Hallo allerseits. Ich bin neu im Pilzforum und würde mich als fortgeschrittener Anfänger bezeichnen.
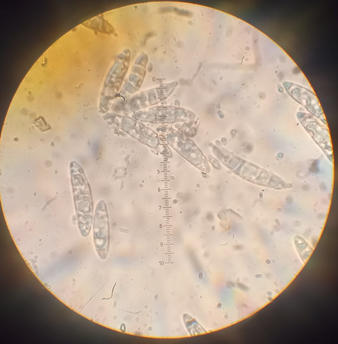
Mitte Dezember habe ich Pilze gefunden, die ich für Ascocoryne cylichnium halte. Sie wuchsen auf der Borke einer gefällten Eiche zwischen Moospolster. Sie waren gallertartig, glatte Oberfläche, rotviolett, gestielt und bis zu 1,5 cm breit. Die Asci enthalten 8 Sporen, die mandelförmig, hyalin mit Tröpfchen und bis zu fünfmal septiert sind. Die Abmessungen sind 18-26 X 5-6 Mikrometer. Von den Sporenseiten spalten sich mehr oder weniger runde Nebensporen ab (1,5 - 2 Mikrometer). Die Spitzen der Asci waren amyloid. Paraphysen waren schmal ohne Köpfchen, wie man sie bei A. sarcoides findet. Schnallen an den Seten habe ich nicht gesehen. Trama: verwobene Hyphen sowie globose Hyphen.
Die Qualität der Fotos bitte ich zu entschuldigen, alles altes Equipment.
Kann jemand die Analyse bestätigen oder Alternativen benennen.
