Hallo an alle!
Heut Stelle ich euch mal eine Fund vom letzten WE vor:
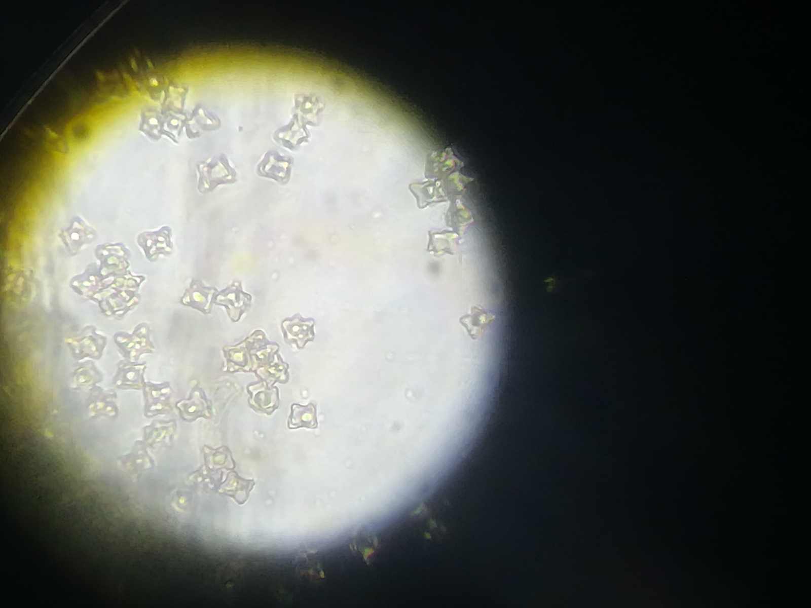
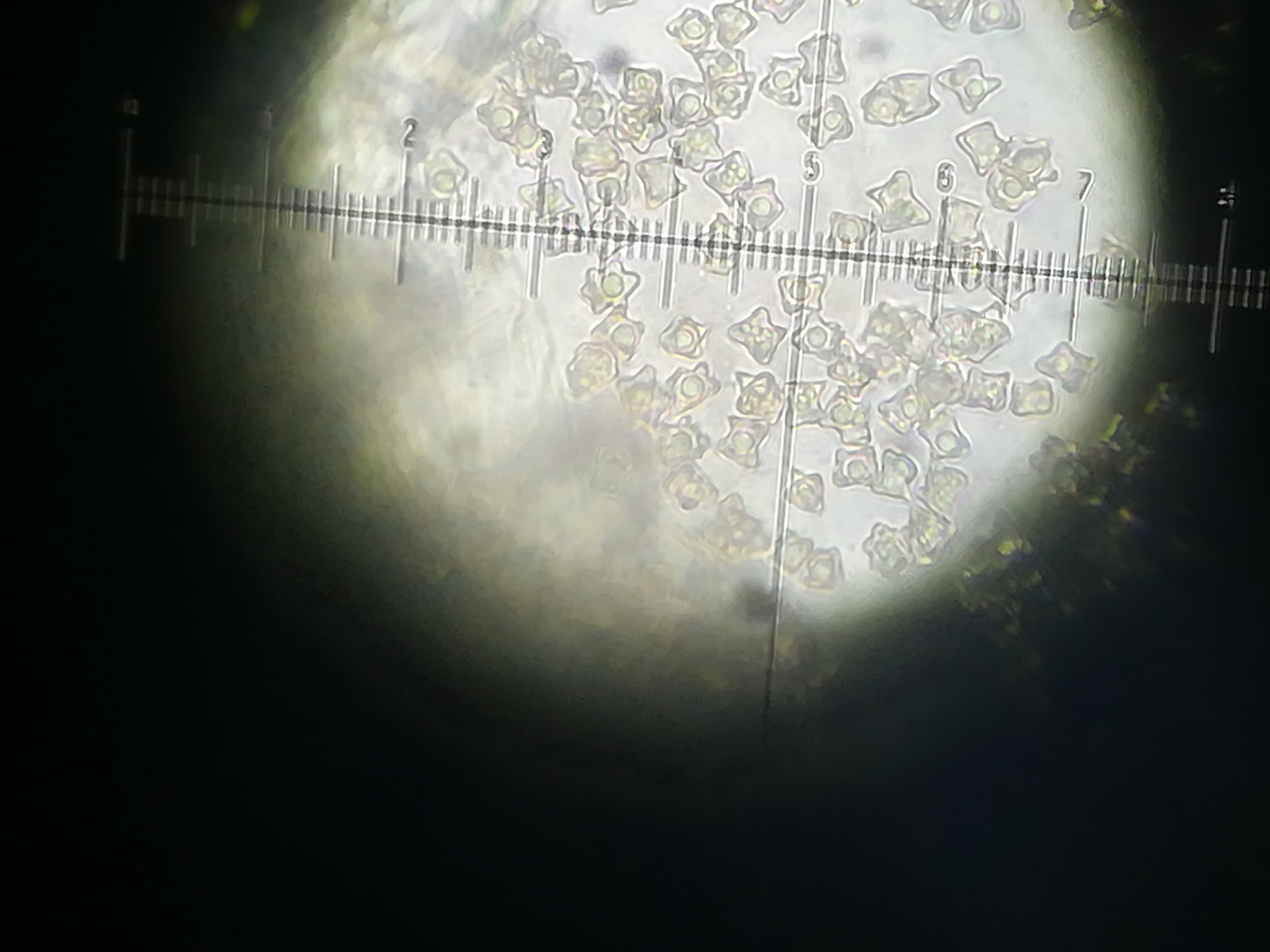
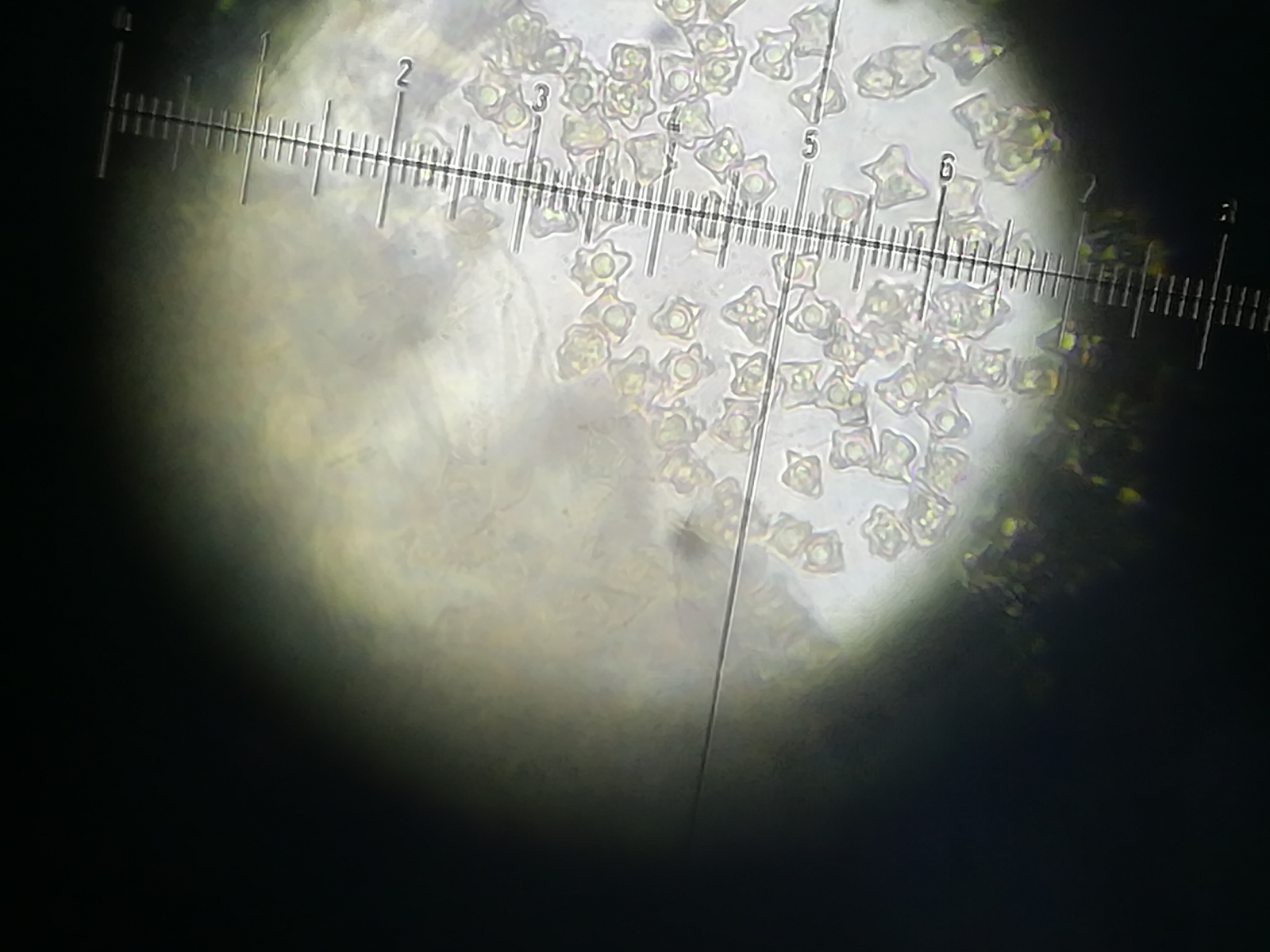
Höchstwahrscheinlich Entoloma conferendum. Leider keine Makrofotos vorhanden, aber die Mikrobilder müssten für sich sprechen, oder?
LG Michi ![]()
Hallo an alle!
Heut Stelle ich euch mal eine Fund vom letzten WE vor:
Höchstwahrscheinlich Entoloma conferendum. Leider keine Makrofotos vorhanden, aber die Mikrobilder müssten für sich sprechen, oder?
LG Michi ![]()
