Hallo Björn,
vielen Dank und viele Grüße
Willi
Hallo Björn,
vielen Dank und viele Grüße
Willi
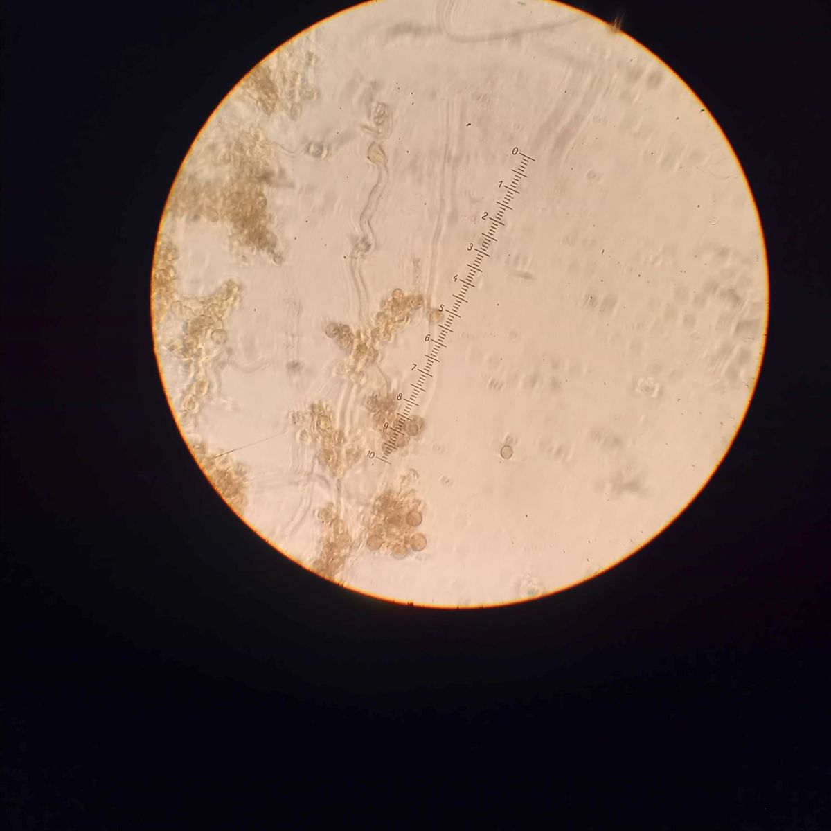
Nachdem vor kurzem über Entyloma ficariae und Peronospora ficariae berichtet wurde, habe ich heute nachmittag im Kottenforst bei Bonn mal bei dem reichlich vorhandenen Scharbockskraut nachgeschaut und etwas gefunden, von dem ich nicht weiß, was es ist. Der braune Parasit war beidseitig auf den Blättern zu sehen (siehe Fotos). Die Sporen oder Konidien sind sehr variabel länglich zwischen 14-16 x 6-7 Mikrometer bis rundlich 10-12 Mikrometer und vieles dazwischen (siehe Fotos). Hat jemand eine Idee, was es sein könnte?
Langsam kommen die ersten Vorfrühlingspilze hier im Kottenforst bei Bonn. Neben dem Graublättrigen Schwefelkopf (Hypholoma capnoides) und Anemonenbecherlingen (Dumontinia tuberosa) habe ich noch für mich erstmalig schmalblättrige Mürblinge (Psathyrella spadiceogrisea) gefunden, zumindest halte ich sie dafür. SPP schwarzbraun, Sporen glatt, 8-10 x 5-6 Mikrometer, Cheilozystiden keulenförmig, dünnwandig und sehr zahlreich, Basidien 4-sporig. Hut bis ca. 5 cm breit, dünnfleischig, feucht dunkelbraun, stark hygrophan, trocken hell cremefarben. Stiel bis 8 cm lang, kahl, innen hohl, an der Basis weißflockig. Lamellen angeheftet Die Fruchtkörper waren auf Erde, aber vergrabenes Holz ist nicht auszuschließen. Ich habe sie an zwei Stellen gefunden, im einen Fall reiner Laubwald, im anderen Fall Mischwald und in der näheren Umgebung auch Laubbäume, die Kiefernästchen und der Kiefer-Stumpf sind insofern nicht ganz aussagekräftig.
Hi Stefan,
vielen Dank für die pdf und die Info. Mit dem Schlüssel komme ich am ehesten auf C. truncorum, nur sicher bin ich mir keinesfalls. Sollten sich an der Fundstelle noch einmal neue Fruchtkörper bilden, werde ich mir die Velumhyphen und die Stiele anschauen. Allerdings scheint ja C. micaceus ziemlich variabel zu sein, sodass letztlich, wie du schon sagtest, die genetischen Daten für eine sichere Bestimmung erforderlich wären. Als Hobbypilzler streiche ich dann doch die Segel.
