Hallo,
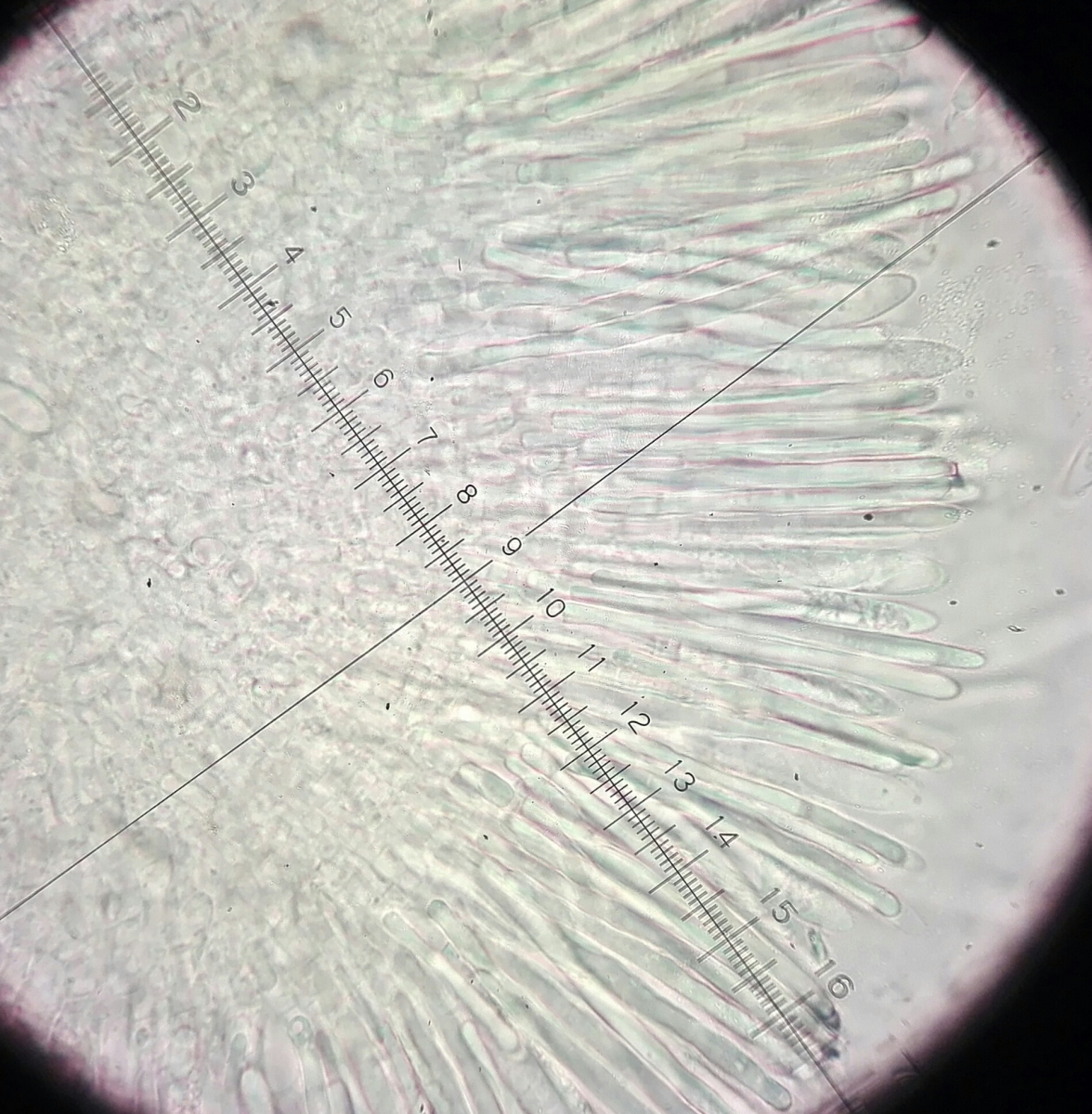
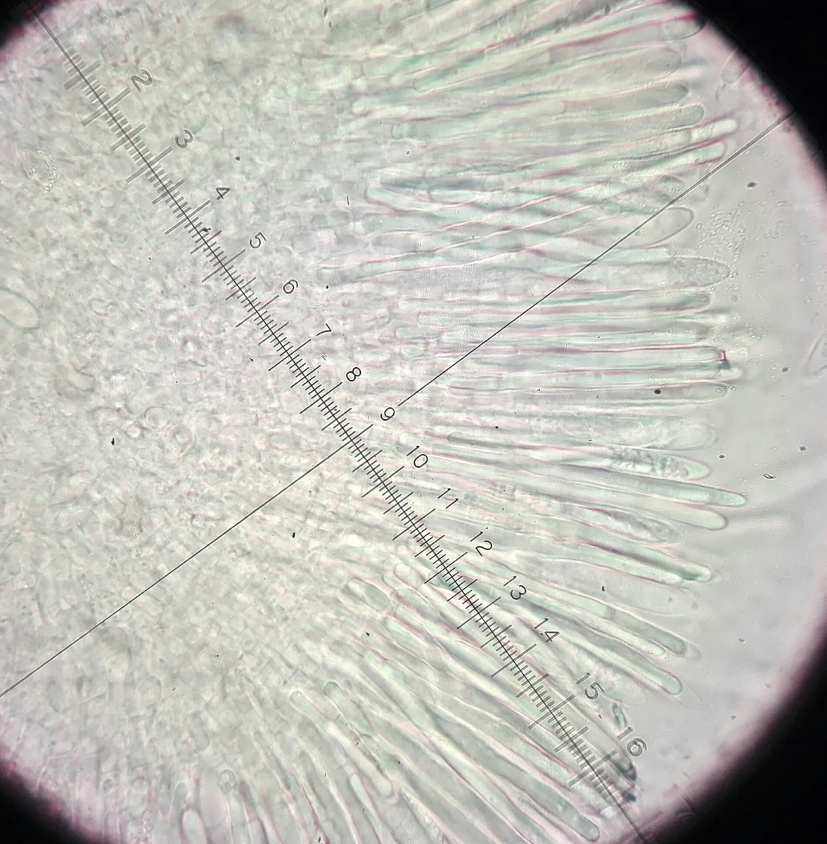
gestern war ich mit Wolfgang Klofac in Niederösterreich in der Nähe von Hainburg unterwegs und dort fanden wir völlig vertrocknete Becherlinge an einem ziemlich alten Feldahorn-Stückchen. Ich habe die Becherchen befeuchtet und sie wurden wieder richtig hübsch - eine sehr reiche Kollektion. Ich weiß schon, Mollisia ist recht schwierig, dennoch möchte ich hier mal in die Runde fragen, in welche Richtung das gehen könnte. Mollisia lividofusca ist schon mal auszuschließen, da das Subhymenium nicht braun ist. Könnte es Richtung Mollisia ventrosa oder melaleuca gehen? Ich habe bisher nur ein zu stark gequetschtes Schnitt-Mikrofoto angefertigt.
LG
romana
