Pippos Asco Thread
- PhilEsc
- Erledigt
Es gibt 99 Antworten in diesem Thema, welches 45.123 mal aufgerufen wurde. Der letzte Beitrag () ist von PhilEsc.
-
-
-
Servus Phil, starke Bilder und Dokumentation von Pilzen die man schon gezielt suchen muss, da vermutlich mit dem bloßen Auge nur zu erkennen wenn du weißt wo sie wohnen und schon eine Idee vom Aussehen im Kopft hast! Danke dass Du uns daran teilhaben lässt.
obwohl ich mein Mikroskop und die Präparation mittlerweile ganz akzeptabel beherrsche.
Tiefstapler..

Darf ich fragen wie Du diese tollen Schnittbilder der winzigen Ascocarpe hinbekommst? frierst du sie fest? bettest du sie ein? saugst du sie an einer Pippenspitze fest? - mit Pinzette und Rasierklinge wird das ja wohl kaum zu schaffen sein ohne alles zu zerquetschen...
Viele Grüße Ingo
-
Hi
Ich schneide das Zeug von Hand mit einer halbierten Rasierklinge und dem Fingernagel als Führung, unter der Stereolupe bei 10 bis 40facher Vergrösserung. Ich arbeite unten links im Sichtfeld damit ich dreidimensional sehe und nur eine Seite der Klinge sehe. Die Fruchtkörper sind dabei immer noch auf dem Substrat, das ich wenn möglich/nötig in der besten Position in eine kleine Zwinge einspanne. Geht natürlich je nach Konsistenz und Form der FK gut oder weniger gut, manchmal gehts besser wenn sie leicht angetrocknet sind, je nach Pilz. Gestielte Becherchen z.B. sind sehr mühsam.
Zum üben eignen sich z.B. Apothezien von Flechten. Trocken geht das recht einfach, feucht wird’s dann schwieriger. Aber da kann man mal ein Ästchen mitnehmen und hat dann genug Übungsmaterial das nicht verdirbt. Blätter/Laub oder Nadeln eignen sich auch gut, am besten gleich mit Pilz darauf. Man kann auch einfach mal ein Blatt von einer Zimmerpflanze nehmen und versuchen das genug dünn zu schneiden dass man es auf die Schnittfläche legen kann. Dann weiter mit einem dünneren Blatt.
Im letzten Tintling stand, dass sich Glycerinseife super eignet um Pilzmaterial einzubetten und dann fein zu schneiden. Habe ich gleich ausprobiert, kann ich überhaupt nicht bestätigen. Das Zeug verklebt und verschmiert die Finger, die Rasierklinge und sonstiges Werkzeug und auch das geschnittene Material muss erst wieder gewaschen werden und davon befreit werden. Dünne Schnitte hab ich damit auch nicht hingekriegt.
-
Danke für Deine ausführliche Antwort!
Ja ohne Stereolupe ist das eher nicht zu schaffen das war mir klar, deswegen bin ich da auch vorerst raus. Aber ich bin überrascht dass Du das Schneiden ohne weitere Hilfsmittel hinbekommst. Ich schätze der Fingernagel ist der Schlüssel. Flechten Apothecien habe ich schon mal präpariert, das ging erstaunlich gut, aber die waren auch vergleichsweise sehr stabil.
Ich freu mich dass du Deinen Thread fortsetzt!
Lg Ingo
-
Grüezi
Hier eine "einfach" zu bestimmende Orbilia die wohl recht häufig an Salix und Ulmus zu finden ist. Mein Fund stammt von toten Ästen einer umgestürzten Salix caprea und die Art heisst Orbilia aurantiorubra. Ich glaube langsam habe ich einigermassen begriffen auf was es ankommt bei der Bestimmung. Aber noch nicht gut genug um es zu erklären.