Viele Grüße und nochmals vielen Dank
Willi
Hi Stefan,
vielen Dank für die Info. Gibt es denn eine Möglichkeit, an den Schlüssel zu kommen?
LG Willi
Heute habe ich die abgebildeten Pilze im Kottenforst bei Bonn gefunden. Prima vista hätte ich sie für Glimmertintlinge (Coprinellus micaceus) gehalten, auch wenn die typischen Flocken auf dem Hut nicht zu sehen waren (Gestern hat es länger geregnet). Allerdings passt die Sporengröße 7-9 X 6-6,5 my nicht so ganz. Gibt es einen aktuellen Schlüssel für die Psathyrellaceae? Da scheint es ja doch ziemlich viele Arten zu geben.
hinter neben gehören Buchen
Hallo Werner, hallo Bernd,
ich habe nach euren Kommentaren noch mal intensiv nach weiteren Vorkommen gesucht und tatsächlich auf dem Stamm einer ehemaligen Kopfbuche welche gefunden (siehe Anhang). Bis auf einzelne Fichten gibt es in dem Waldstück neben zur Hauptsache Eichen, Birken und Kiefern, bei denen ich trotz vielem Totholz nichts gefunden habe.
Hallo Harald,
Plicatura crispa scheint ganz gut zu passen. Ich hoffe, dass er diesen Winter noch mal erscheint, denn mit den kleinen allantoiden Sporen ist er dann noch sicherer zu bestimmen.
Vielen Dank für den Tipp und viele Grüße
Willi
Hallo Werner,
ich hatte mir die Kartierung für NRW angeschaut, da waren sie an einigen wenigen Stellen aufgeführt. Was mich überrascht hat, war die Beschreibung in den Fungi of Temperate Europe. Da heisst es unter anderem "Occurs mainly on bark and wood of deciduous trees, especially on recently dead, standing dry trunks of fagus". Das passt ja bei mir gut, obwohl der Baum wohl schon etwas länger sein Leben ausgehaucht hat. Wie findet der Pilz ausgerechnet diese höheren Baumstümpfe?
Viele Grüße
Willi
Zugegebenermaßen sind die nachfolgenden Informationen mehr als dürftig. Vielleicht hat aber doch jemand eine Idee, um was es sich handeln könnte. Mein Optimismus erklärt sich aus dem Vorhandensein der hellblauen Farbe auf dem Fruchtkörper. Die Fruchtkörper, die ich Mitte Dezember im Kottenforst bei Bonn gefunden habe, wuchsen auf einem abgebrochenen Buchenast (Durchmesser geschätzt 15 cm). Sie waren bis zu ca. 5 cm breit und sehr dünn, flexibel und leicht einzureissen. Das Hymenium war weiss und lamellenartig bis dädaloid. Ich habe nur das eine Foto gemacht, weil mit das Motiv so gut gefiel. Als ich zwei Wochen später mir ein paar Proben zum Mikroskopieren holen wollte, war die Pracht komplett verschwunden.
Mitte Dezember kleine rein weisse Pilzchen mit Stiel (bis ca. 2 mm Länge) und rundlichen Köpfchen (bis ca. 2 mm Durchmesser) an einem in ca, 2 m Höhe abgebrochenen Buchenstamm Durchmesser geschätzt 120 cm. Die zähen Köpfchen enthielten gebogene und teilweise verzweigte Hyphen. Anfang Februar waren die Pilzchen hellbeige und enthielten glatte braune nahezu runde Sporen (8 - 10 Mikrometer). Die Pilzchen riechen nun deutlich nach Maggi. Gefunden wurden sie im Kottenforst bei Bonn.
Vielen Dank für die zahlreichen wertvollen Hinweise. Ich hätte natürlich schon konkretisieren sollen, was ich will. Mir geht es einfach nur darum, auch im Winter aktiv zu sein und Pilze an Holz zu bestimmen (makro- und mikroskopisch), wobei ich gerne bis auf die Spezies kommen will. Da ich aber sowohl bei den Polyporales als auch bei den Corticiaceae Anfänger bin, gibt es enorm viel zu lernen. Vielleicht fange ich mal mit dem Dörfelt an und gehe dann zu den Fungi Europaei über.
Frohes neues Jahr! Ich suche Bestimmungsliteratur für Pilze, die an Holz wachsen. Es kann durchaus anspruchsvoll sein. Gibt es entsprechende Bücher/Veröffentlichungen oder muss man sich klassenweise vorarbeiten?
Vielen Dank für den sehr interessanten Zottobeitrag und den Hinweis mit dem Fingernagel. Leider kann ich das gegebenenfalls erst im nächsten Jahr ausprobieren.