Mich würde total interessieren (falls es echt ist und nicht erfunden (!) ), wie man es wissenschaftlich erklären kann, dass er/sie keinerlei Vergiftungssyndrome hatte vom Grünen Knollenblätterpilz!
Vielleicht wars der ja auch gar nicht (Intuition.....
)
LG, Josef
Stimmt, das kann natürlich theoretisch auch sein 🤷
LG Michi
Hallo an alle!
Höchst interessant....
Klar, normal ist das auf keinen Fall!
Aber man sollte es auf jeden Fall interessiert verfolgen, ich finde sowas echt spannend!
Auch wenn ich sowas natürlich auf gar keinen Fall machen würde, finde ich sowas zu analysieren und zu interpretieren höchst interessant!
Mich würde total interessieren (falls es echt ist und nicht erfunden (!) ), wie man es wissenschaftlich erklären kann, dass er/sie keinerlei Vergiftungssyndrome hatte vom Grünen Knollenblätterpilz!
Danke für den Link!!
LG Michi (der dann doch lieber echte Speisepilze isst anstatt den grünen Knollenblätterpilz
)
Alles anzeigenwir haben hier hauptsächlich Waldmeister Buchenwälder auf Löss und Keuper mit eingestreuten anderen Baumarten.
Das ist ja interessant! In welcher Gegend ist denn das?
LG
südöstlich von Heidelberg,
Grüße Peter
Hallo Peter, danke. Interessant...
