letzten Wochen noch einiges getan.
1. Noch mal ein paar Bilder von Sporormiella lageniformis
2. Eine ganz neue Gattung für mich: Cercophora. Zum ersten Mal Anfang August entdeckt, gab es jetzt einen Fruchtkörper mit wenigen reifen Sporen, die (13.5-14.5) µm x (7.5-8.5) µm messen, und einfach septiert sind. Das Pedicel liegt bei ca 11.5 µm x 3.5 µm. Soweit ich das beurteilen kann, ist der Perithecienhals nicht haarig und auch die Peridie ohne Behaarung, womit ich im Doveri schon mal bis Schlüsselschritt 13 komme. Die Asci scheinen ohne runden Globulus zu sein, damit komme ich dann bis 15. Da ich keine kohligen Elemente in der Peridie erkenne, bleibt einmal C. coprophila, was allerdings von der Sporengröße her nicht paßt. Das tun die übrigen Arten unter Schlüsselschritt 18+19 allerdings auch nicht....
3. Dann hat auch der Elch eine Strattonia insignis hervorgebracht, die hatten wir ja schon auf dem Pferd
4. Auch Basidiomyceten zeigen sich. Meist ignoriere ich die ja eher, aber der hier schien mit dem grauen Hut interessant zu sein. Die Sporen messen (14.1+-0.4) x (7.4+-0.4) µm, Q=1.9+-0.1, bzw. (13.4-14.9) µm x (6.7-8.3) µm, Q=1.8-2.1. Leider konnte ich bei dem kleinen Fruchtkörper Huthaut und Lamellen nicht sauber trennen. Deshalb ist mir nicht ganz klar, ob die Huthaut nur aus ballonförmigen Zellen besteht, oder ob die länglichen Zystiden auch auf dem Hut zu finden sind und nicht nur Cheilozystiden sind. Da der Hut makroskopisch aber recht glatt aussieht, denke ich, daß eher keine länglichen Pileozstiden vorhanden sind. Die Basidien sind 4-sporig. So weit, so gut. Ist das ein kleiner Panaeolus? Da scheint aber nichts so recht zu passen. Psathyrella prona vielleicht?
Hut- und Lamellenmix
Sporen in KOH
Stiel mit Caulozystiden
Björn
 - 
			
Hallo Björn, reichlich Stoff zum Nachdenken hast Du wieder eingestellt!

Eine ganz neue Gattung für mich: Cercophora.
Erstmal Glückwunsch zur neuen Gattung!

Bei Cercophora ist es übrigens ganz sinnvoll, auch die unreifen Sporen zu messen. Die Gelanhängsel sind ebenfalls von Interesse.
Ich interpretiere anhand der Fotos die apikalen und basalen Anhängsel als gleichlang. Die kurzen Pedicel von 11,5 µm sind der Tatsache geschuldet, dass sie bereits kollabiert sind. Sie sollten in Wirklichkeit deutlich länger sein. Mit der Sporengröße und fehlender Globoli komme ich zu Cercophora silvatica (siehe Lundqvist Seite103/4).
Die Art bevorzugt Cervidendung und die meisten von Lundqvist untersuchten Funde stammen interessanterweise vom Elch!
Übrigens ist für mich DER "Lundqvist" erste Wahl, wenn es um coprophile Sordariaceae geht.
4. Auch Basidiomyceten zeigen sich.
Die Basidien sind 4-sporig. So weit, so gut. Ist das ein kleiner Panaeolus? Da scheint aber nichts so recht zu passen. Psathyrella prona vielleicht?
Bei dem Substrat denkt man natürlich zuerst an Panaeolus alcis. Leider sind dafür die Sporen deutlich zu klein.

Psathyrella prona ist eine Superidee! Die Art ist allerdings in der Regel zweisporig, braun und deutlich gerieft..
Aber Moment! Da gibt es ja noch Psathyrella prona fm. cana Kits van Wav. (siehe Ludwig Bd. 2, 98.79)
Basidien viersporig, Hut nicht durchscheinend gerieft, aschgrau (canus!) und nahezu ohne Velum. Sporen 12-16 x 6,5-8,5 µm.
Vorkommen direkt an Dung sind bekannt.
Also, aus der Ferne fällt mir nichts besseres ein.
LG, Nobi
 - 
			
Hallo Nobi,
jetzt habe ich es endlich geschafft, die unreifen Sporen der Cercophora auszumessen. Diese liegen bei etwa 40 µm x 3-3.5 µm. Die Caudae sind bis 60 µm lang (soweit es sich beurteilen läßt in der Tat apikal und basal von gleicher Länge) und das Pedicel konnte ich jetzt auch noch mal in nicht kollabierter Form beobachten, wo es dann 30 µm lang ist und unten etwas gebogen erscheint. Damit hast du wohl wieder mal einen Volltreffer mit Cercophora silvatica gelandet.
Was die Psathyrella angeht, habe ich jetzt sowohl mit den Beschreibungen von P. prona f. cana bei Ludwig als auch bei van Waveren verglichen und muß sagen, daß das wirklich sehr gut paßt (inklusive der Einschränkung von Ludwig, daß die Hüte nicht gerieft sind).
Björn
 - 
			
Ups! Ich war so lange nicht im Pilzforum unterwegs, daß ich beim Titel dieses Threads nicht an die Dungi-Fungis dachte, sondern enttäuscht war, daß da kein Bild von einem Elch war...

 - 
			
Hallo Grüni,
aber machen diese ganzen hübschen Dung-Pilze den fehlenden Elch nicht mehr als wett?

Björn
 - 
			
Liebe Grüni.
Ups! Ich war so lange nicht im Pilzforum unterwegs, daß ich beim Titel dieses Threads nicht an die Dungi-Fungis dachte, sondern enttäuscht war, daß da kein Bild von einem Elch war...
Vielleicht kann da Bernd kruenta weiterhelfen?

LG, Nobi
 - 
			
 - 
			
Hallo Grüni,
aber machen diese ganzen hübschen Dung-Pilze den fehlenden Elch nicht mehr als wett?

Björn
Äääähhh...ja, ja, gewiß!

Danke! Ist der süß!
boccaccio: Deine Dungpilzlein natürlich auch...

 - 
			
 - 
			
Hallo Bernd,
das sind doch ganz eindeutig Kängurus

Björn
 - 
			
Hi Björn, ich dachte eher an eine Kreuzung aus Esel und Kängaru

LG, Bernd
 
