macht auch Mist ![]()
Servus,
und auf seinen Hinterlassenschaften fängts an zu wachsen.
Gleich auf dem ersten Schaf´s-Köttel 3 ( ?) Kanditaten.
1. Ascobolus cf michaudii oder ?
Irgendwie passt das Sporen-Ornament nicht ganz dazu
Das Apothecieum ist relativ hoch zylindrisch,
Die Außenseite gelblich, aus Excipulum angularis/globulosa
Asci : zylindrisch keulig, 210 x20µ
x 1000
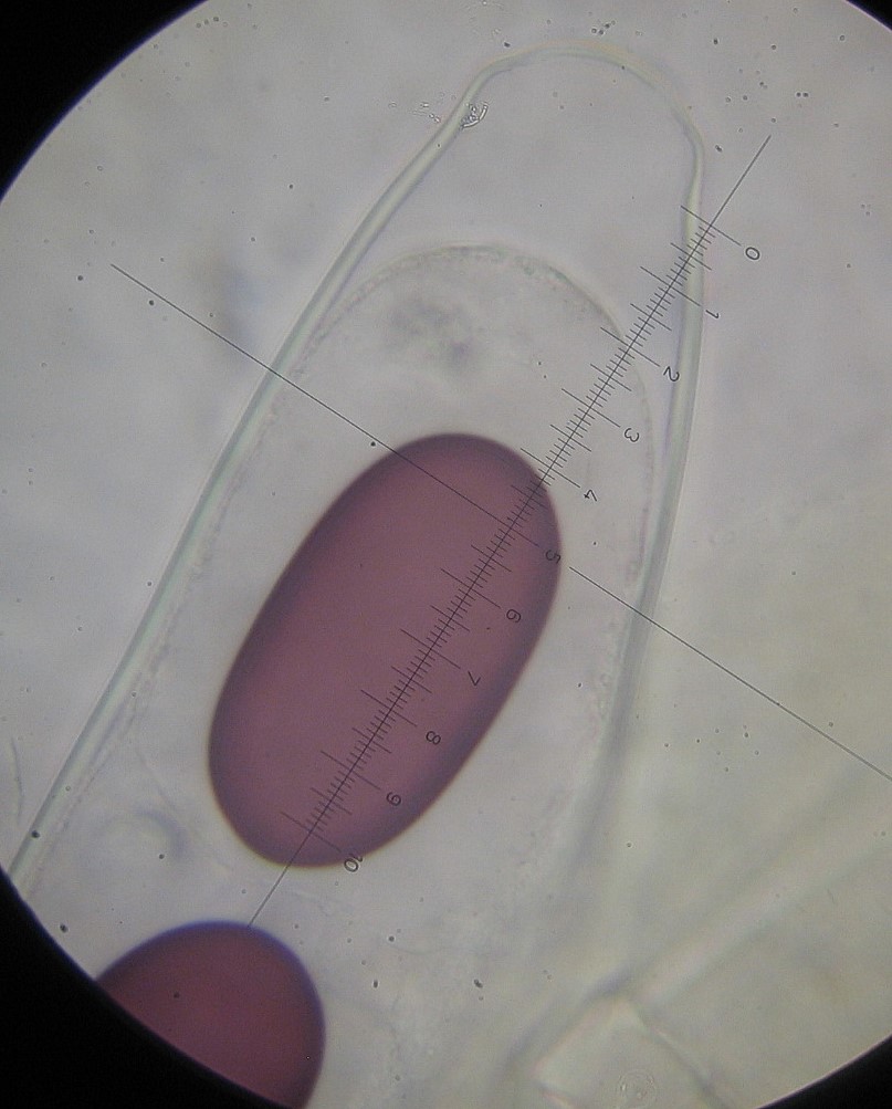
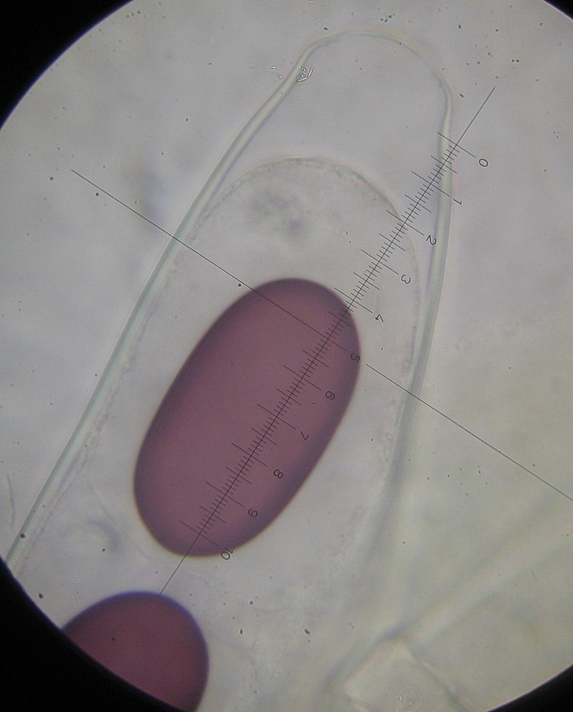
Sporen: 17-20 x 8-9,5µ ellipsoid, liniert ornamentiert
x 1000
Mit Lugol färben sich die schleimigen Zwischenräume,
Die Asci nicht!