LG Michi
Alles anzeigenHallo Michi,
ich komme aus Ostsachsen und bin auch regelmäßig jedes Jahr ein paar mal in den reinen Kiefernwäldern im Braunkohlenrevier um Boxberg und den Truppenübungsplatz Nochten unterwegs. Kurioserweise habe ich den Kiefern-Habichtspilz bis jetzt noch gar nicht entdeckt und den Kupferroten Gelbfuss höchstens erst 2 oder 3 mal.
Dafür gab es in guten Jahren die Körnchenröhrlinge, Butterpilzarten (ringloser und beringter) und die Heidesandpilze+Pfefferröhrlinge+Kuhpilze in rauen Mengen und fast immer in bunter Mischung gesellig mit- und nebeneinander.
LG
Ute
Hallo Ute!
Aha, danke Dir!
Dee Habichtspilz ist ja wirklich selten, aber chroogomphus....
Butterpilze gibt's bei uns auch en masse, der Rest ist nicht weniger häufig.
LG Michi ![]()
wir haben hier hauptsächlich Waldmeister Buchenwälder auf Löss und Keuper mit eingestreuten anderen Baumarten.
Das ist ja interessant! In welcher Gegend ist denn das?
LG
ich geh seit vielen Jahren bei mir im Umkreis von ca. 20 km regelmäßig in diverse Wälder. Ich hab den bei mir noch nie gefunden. Grund dafür sind die fehlenden Kiefern. Ein paar Kilometer weiter in den Kiefernwäldern der Rheinebene ist das auch ein sehr häufiger Pilz.
Ist das dann bei dir ein Fichtenwald oder Laubwald?
LG Michi
Alles anzeigenHallo Michi,
bei mir im Münchner Norden einer der häufigsten Schwammerl in Kiefernforsten, natürlich zusammen mit Suillus granulatus.
Grüßle
RudiS
Servus Rudi, danke dir. Suillus granulatus ist bei uns auch häufig (aber nicht soo häufig), ich kenne sogar eine Stelle, wo beides komplett durcheinander wächst.
LG Michi
Alles anzeigenHallo,
Ich habe mich beim Blick auf die Verbreitungskarte auch gefragt, ob die sächsischen Daten darin evtl. fehlen?
Der Kiefern-Habichtspilz z.B., der ja in Ostsachsen häufig sein soll, hat auch kaum Funddaten.
LG, Craterelle
Hallo Craterelle, ja, sehr komisch...
LG Michi
Alles anzeigenHi,
was ist schon selten? Ich finde, wenn ich Glück habe 2-3 Fruchtkörper pro Jahr; allerdings liegt das auch wirklcih daran, dass man in die entsprechenden Habitate gehen muss, wo der wächst.
Hier hast du mal ne aktuelle Verbreitungskarte.
Verbreitung Gomphidius rutilus (Schaeff. : Fr.) S. Lundell 1937
Warum der so selten angefragt wird; keine Ahnung, mag aber vielleicht daran liegen, dass er "nicht" so apetitlich aussieht.
l.g.
Stefan
Hi Stefan, krass!! Hätte ich niemals gedacht dass er irgendwo so selten ist wie bei dir!
Danke für die Karte - so häufig scheint er ja dann doch nicht zu sein ..
LG Michi ![]()
Hallo an alle!
Ich hab da mal eine Frage....
Bei mir (Nürnberg + nähere Umgebung) ist der Kupferrote gelbfuß einer der häufigsten Pilze, vor ein paar Tagen hätte man damit einen ganzen Korb füllen können.
Allerdings sehe ich ihn im Internet sonst nirgendwo. Noch nie auf YouTube, sehr selten als Anfrage im Forum.
Woran liegt das?
Nirgendwo steht, dass er irgendwie selten oder so ist. Und m.W. nach ist er es auch nicht.
Und so leicht zu bestimmen, dass jeder ihn kennt, ist er ja auch nicht...
Würde mich über antworten freuen!
LG Michi ![]()
Alles anzeigenHallo.
