Hallo zusammen,
am letzten Sonntag ging es vor dem großen Sturm mit dem APR zur Exkursion in den Landschaftspark Duisburg, genauer gesagt auf das Gelände der ehemligen Zeche Friedrich Thyssen 4/8. Insgesamt war die Ausbeute zwar etwas geringer als bei der Novemberexkursion, aber trotzdem gab es den einen oder anderen interessanten Fund. Im ersten Teil kommen zunächst Phytoparasiten, Ascomyceten und Schleimpilze an die Reihe.
1. Hyaloperonospora erophilae ex Draba verna agg. Konidiengröße (17-21) µm x (14-18) µm
2. Phragmidium violaceum ex Rubus fruticosus agg.
3. Cryptostroma corticale
4. Thedgonia ligustrina ex Ligustrum vulgare
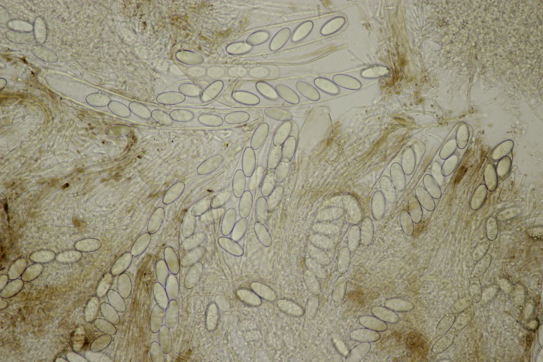
5. Lasiobolus cuniculi auf Kaninchen. Den hatte ich im Dungforum schon separat vorgestellt. Sporengröße (22-26) µm x 12 µm
6. Eine unbekannte Anamorphe auf Moos. Konidiengröße (14.9+-1.8) µm x (5.6+-0.7) µm
7. Pseudombrophila hepatica auf Kaninchen, Sporengröße (28.9+-0.6) µm x (13.0+-0.6) µm
8. Schleimpile, um die sich Jan-Arne kümmert
9. Verschimmelte Arcyria
10. Das würde ich bei Lasiobelonium einsortieren. Leider konnte ich noch keine reifen Sporen ausmachen. Reichen die gekräuselten Haare schon um es zu L. variegatum zu machen? Substrat war Pappelholz. Ingo W
11. Trichia varia
12. Hypomyces aurantius
13. Das würde ich Richtung Patellaria atrata einsortieren. Leider auch noch ohne reife Sporen. Liegt aber im Kühlschrank.
14. Trichia varia
Björn
