Servus,
Das ist vermutlich ein Endlosthema, aber kann man dazu was Genaueres sagen ?
Gewachsen in einem Kornfeld am Waldrand mit Buche, Mirabelle, Fichte und evtl. Ahorn
vielleicht war auch irgendwo noch eine Eiche

Fruchtkörper: Stiel 5 x 0,5/1cm, Spitze gelblich, sonst rötlich pustelig, Basis teils keulig-spindelig- leicht wurzelnd. Basismycel gelblich
Hut 2-4 cm,filzig -schuppig, rosalich zum Rand hin heller, flattrig, Huthaut leicht überstehend.
Schnittstelle auch nach einem Tag weißlich. Aber Fraßstellen rötlich.

Röhren: gelb-grüngelb auf Druchk schnell und deutlich blauend. Poren eckig, relativ breit.
Schnitt: Fleisch im Hut weißlich, langsam blauend (10-60 sek.). Zum Rand deutlicher aber wieder verblassend.
Stiefleisch im oberen Teil schwach - deutlich gelb, nach unten hin schmutzig gelblich. Stielspitze stärker blauend aber schnell verblassend; ab der Stielhälfte zur Basis hin nicht blauend.


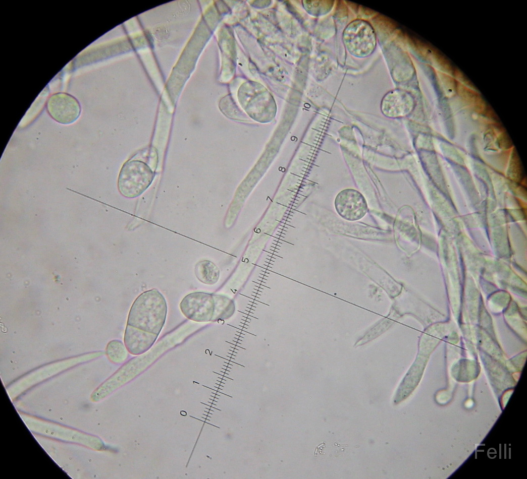
Mikro:
Sporen: (9)10-12 x(4)4,5-5µ , glatt
Q (1,8)2,2-2,4(2,7-3)



Huthaut eine Palisade, Zellen inkrustriert, gegabelt verzweigt, aber keine kongophilen Plaquen
x400


Verzweigte Endzellen


Spasseshalber hab ich noch ein wenig FeSO4 auf Hut

und Stielaußenseite/ Rinde gegeben

So, was ist das jetzt?
H. bubalinus ? ohne typische Färbung
H.engelii ( schließe ich eigentlich aus. Ebenso wie Rheubarbariboletus armeniacus)
Hortiboletus rubellus ?
Nur ohne Karotinpunkte in der Stielbasis?
und reagieren die ganzen Filzer mit FeSO4 graugrünschwarz?
Grüße
Felli