Dear friends, can you help with this beautiful slender mushroom. At first I thought it is a Conocybe but then I saw the white-edged gills hence it must be a Panaeolus sp. It was growing on detritus (leaf litter) or broad-leaf trees (Pomegranates)
Panaeolus (?) with dark brown cap
- Steve_mt
- Erledigt
Es gibt 11 Antworten in diesem Thema, welches 1.804 mal aufgerufen wurde. Der letzte Beitrag () ist von Steve_mt.
-
-
Hi Steve,
Im not great with this genus but they look a bit weird for Panaeolus to me. I think I would also consider Psathyrella depending on the substrate.
Best wishes
-
Thank you, Shrumz, I went on Panaeolus for the dark gills with a white edge. Unless this is again Psathyrella panaoeloides (but I never seen that so dark like this).
-
Hi Steve.
My first thought was Panaelous cinctulus.
Have you microscoped?
Best
Marcel
-
Dear Marcel,
Yes I do and I also have dried herbarium. That species passed from my mind, but i can't see the ring or belt! I can provide photos of the spores or anything required. I hoped it was an easy one that can be told from the macrophotos

-
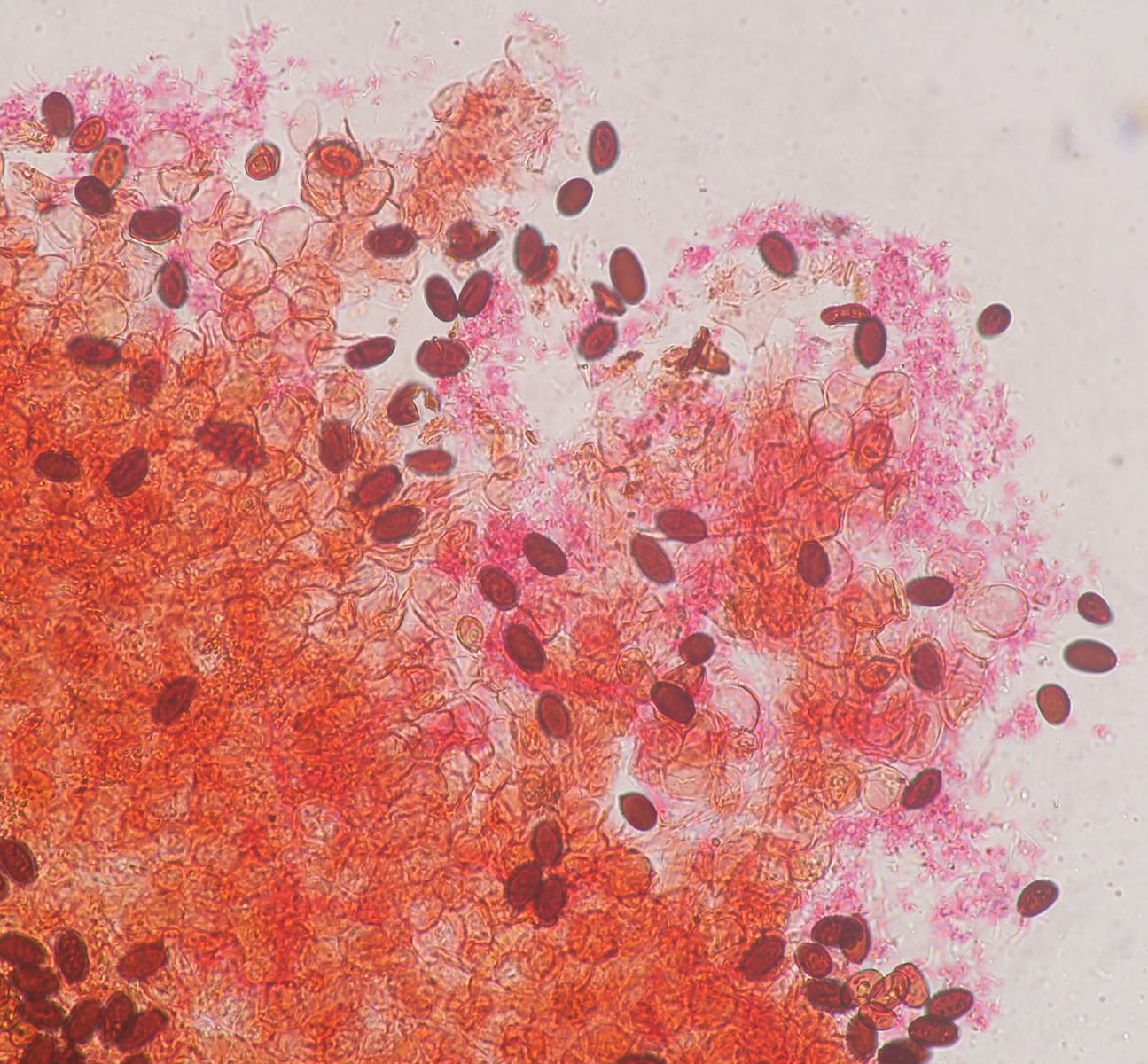
Here are finally the macro which should correspond to a P anaeolus sp. but then I don't know for sure still. Maybe a Panaeolus papilionaceus var. papilionaceus but I never saw it this dark brown color and the habitat of that species is usually lawns and grassy patches.
Measurements:
Cheilocystidia
38 x 15 um
34.45 11.64
36.15 15.73
27.58 13.90
40.58 16.03
29.76 15.84
32.83 12.27
(27.6) 29.8 - 36.2 (40.6) × (11.6) 12.3 - 15.8 (16) µm
Q = (1.9) 2 - 2.7 (3) ; N = 6
Me = 33.6 × 14.2 µm; Qe = 2.4
---------------------
Spores:
(12.1) 13.6 - 15.7 (16.2) × (7.6) 7.8 - 9.2 (9.5) µm
Q = (1.5) 1.6 - 1.9 (2.1) ; N = 41
Me = 14.8 × 8.4 µm; Qe = 1.8
-
Haven't you looked at the pileipellis? Maybe you see setae as in Parasola conopilea?
best regards, Axel
-
-
Ah yes you are probably correct and this species is already recorded. I will check it Saturday

Here is an example from Malta in Nov 2017
-
Hi Steve,
Im not great with this genus but they look a bit weird for Panaeolus to me. I think I would also consider Psathyrella depending on the substrate.
Best wishes
You was on the right track

-
I almost wrote Psathyrellaceae
And I cant even explain why I didnt like Panaeolus here...Best wishes
-