Meine derzeitigen Bestimmungsmöglichkeiten sind alle sehr alt, da ich mich aktiv (hobbymäßig) mit Pilzen vor 30 bis 40 Jahren beschäftigt habe. Für die Ascomyceten habe ich die folgenden Werke zu Rate gezogen: das Handbuch für Pilzfreunde(Michael, Hennig, Kreisel), Ascomyceten von M. Moser und British Ascomycetes (2nd revised edition von 1981) von R.W.G. Dennis. Dann habe ich auch noch gegoogelt. Aber mittlerweile hat sich ja einiges getan und ich werde versuchen mich langsam aber sicher auf den aktuellen Stand zu bringen.
Noch eine Ergänzung: die Pilze habe ich im Kottenforst bei Bonn gefunden.
Hallo allerseits. Ich bin neu im Pilzforum und würde mich als fortgeschrittener Anfänger bezeichnen.
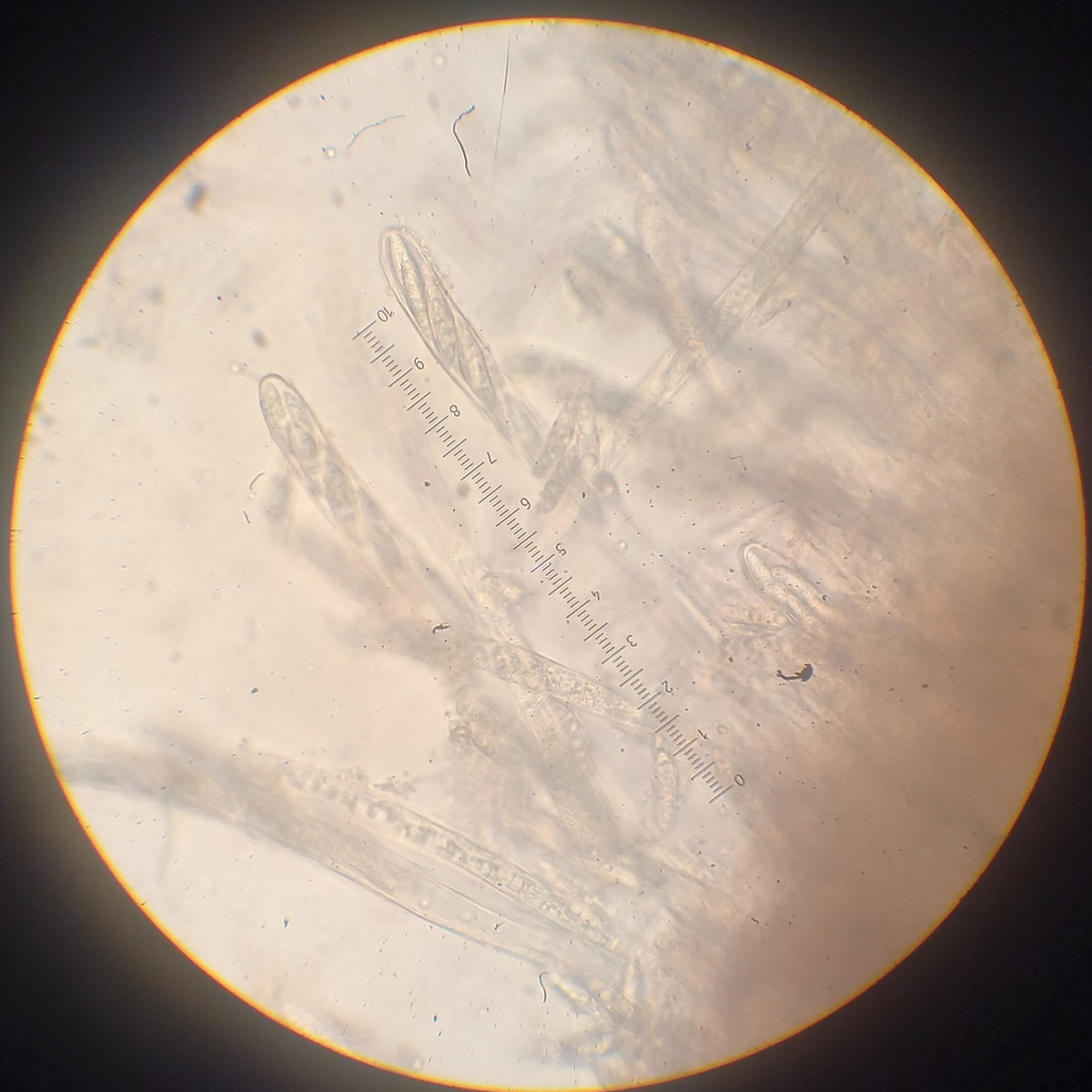
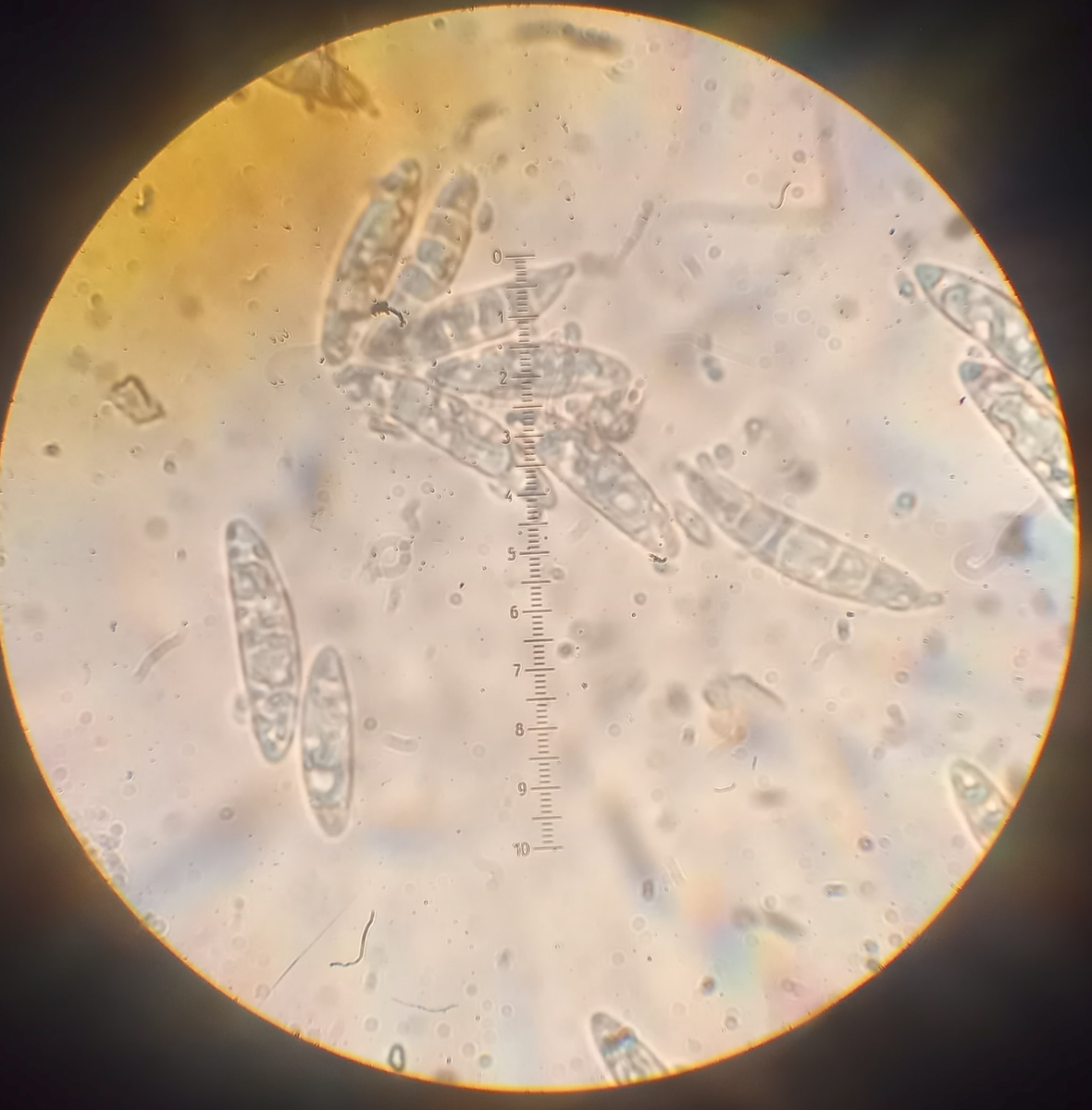
Mitte Dezember habe ich Pilze gefunden, die ich für Ascocoryne cylichnium halte. Sie wuchsen auf der Borke einer gefällten Eiche zwischen Moospolster. Sie waren gallertartig, glatte Oberfläche, rotviolett, gestielt und bis zu 1,5 cm breit. Die Asci enthalten 8 Sporen, die mandelförmig, hyalin mit Tröpfchen und bis zu fünfmal septiert sind. Die Abmessungen sind 18-26 X 5-6 Mikrometer. Von den Sporenseiten spalten sich mehr oder weniger runde Nebensporen ab (1,5 - 2 Mikrometer). Die Spitzen der Asci waren amyloid. Paraphysen waren schmal ohne Köpfchen, wie man sie bei A. sarcoides findet. Schnallen an den Seten habe ich nicht gesehen. Trama: verwobene Hyphen sowie globose Hyphen.
Die Qualität der Fotos bitte ich zu entschuldigen, alles altes Equipment.
Kann jemand die Analyse bestätigen oder Alternativen benennen.
