Hallo zusammen,
habe gestern aller Voraussicht und Bestimmungsarbeit nach "Lentinus adhaerens" gefunden. Wollte diesen gerne mal hier zeigen und fragen, wie häufig euch dieser bereits untergekommen ist.
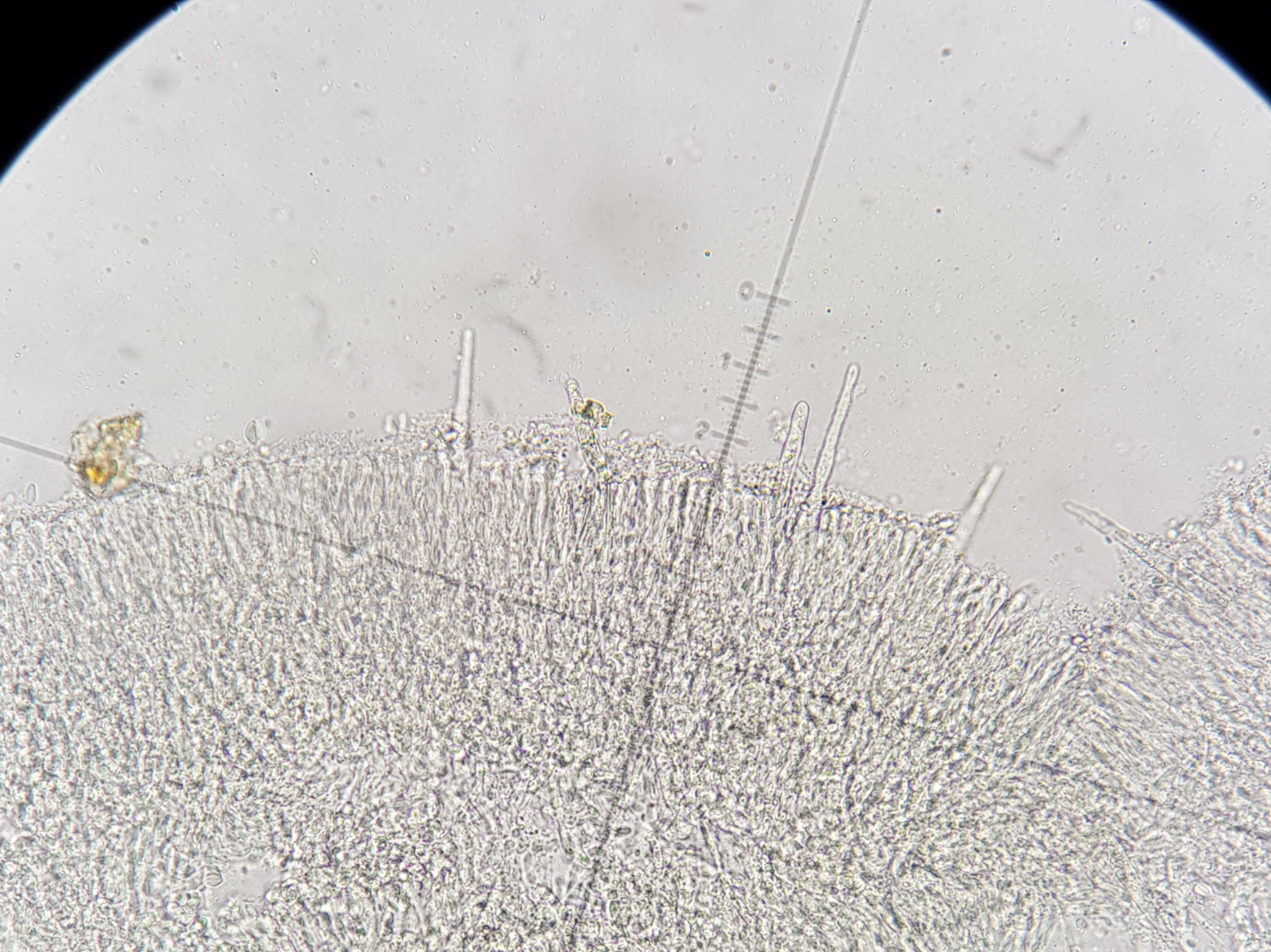
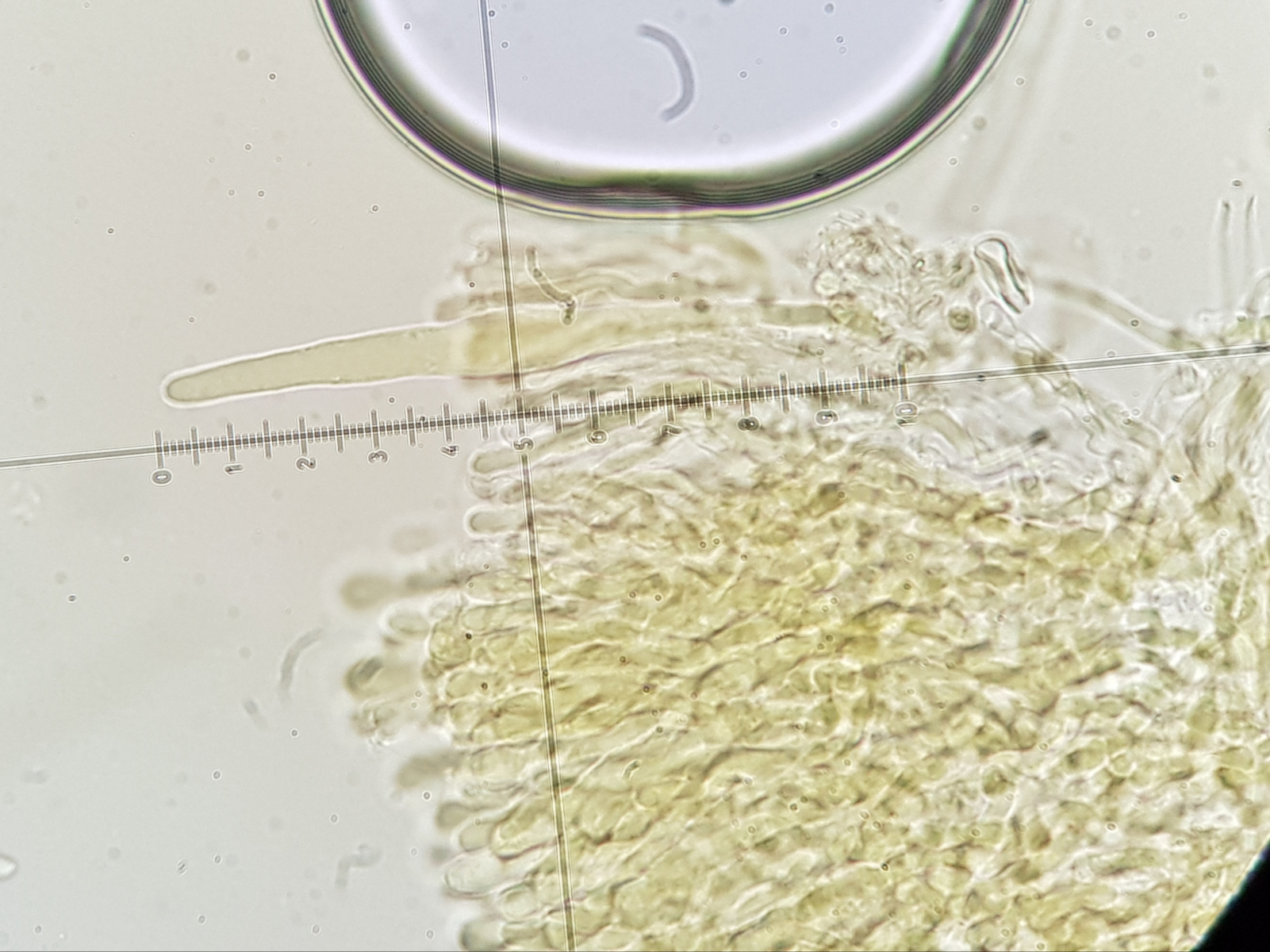
Sporen 7-8x3, SPP weiß, auffällige Makromerkmale, insbesondere die Lamellen betreffend (siehe Fotos).
Hervorstechend waren auch die auffälligen Pleurozystiden (lanzettlich bis schwach bauchig, wie bei Ludwig beschrieben passt) und die Marginalhaare.
Im Netz findet man dazu nicht sehr viel. Interessant fand ich die Gattung "Lentinus" die mir so noch nicht häufig bewusst begegnet ist. Ich fand auch interessant, dass diese Gattung sowohl Porlinge als auch Blätterpilze beherbergt (Ordnung Polyporales).
Beste Grüße
Sebastian