Meine Schwester und ich fanden in Mittelfranken ein paar kleine Exemplare.
Hier ein paar Bilder.
Große waren schon etwas angefressen und man sieht auch den Pilzen an, dass es im Wald an Feuchtigkeit fehlt.
Hi, eine Frage zwischendurch:
WO IN MITTELFRANKEN BIST DU BITTE UNTERWEGS, DASS DU SOVIEL FINDEST? UND![]()
![]()
![]()
Unglaublich, ich komme aus Nürnberg, und der einzige Wald, wo es einigermaßen was gibt, ist Nähe Brombachsee...
LG Michi ![]()
Hallo Frank!
Danke, ich habe leider kein KOH Zuhause.
Danke für den Tipp mit dem Abdruck, jetzt weiß ich bescheid.
LG und schönen Abend noch!
Michi
Alles anzeigenHallo Michi!
Es gibt noch zwei Möglichkeiten, die Bestimmung zu überprüfen:
1.) NaOH oder KOH (Natronlauge bzw. Kalilauge), damit sollte sich das Fleisch gelb verfärben.
2.) Die Lamellen vom Stiel wegbrechen, da sollte ein violetter Abdruck am Stiel zu sehen sein.
Gruß,
Frank
Kalimera!
Oh man, du glaubst gar nicht, wie gern ich gekommen wär....
Aber in Bayern gibt's eben leider keine Ferien - bzw erst Ende Oktober....
Schade.. ![]()
Aber wenn sowas übernächstes Jahr geplant wird, wäre ich wirklich gerne dabei!!
Ich finde sowas eine super Idee, nicht nur in Deutschland, sondern auch international zu machen! Zumal es in südlichen Ländern ja auch total interessantes zu entdecken gibt!
LG Michi ![]()
Hallo Christoph,
eventuell, aber nur gaaanz eventuell komme ich auch - ich will eigentlich schon mal auf so eine Tagung, was man da so hört, ist ja total interessant!
P.s. Burg Rothenfels....Erinnerungen an 5. Klasse werden wach, da hatten wir Schullandheim ![]()
![]()
LG Michi ![]()
Alles anzeigenHallo Michi
Ja , das passt gut
Ich finde ja Semmelgelber Schleimkopf ein besserer deutscher Name für C. varius
Hutfarbe semmelgelb, violette Lamellen,
weisses Fleisch, keuliger Stiel mit violettem Ring am Lamellenansatz
Gruss
Uwe
Hallo Uwe, danke dir für deine Meinung.
Schau ma'mal, ob noch andere schreiben...
LG Michi ![]()
Hallo Pilzfreunde!
Heute am Brombachsee gefunden im Fichtenwald.
Ist es der semmelgelbe Schleimkopf?
LG Michi
Hi, von meiner Seite aus hast du die zwei richtig bestimmt!
LG Michi
Schwer zu sagen. War mehr oder minder ein spontaner Gedanke, der mir kam, als ich im ersten Beitrag von Thomas las, dass der Fruchtkörper nicht aussporte...
l.g.
Stefan
Oh, und nochmals wer lesen kann ist klar im Vorteil...
Sorry, war mein Fehler🤦
LG Michi
Alles anzeigenAlles anzeigenAlles anzeigenHi,
ein Cortinarius ist hier möglich, allerdings wage ich die These, dass das ein Steriler Fruchtkörper ist, der gar keine Sporen ausbildet. Ohne Sporen wird dein Fund nicht bestimmbar sein. Du kannst ja gerne noch, sofern möglich, ein Stück Lamelle mikroskopieren. Dann wissen wir ggf. mehr.
l.g.
Stefan
Hi Stefan, ich mische mich jetzt mal ein, auch wenn ich zum pilz nichts sagen kann. Warum denkst du das? Also wie machst du das fest? An den Lamellen??
LG Michi
Hi,
ich mach gar nix fest.