2.
Direkt daneben sind 2 Apothecien mit hyalinen Seten
Die sehen irgendwie nach Lasiobolus cf cuniculi aus.
Paraphysen fädig mit einzelnen, gelblichen Pigmentpunkten
Excipulum Textura angularis-epidermatoidea
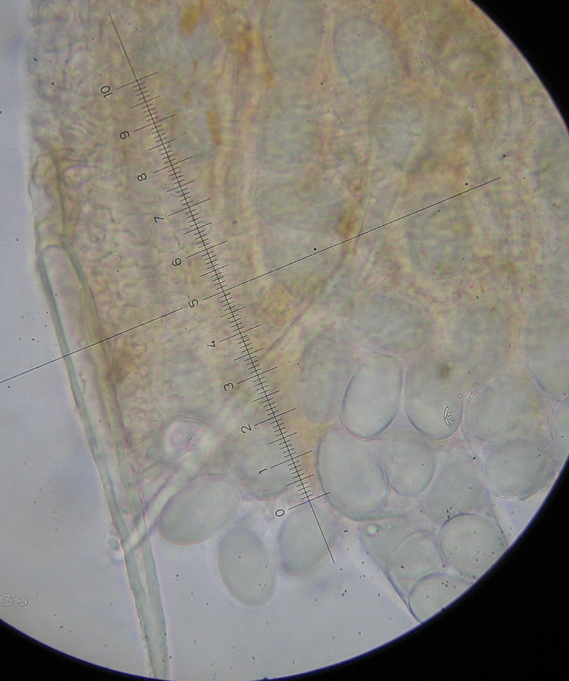
Seten: dickwandig, zugespitzt, an der Basis nicht bauchig erweitert, 100-350 x 8-12µ
Sporen : breitellipsoid, glatt, 20-23 x 12-14µ
Asci: 8-sporig, 130-150 x 20µ, zur Spitze leicht erweitert, IKI -
Hier mit Chloralschwarz löst sich das Epispor
x 1000
Und als 3.
noch mal ein Ascobolus den ich eigentlich als A. immersus bezeichnen würde.
Apothecien erst kugelig, dann aufplatzend, man sieht dann eine grüngelbe schleimige Masse
Und ein Tag später dann hervorragende Asci mit "riesigen", violetten Sporen.
Wenn die Asci nicht 4-sporig wären und die Sporenform nicht leicht abweichen würde wär´s einfach.
Ich denke das gleiche hat Harzi auch schon mal gefunden.
Ich hab 2 Apo´s angeschaut und nur 4-sporige Asci gesehen
Ascus 500-700 x 85µ leicht keulig und die Sporen uniseriat angeordnet.
Die Aussenseite braun
Sporen: erst hyalin, dann violett, 65-72 x 32-35µ, teils tailliert, mit umgebender Schleimhülle
x400
x 1000
In IKI ( Lugol) Asci-Wände blauend
So, das war der 1.Teil des Schafs mal sehn, was im Laufe der Zeit noch wächst.
Bin auf eure Meinungen gespannt.
Grüße
Felli
