Hallo ihr lieben,
Am Montag 10.09.2018 haben wir eine feine Tour durch das Rotbachtal in Bottrop Grafenwald unternommen.
Mit dabei waren Klaus, Björn und Karin.
Kurz vor Ende der Tour die uns immerhin über 120 Arten beschert hatte stießen wir auf einen Pilz der uns vor ein Rätsel stellt.
Rein optisch mag man meinen Psathyrella leucotephra oder Agrocybe aegerita vor sich zu haben.
Allerdings hat unser Fund für beide Arten deutlich zu kleinen Sporen.
Bislang hatten weder Klaus noch Karl noch ich eine zündende Idee wo wir suchen müssen.
Vielleicht schafft ihr es ja das Ding zu knacken.....
1. Wachstum büschelig an einem Buchenstumpf, Hut von der Mitte her hygrophan, deutlich runzelig
2.Keine Cheilozystiden, nur Pleuros, teils dickwandig, apikal mit kurzem fingerartigem Auswuchs
a:
b:
c:
d:
e:
3.
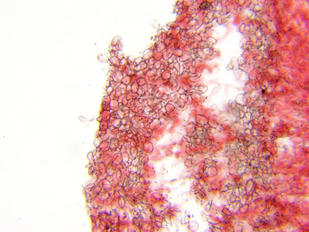
HDS in Kongorot SDS
4.
Sporen 2000x
Keimporus mehr oder weniger deutlich
5.
Sporenmaße
Wir sind komplett Ratlos, sowohl der Gröger als auch die GPBW schlüsseln ins Leere, Alles was irgendwie passt müsste deutlich größere Sporen oder andere Zystiden haben.
Auf jeden Fall aber schon mal vielen Dank für eure Hilfe ![]()