Schnitt Rand
Schnitte durch das Hymenium (Asci und Paraphysen)
Asci, Sporen
Basale Zellen des Extal Excipulums und Bindehyphen
Basale Zellen des Extal Excipulums mit SCBs ("soluble cytoplasmic bodies")
-
Grüezi

Das harzbewohnende Becherchen hier hatte ich schon lange vergeblich gesucht. Meine Freundin hat es nun gefunden. Es wuchs rund um abgestorbene Äste von Larix decidua und heisst Sarea resinae.
IKI
Das hier wuchs am Baum nebenan und müsste eigentlich die Anamorphe davon sein aber ganz sicher bin ich nicht.
-
-
Hi Phil!
Sehr beeindruckend, was du alles so findest und auch noch rauskriegst!
Und dann noch deine schönen Mikrobilder!
Verrätst du das Equipment?
Zu deinem Pyrenopeziza-Fund an Juglans-Petiolen habe ich diese Meinung:
VG Ingo W
-
Hi Ingo
Ich dachte, P. petiolaris komme nur an Ahorn vor. Da hätte ich eigentlich auch drauf kommen können mal mit deinen Dokus zu vergleichen.

Ich mache die Bilder mit einer Moticam S3 auf einem Motic BA-310. Ich spiele nur etwas mit der Belichtung und der Beleuchtung herum bis es passt und drücke dann ab.
-
Hallo Philipp!
Ich mache die Bilder mit einer Moticam S3 auf einem Motic BA-310. Ich spiele nur etwas mit der Belichtung und der Beleuchtung herum bis es passt und drücke dann ab.
Stark!
Diese Pyrenopeziza petiolaris hatte ich auch schon auf Buchenblatt und für einen Fund auf Stängel von Japanknöterich passt der genauso, auch, wenn ich es selbst kaum glauben kann.
Ich bin übrigens der Meinung, dass die Art bei Sequenzierung woanders landen wird als bei Pyrenopeziza mit ihren abweichenden Mikromerkmalen (Paraphysen).
Desweiteren sprachst du an, dass du auf IVV von Zotto oft die Einordnung der Arten nicht findest. Du kannst dir damit helfen, indem du oben im grauen Feld bei der Lupe (rechts vom GoogleDrive-Zeichen) die Suchfunktion nutzt und dann eine angezeigte Datei anklickst. Damit öffnet sich dann der Pfad, wo die Datei zu finden ist.
Eigentlich ist Zottos Einordnung Ergebnis von Sequenzierung und moderner/vernünftiger als die gültigen Schriften. Musste ja neulich lachen/weinen als ich sah, dass z.B. bei der Trichopeziza mollissima/leucophaea immer noch Lachnum gültig ist.
VG Ingo W
-
Hi
Ja ich habe vor wenigen Tagen dann doch noch gemerkt dass ich Zottos Dateien auch durchsuchen kann.

Ich bin ziemlich schlecht mit Gattungsmerkmalen. Ich weiss bei den meisten Gattungen nicht wirklich wie sie genau definiert sind und sehe diesen kleinen Pilzchen deshalb vielfach auch nicht an in welcher Gattung ich suchen muss. Und dort wo ich dachte dass ich es verstehe ist es dann plötzlich wieder anders... Verstehst du wieso Capitotricha jetzt wieder Lachnum ist? Ich habe einfach Spass daran, immer noch kleinere Ascos zu suchen, in Scheiben zu schneiden und sie zu bestimmen.
Das hier habe ich auf Rubus gefunden. Da es entfernt nach Stictis aussieht habe ich bei den Stictidaceae und in der Umgebung davon gesucht und bis jetzt der Meinung dass es Karstenia rhopaloides sein muss. Die Sporen sind bis 7x septiert und messen ungefähr 27.5 - 30.8 x 5.5 - 6.2µm, ich habe aber nur 4 gemessen.
-
Hallo Philipp!
und bis jetzt der Meinung dass es Karstenia rhopaloides sein muss.
Ja, würde ich dir glauben.
Verstehst du wieso Capitotricha jetzt wieder Lachnum ist?
Heutzutage ist ja der Trend eher so, Gattungen mit recht gleichen mikroskopischen Merkmalen bis zur Unkenntlichkeit zu zerbröseln, nur weil die Arten im Sequenzbäumchen etwas voneinander wegstehen.
Man darf da aber in diesem Fall hier mit Capitotricha durchaus auch weiter eine vernünftige Meinung behalten und muss nicht alles Geschriebene glauben.
Mitunter findet sich einfach keiner, der die Sache richtig stellt. Es besteht meines Wissens kein Grund die Gattung Capitotricha wieder bei Lachnum einzugliedern. Und wenn es sich durch die Genetik so herausgestellt hätte, dann wäre Zotto wohl der erste, der das in seinen Dateien korrigiert.
Im Notfall kann man auch mal bei der Konkurrenz von spezies fungorum nachlesen, also bei mycobank, da ist die Welt noch (oder schon) in Ordnung:
VG Ingo W
-
Heutzutage ist ja der Trend eher so, Gattungen mit recht gleichen mikroskopischen Merkmalen bis zur Unkenntlichkeit zu zerbröseln, nur weil die Arten im Sequenzbäumchen etwas voneinander wegstehen.
Da sagst Du etwas, Ingo!

