Hallo zusammen.
Diese Milchlinge wachsen im dichten Gestrüpp an einer dunklen immerfeuchten Stelle
am Seeufer , auf mehreren Qudratmetern fast flächendeckend.
Bäume : Erlen , Birken , Kiefer .
Hut : bis 10cm breit , Rand gewellt/gerieft .
Lamellen jung hell , dann bräunend , besonders bei Berührung.
Milch weiß , mild bis ganz schwach schärflich.
Auf Papier schwach langsam gilbend.
Geruch : unauffällig
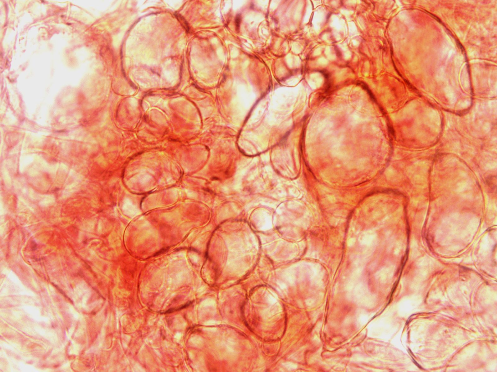
Sporen ca. 8X6µm.
Ich finde die an gleicher Stelle jedes Jahr und habe keine Ahnung !
Hat da jemand einen Tip ?
Und die Sporen im Billigmikro :
