Hallo zusammen,
nachdem ich am Vortag spät abends auf abenteuerliche Weise von Prag über Zürich doch noch zurück nach Hause gekommen war, ging es am Sonntag den 21.7. auf eine kleine Runde an die Regattabahn und in den Duisburger Stadtwald, wo sich doch der eine oder andere Pilz zeigte. Zu Hause stellte sich dann raus, daß mein Immersionsobjektiv den Dienst verweigerte
Aber das habe ich dann als Wink des Schicksals gedeutet und endlich von meinem alten monokularen Bresser upgegraded auf ein richtiges Mikroskop. Jetzt also die Pilze:
1. Tranzschelia discolor ex Prunus spinosa
2. Microbotryum saponariae ex Saponaria officinalis
3. Puccinia komarovii ex Impatiens parviflora
4. Puccinia lapsanae ex Lapsana communis
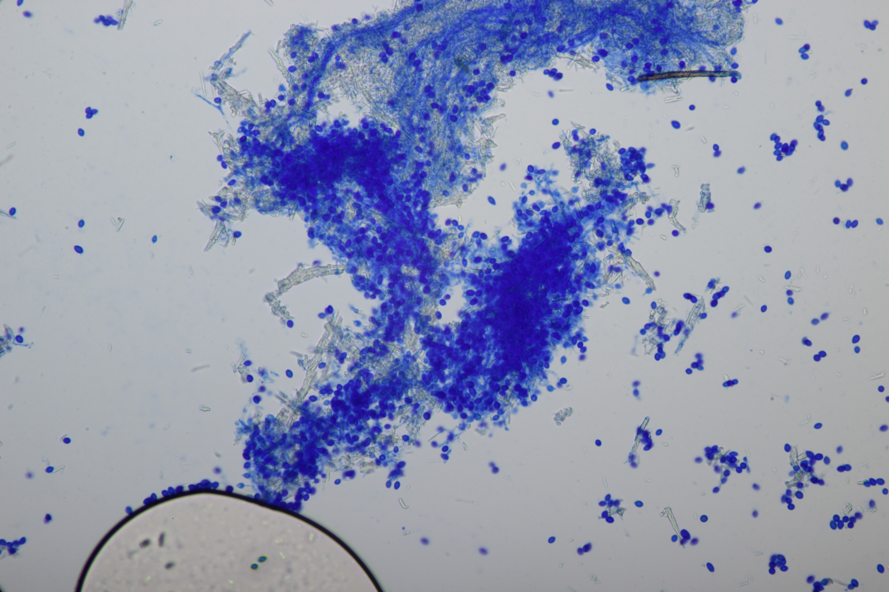
5. Hyaloperonospora niessliana ex Alliaria petiolata
6. Claviceps purpurea ex Dactylis glomerata
7. Coleosporium senecionis ex Senecio sp.
8. Großpilze gab es aber auch! Der hier wuchs an Laubholz und scheint seltsamerweise nur aus Konidien zu bestehen...
9. Russula violeipes
10. Daldinia sp. an Roßkastanie.
Björn
