Hallo,
den folgenden resupinaten, eine sehr dünne schmierige Schicht bildenden Pilz, der im Sonnenlicht blaugrau schimmert, habe ich
- vermutlich an Buchenholz - gefunden:
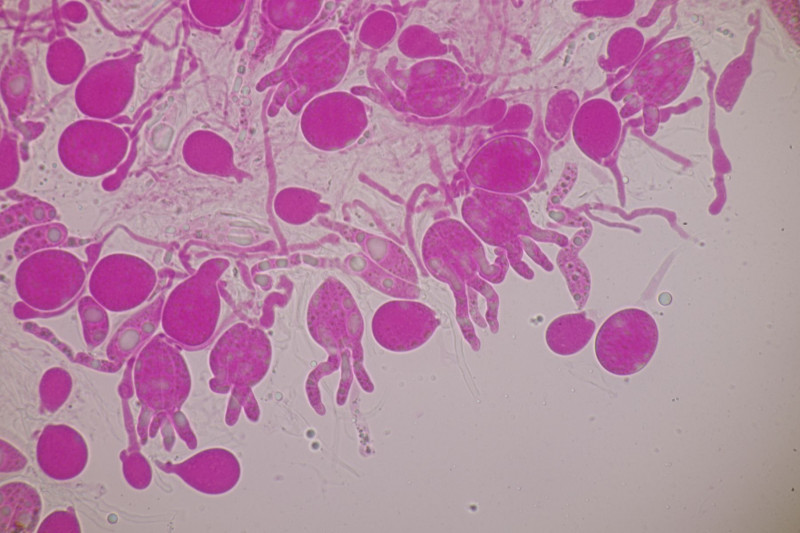
Am Mikroskop bin ich noch Anfänger. Die Sporen in Melzers Reagenz sehen so aus:
Könnte das die Blaugraue Wachskruste (Tulasnella tomaculum) sein? Was kann ich noch zu tun, um die Bestimmung abzusichern?
Danke für hilfreiche Tipps im Voraus.
VG
Markus
