Heterogastridium pycnidioideum auf Impatiens glandulifera

Es gibt 9 Antworten in diesem Thema, welches 5.423 mal aufgerufen wurde. Der letzte Beitrag () ist von thorben96.

  • Hallo zusammen


    Heterogastridium pycnidioideum Oberw. & R. Bauer, Mycologia 82: 55 (1990)


    Vor ein paar Tagen (04.11.17) fand ich eine komische Anamorphe auf einem Halm des Impatiens glandulifera.
    Ich weiß weder was das ist, noch wozu ich es genau ordnen soll, weshalb ich jetzt einfach mal von einer Anamorphe ausgehe.
    Dieser Pilz scheint 2 Formen von Konidien zu bilden, einmal welche die einzeln sind und sternförmig zusammengewachsene Drillinge.
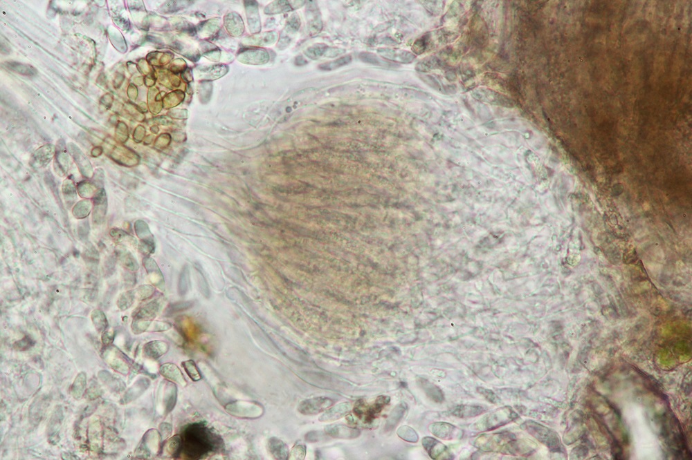
    Hier sind die Bilder:
    1.


    2.


    3.


    4.


    5.


    6.


    7. in Lugol


    8. dieser Pilz besitzt auch so eine Art Tentakel wie bei einem Tintenfisch (in Wasser)


    9. in Wasser


    10. in Wasser


    11. in Lugol


    12. in Lugol


    VG : Thorben

  • Hi Thorben,


    das ist mal was richtig Spannendes, mit Sicherheit (mindestens) eine Anamorphe. Einen Namen kann ich auch nicht nennen, was mich aber interessieren würde:
    Kannst Du irgendwie erkennen, wie diese dreigeteilten mit dem Rest zusammenhängen? Entwickeln sich daran vielleicht die Konidien oder werden die beiden oberen, kürzeren Teile zu den großen freien Konidien?
    Auf dem letzten Foto sind Ansätze zu erkennen, die solche Drillinge werden könnten, das kann ich aber nicht sicher deuten.



    Auf dem ersten Makrofoto oben erkennt man die kleinen weißen Synnemata und daneben einen weißen Filz. Hast Du so einen Filz mal einzeln untersucht?


    Viele Grüße,
    Matthias

    Je intensiver man sich mit Pilzen beschäftigt, desto komplizierter wird es, sie zu bestimmen.

  • Hallo zusammen


    Joe:

    Zitat


    Hallo thorben, auch wenn ich von "deinen" pilzen nie etwas verstehen werde schau ich mir deine beiträge gerne an, danke fürs zeigen!


    Nichts zu danken ;)


    Matthias:


    Zitat


    das ist mal was richtig Spannendes, mit Sicherheit (mindestens) eine Anamorphe. Einen Namen kann ich auch nicht nennen, was mich aber interessieren würde:


    Kannst Du irgendwie erkennen, wie diese dreigeteilten mit dem Rest zusammenhängen? Entwickeln sich daran vielleicht die Konidien oder werden die beiden oberen, kürzeren Teile zu den großen freien Konidien?
    Auf dem letzten Foto sind Ansätze zu erkennen, die solche Drillinge werden könnten, das kann ich aber nicht sicher deuten.


    Ich habe keine Ahnung wie das bei diesem Pilz genau abläuft.
    Aber ich gehe davon aus, dass die Drillinge (Bild 12) und die große freien Konidien (Bild 11) abgeschnürt werden können.
    Momentan kann ich nicht viel sagen, aber vielleicht bald mehr wenn ich Experten angeschrieben habe.
    Sobald ich über diesen Pilz mehr weiß melde ich mich wieder.


    VG: Thorben

  • Hallo zusammen


    Der Pilz hat jetzt dank Dr. Franz Oberwinkler einen Namen.
    Denn dieser wurde vor fast 30 Jahren von ihm als Heterogastridium pycnidioideum beschrieben.
    Eine Besonderheit ist, dass er so wohl Basidiosporen als auch Konidien hat.


    VG : Thorben

  • Dieser Thread kann zu den Portraits verschoben werden.
    Gerade ist Mycobank down, weshalb die Synonyme später hinzugefügt werden.


    VG : Thorben

    • Offizieller Beitrag

    Aye.


    Eben gesehen, bin gerade beim Einpflegen.
    Schwierig: Dafür gibt's eigentlich keine geeignete Rubrik bei den Basidios. Also mal vorläufig zu "Aphyllos s.l." geschoben, im Index wird's dann ja deutlicher.
    einen Ordner mit Überschrift "Sonstige" bräuchte man hier noch, wie bei den Ascos.



    LG; Pablo.

  • Hallo zusammen,


    ich konnte 2019 im gleichen Gebiet ebenfalls eine Fund machen. Jetzt 2021 gelang mir am 25.09.21 ein weiterer Fund, aber nicht in dem gleichen Auenwaldgebiet.

    Was alle Funde gemeinsam haben, ist das Substrat die Stängel von Impatiens glandulifera.

    Die Stängel dürfen nicht trocken, sondern müssen schon feucht sein.

    Hier sind die Bilder:

    2.0


    2.1


    2.2


    2.3


    2.4


    2.5


    VG : Thorben