Geoglossum glutinosum agg.?

Es gibt 11 Antworten in diesem Thema, welches 870 mal aufgerufen wurde. Der letzte Beitrag () ist von thorben96.

  • Hi.


    Diese schleimigen schwarzen Keulchen fand ich gestern auf einem Friedhof. Die linke ignorieren, die wollte nur mit aufs Foto.



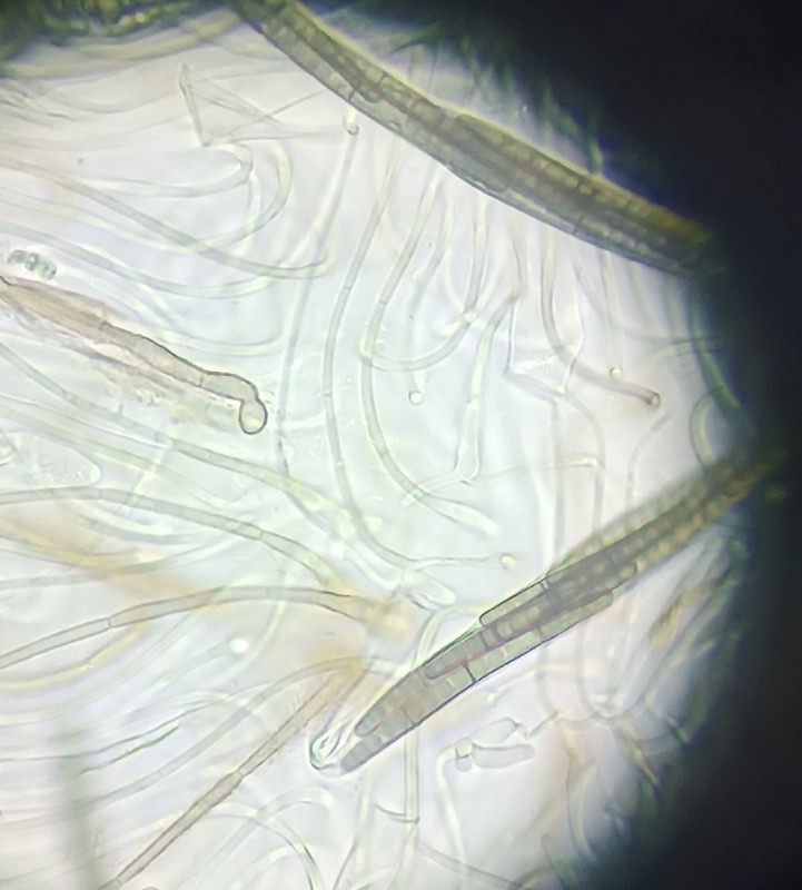
    Sporenmaße reife Sporen aus Abwurf:

    55-61-70x5,4-6,3-7,9



    Paraphysen gerade, kopfig. Sporen im Ascus sehe ich glaube ich nur 2-3-fach septierte (finde ich schwer zu erkennen, die schmiegen sich ja eng aneinander).





    Bin ich da richtig im G. glutinosum Aggregat? Ist meine erste mikroskopierte Erdzunge, also Null Erfahrungswerte.


    Danke.


    LG,

    Schupfi

    Posts sind nicht als Essensfreigabe zu verstehen. :-]
    93 Chibs - APR-Gebühr 2024 = 83 Chibs

  • Hallo Schupfi,


    die sehen schon schleimig genug für Glutinoglossum aus. Jetzt kannst du noch schauen, wie die Spori in den Asci septiert sind. Zum Teil hat man da Arten, wo in einigen Asci Sporen mit weniger Septen sind (obwohl die Sporen reif aussehen).


    Björn

  • Hi Björn,


    Danke. Ich hatte nach den Septen in den Asci geschaut und wie oben geschrieben hauptsächlich 2-3-fach septierte gesehen. Die letzten beiden Bilder sind aus Sporen im Ascus, wobei man zugegebenermaßen nur beim letzten Bild die Unterteilung sieht:


    In live habe ich da aber in den Asci nicht wirklich mehr als 3 Septen gesehen, wobei ich es eben schwer zu erkennen finde teilweise.


    LG,

    Schupfi

    Posts sind nicht als Essensfreigabe zu verstehen. :-]
    93 Chibs - APR-Gebühr 2024 = 83 Chibs

  • Hi,


    Danke - damit käme ich mit dem Schlüssel eigentlich bei G. glutinosum s.str. raus, aber meine Sporen sind irgendwie deutlich breiter als angegeben.

    G. triseptatum hat etwas breitere Sporen (aber auch nicht so breit wie meine), sollte aber längere Sporen haben als meine. :/

    Mein Qav liegt bei 9,8 - das ist eigentlich viel zu gering für beide. Irgendwie komische Dinger also.