Da könnte ich Beispiele ohne Ende bringen - doch da will ich den Osterfrieden wahren.
Ich glaube, den Pilzen ist das eh nicht so wichtig, in welche Schublade sie von uns Menschen gesperrt werden!

LG, Nobi
-
Grüezi
Hier mal eine eher seltene Art, Orbilia mali benannt nach dem Substrat des Holotypus, Malus sylvestris. Die Art besiedelt aber auch andere Substrate, mein Fund stammt von Fraxinus excelsior. Laut Zotto weichen Grösse und Form der Sporen zwar etwas von Holo- und Paratypus ab, aber die Bestimmung passt trotzdem.
Makro
Schnitt
Margin, Ectal Excipulum
Marginalzellen
Bindehyphen
Subhymenium, Medullary Excipulum, Ectal Excipulum, Bindehyphen (von oben nach unten)
Asci, Paraphysen
Sporen
-
Bah, der Kleinkram ist manchmal echt frustrierend. Ich brauche immer noch zwei bis drei Stunden um festzustellen dass ich zum dritten Mal Orbilia aristata eingesammelt habe...
Aber hey, wer so kleine Ascos findet, der findet natürlich auch die Grossen.

€ Ich habe O. xanthoguttulata in 10min wiedererkannt. Es besteht noch Hoffnung. Aber die ist auch wirklich einfach.

-
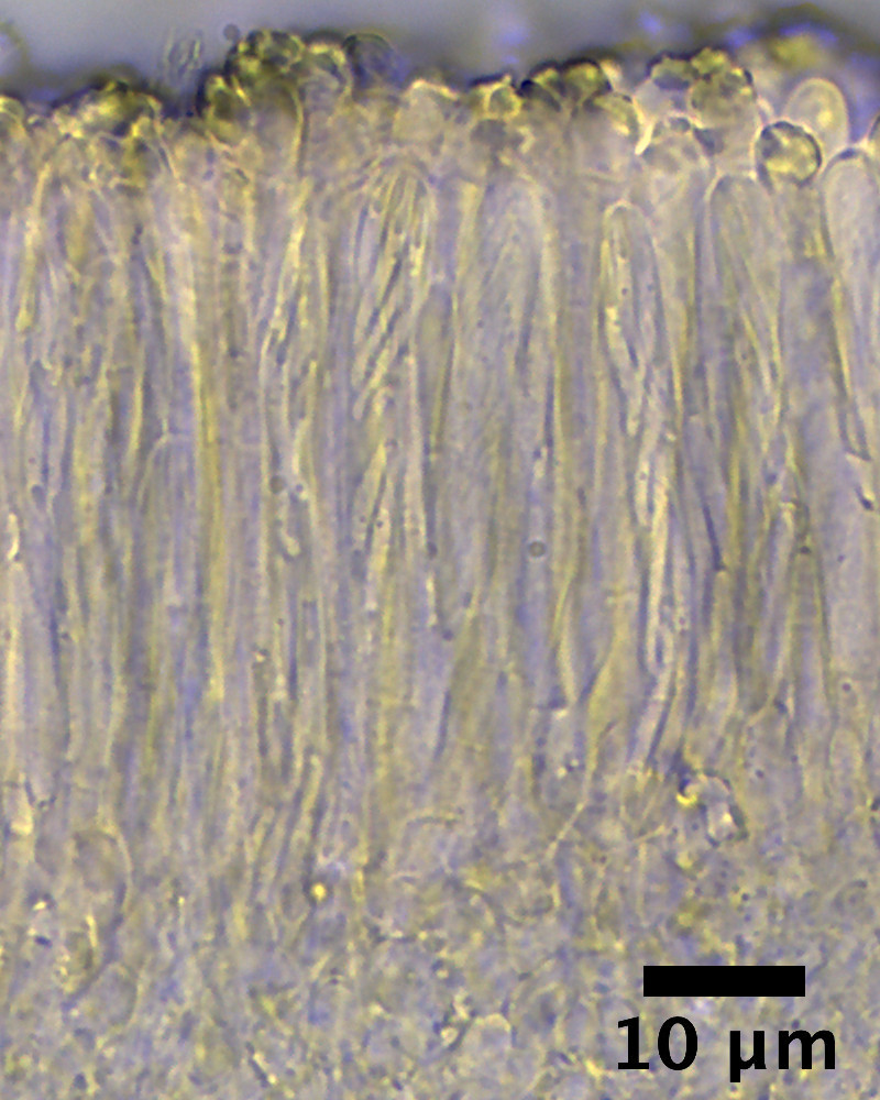
Das harzbewohnende Becherchen hier hatte ich schon lange vergeblich gesucht. Meine Freundin hat es nun gefunden. Es wuchs rund um abgestorbene Äste von Larix decidua und heisst Sarea resinae.
Servus Phil, jetzt fällt es mir wie Schuppen von den Augen! Danke für die Vorstellung der Art- ich fand sie im Dezember als sonst gar nix zu finden war auf einem verwitterten Stumpf einer alten Kiefer. Sie ist aber im "unbestimmt Ordner" gelandet weil ich erstens nicht gecheckt habe dass das Schwarze altes Harz ist auf dem sie wächst und zweitens ich die winzigen globosen Sporen für eine Zersetzungserscheinung gehalten hatte die ich auf den Frost zurück geführt hab

