Hallo Dungpilzfreunde,
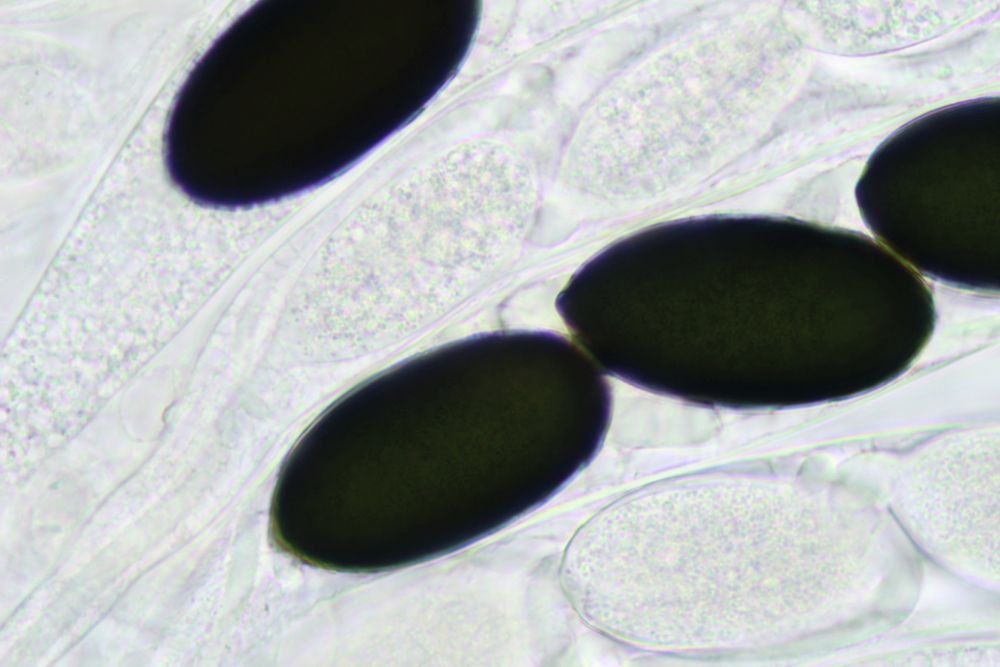
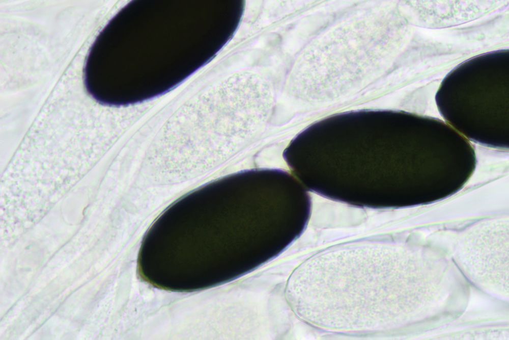
habe schon wieder drei neue Arten auf meinen Proben aus Namibia. Hier eine davon und zwar die mit den größten Sporen von allen bisher.
Eine 4-sporige Podospora mit Sporen, die fast 60µm Länge erreichen. Habe die Art zwar schon mal ich glaub bei der ersten Dungpilztagung mit drangehabt, aber hier das erste Mal fotogen.
Substrat diesmal ist Steppenzebra, 8 Exemplare hab ich bisher gesehen.
Viele Grüße,
Matthias