    Karl W

    Irgendeine Idee?


    LG.

    Posts sind nicht als Essensfreigabe zu verstehen. :-]
    93 Chibs - APR-Gebühr 2024 = 83 Chibs

  • Hallo Schupfi,

    die Variabilität der Sporen ist wahrscheinlich noch nicht hinreichen bekannt. Ich hatte einen Fund als G. pseudoglutinosum bestimmt der nach Sequenzierung doch nur G. glutinosum s. str. war.


    Glutinoglossum pseudoglutinosum13.11.24

    Deutschland, NRW, Krefeld Hauptfriedhof, TK 4605,34

    Magerrasen

    leg. / det. Karl Wehr

    Einzelfruchtkörper, 50 mm hoch, Stiel extrem schleimig.

    Siebenfach septierte Sporen im Hymenium mit ca. 10% der reifen (dunkel pigmentierten) Sporen. Das finde ich bei G. glutinosum zu kaum 1 % oder gar nicht. Reife Sporen sonst überwiegend dreifach septiert. Leider steht in der Originaldiagnose nichts über die Verteilung von Sporen mit 3 bzw. 7 Septen.

    Sporen im Abwurf überwiegend mit drei Septen, Rest mit 0 – 2 Septen.

    Bei Geoglossum glutinosum im Abwurf finde ich weniger als 50% Sporen mit 3 Septen. Das deckt sich mit Angaben bei Roobeek und Lenaerts, im Abwurf 41% Sporen mir 3 Septen. Die Sporenmaße (58) 64 - 69 - 75 x (4)4,2 - 4,9 - 5,7 µm sind knapp passend für G. pseudoglutinosum


    Ein als G. triseptatum bestimmter Fund, von dem ich aber nur die Sporen im Abwurf mit überwiegend 3 Septen gesehen habe, erwies sich nach Sequenzierung als G. pseudoglutinosum.

    Bei Deinem Fund kann man nur G. glutinosum agg. angeben, wobei ich auch den zweiten Fruchtkörper von links für eine andere Art halte von der möglicherweise auch der Sporenabwurf ist.


    LG Karl

  • Hi Karl,


    vielen Dank für die ausführliche Antwort. Dann schreibe ich erstmal glutinosum agg. dran und hebe den Beleg auf, da solche breiten Sporen wohl bei keiner Art vorgeschrieben sind. Ich habe im Abwurf übrigens nur 7-fach septierte Sporen gesehen, aber hätte vielleicht noch mehr suchen müssen. Wusste nicht, dass man da nach Prozentzahlen schauen muss.

    Die Dinger aus dem Moos zu bekommen mit der Hand war bei mir auch extrem schwierig, da die immer wieder weggeflutscht sind. Aber mir fehlt da komplett die Funderfahrung, war ja froh überhaupt mal solche Keulchen zu finden. :)


    LG,

    Schupfi

    Posts sind nicht als Essensfreigabe zu verstehen. :-]
    93 Chibs - APR-Gebühr 2024 = 83 Chibs

  • Hi Karl,


    das macht absolut Sinn. Gut möglich, dass ich da aus Versehen einen falschen FK habe absporen lassen. Ich prüfe die Exsikkate im Winter nochmal nach.


    LG,

    Schupfi

    Posts sind nicht als Essensfreigabe zu verstehen. :-]
    93 Chibs - APR-Gebühr 2024 = 83 Chibs

  • Hallo zusammen,

    das macht absolut Sinn. Gut möglich, dass ich da aus Versehen einen falschen FK habe absporen lassen. Ich prüfe die Exsikkate im Winter nochmal nach.

    Wenn du die Frk. auf Bild verwendet hast, dann ist der 1. Frk. von Links der Übeltäter der sich als G. glutinosum agg. getarnt hat.

    Vergleiche Bild 2 mit Bild 4, dann siehst du das die Sporen von Bild 2 kürzer und breiter als bei Bild 4 sind.


    VG : Thorben

  • Hi Thorben,


    den linken FK hatte ich nicht eingesammelt, da war sogar mir im Feld bewusst, dass das was anderes ist. Der Abwurf ist von einem der rechten 3 FK.

    Bei den Mikrobildern ist die Größe nicht zwangsweise gut vergleichbar, da das erste mit Mikro-Cam gemacht ist und die danach nur durchs Okular geknipst mit dem Handy.


    LG,

    Schupfi

    Posts sind nicht als Essensfreigabe zu verstehen. :-]
    93 Chibs - APR-Gebühr 2024 = 83 Chibs

  • Hallo Schupfi,

    den linken FK hatte ich nicht eingesammelt, da war sogar mir im Feld bewusst, dass das was anderes ist. Der Abwurf ist von einem der rechten 3 FK.

    Dann drücke ich die Daumen, dass du 2 Arten gefunden hast :)


    VG : Thorben