in Lugol färben sich die Asci komplett königsblau, eine nette Überraschung
so und jetzt muss ich mich mal wieder als Anfänger outen- es sieht so aus als wären die Asci doppelt bewandet- sind die also "bitunicat" oder ist das einfach nur eine ultrafette Wandstärke? Weisst du das zufällig?
LG Ingo
-
Hi
Da musste ich jetzt auch kurz googlen. Bitunicate Asci kommen in Apothecien nicht vor. Diese hier sind zwar zwei-, mehr- oder dickwandig und sehen darum aus wie bitunicat, von der Funktion (also der Art der Sporenfreissetzung) her sind sie aber inoperculat.
-
Wer googeln kann ist klar im Vorteil.. Sorry! Ich hatte das nur im Hinterkopf und dachte als ich davon damals gelesen hatte im Netz nicht viel dazu gefunden zu haben.. dass sie nicht in Apothecien vorkommen ist natürlich eine relevante Info, dabei gibts sogar einen Wikipedia Artikel dazu. Asche auf mein Haupt.
Nachtrag zum Thema:
Danke Björn für den aktuellen Artikel von Mitchel et al.
Dort werden die Asci als „rostrat“ klassifiziert, also in etwa „aussehend wie bitunicat aber nicht funktionell.“ Obschon eine optisch ähnliche Ausstülpung der Asci auftritt scheint es hier zu keiner vollständigen Trennung der Wände zu kommen.
„Previous authors have reported the asci of Sareomycetes as “lecanoralean” (i.e., “rostrate") and “not functionally bitunicate" (…) ascus dehiscence is characterized by a rupture of the outer layer at the tip of the ascus and protrusion of an inner wall. It is not clear in our observations whether there is any zone of full wall separation between the inner and outer layers; we thus agree with the view that this is the "rostrate" type of ascus dehiscence.“
Meine Vermutung scheint also zufällig doch nicht ganz so abwegig gewesen zu sein
VG Ingo
-
-
-
Helicogonium orbilianum auf Orbilia aristata. Wenn ich das richtig verstanden habe ist das ein intrahymenialer Parasit, der manchmal aus dem Hymenium heraus wuchert. Das wäre dann das gelbliche Kügelchen das auf dem Bild mit Pfeil markiert ist. Bessere Bilder habe ich leider nicht weil ich nicht mehr befallene Apothezien gefunden habe als dieses.
-
-
Das habe ich gestern auf toten Ästen von Picea abies gefunden, zusammen mit Orbilia alpigena, die ich dann auch mal noch zeigen muss. Die Apothezien sind etwa 1mm gross. Das muss Pseudographis rufonigra Syn. Pseudographis pinicola sein. Die Sporen werden in IKI schön violett was man auf den Bildern nicht wirklich sieht.
-