Ich schrieb: "Ich wage die These".... Das ist nur eine Vermutung, welche auf meinem Bachgefühl beruht.
l.g.
Stefan
Ups, wer lesen kann ist klar im Vorteil ![]()
Aber auf was basiert dein Bauchgefühl? Verstehst du, was ich meine? ![]()
LG Michi
Alles anzeigenHi,
ein Cortinarius ist hier möglich, allerdings wage ich die These, dass das ein Steriler Fruchtkörper ist, der gar keine Sporen ausbildet. Ohne Sporen wird dein Fund nicht bestimmbar sein. Du kannst ja gerne noch, sofern möglich, ein Stück Lamelle mikroskopieren. Dann wissen wir ggf. mehr.
l.g.
Stefan
Hi Stefan, ich mische mich jetzt mal ein, auch wenn ich zum pilz nichts sagen kann. Warum denkst du das? Also wie machst du das fest? An den Lamellen??
LG Michi
Super, Michi!
Die Fotos müssen ja nicht gleich reif für'n Bildband sein, aber mit einfachen Mitteln kann man oft schon viel verbessern. Ich hoffe, du hast das nicht als Meckern, sondern als Anregung im positiven Sinne verstanden.
Nein, natürlich nicht! Vor allem weiß ich ja selber, dass die Fotos echt nicht ideal sind ![]()
Gruß aus Middlfranggn
Michi ![]()
Alles anzeigenHallo, Michi,
zur Bestimmung der Pilze kann ich leider nichts beitragen - da sind andere berufen.
Möchte dir aber einen Tipp für deine Pilzfotos geben. Um "scharf" oder "unscharf" geht's mir jetzt aber nicht. In deinen letzten Anfragen, die ich hier mitgelesen habe, hast du jedesmal Fotos der verschiedenen Pilze auf einer bestimmten Kacheloberfläche gemacht. (Fußboden? Gekachelte Tischfläche?)
Diese Kacheln sind rötlich-braun glasiert und darum ein ungünstiger Hintergrund für Fotos, anhand derer man Pilze bestimmen will: Hier spielen ja Farben eine große Rolle, und durch Überstrahlung oder Komplementärkontrast des Rotbrauns der Kacheln werden die Farben der Pilze verfälscht; und die Farben der Fotos bleiben generell etwas dunkel und matt.
Günstiger wäre ein neutraler Hintergrund wie z.B. ein Blatt weißes oder schwarzes Papier. Gut ist auch Karopapier ("Rechenkästchen"), dann kann man gleich die Größe der FK abschätzen.
Hallo Grüni,
Ich weiß, danke. Es ist unser Fußboden.
Ich war nur leider ein bisschen im Stress, es musste schnell gehen. Normalerweise versuche ich bessere Fotos zu machen.
Die idee mit dem karopapier find ich super!!! Danke!!!
Beim nächsten unbekannten pilz wird's bessere Fotos geben, sorry!
LG Michi
Hi Michi,
Hab mir dein Bild nochmal auf einem anderen Bildschirm angeschaut, da siehts tatsächlich nach Leisten aus und die Farben sind auch nicht so grell.
Hast also wahrscheinlich doch recht mit deinem Pfiffi - hätte mich auch gewundert wenn du den Unterschied nicht kennen würdest.
Grüße
Felli
Hi Felli, okay, danke dir. Ich schau ihn mir danach auch nochmal genauer an.
LG Michi
Hallo, Michi!
Das sind zwar Schillerporlinge, aber kein Chaga (Inonotus obliquus). Das hier ist eine verfallene, stark verwitterte Hauptfruchtform ("Chaga" ist eine Anamorphe), leider nicht mehr bestimmbar.
LG; Pablo.
Hallo Pablo!
Achso, danke. Ich wusste nicht, dass andere Schillerporlinge auch so schwarz/braun werden. Danke.
LG Michi
