PPP: Phytoparasitische Pilze aus Prag 21.-27.7.2024

Es gibt 10 Antworten in diesem Thema, welches 1.805 mal aufgerufen wurde. Der letzte Beitrag () ist von Navajoa.

  • Hallo zusammen,


    die letzte Woche über war ich auf einer Konferenz zu Quantenthermodynamik in Prag. Das gilt es natürlich zu nutzen um sich nicht nur intensiv mit Physik zu beschäftigen, sondern auch um die phytoparasitischen Kleinpilze der Stadt zu erfassen. Und in dieser Hinsicht war die Woche durchaus sehr erfolgreich, wobei ich auch sehr davon profitiert habe, daß vor etwa einem Jahr ein anderer Phytoverrückter in Prag war und seine Funde sehr gewissenhaft bei inaturalist eingegeben hat. Da galt es also teilweise wirklich nur an die richtige Stelle zu gehen und die Funde einzusacken.


    1. Auf dem Weg vom Bahnhof zu Hotel ging es dann direkt an der ersten Fundstelle vorbei: Ustilago syntherismae ex Digitaria sanguinalis. Der Pilz soll im Osten wohl in Ausbreitung sein, hier bei uns im Westen konnte ich ihn (noch) nicht finden.


    2. Abends dann noch eine kleine Runde am Petřín, wo es u.a. Thecaphora seminis-convolvuli ex Convolvulus arvensis gab. Interessanterweise waren die befallenen Blüten nicht geschlossen, während die gesunden Blüten fast alle schon im Tiefschlaf waren.


    3. Uromyces laburni ex Laburnum anagyroides


    4. Und wenn man schon mal unterwegs ist, kann man sich den Ustilago syntherismae ja auch noch mal im Schatten anschauen.


    Soviel fürs Erste, Berichte der weiteren Tage kommen hier nach und nach dazu.


    Björn

  • Hallo zusammen,


    am Dienstag war ich dann bei der Divoká Šárka, der wilden Šárka. Das ist ein kleiner Fluß, der sich im Laufe der Zeit sehr tief in die Felsen eingeschnitten hat. Unten hat man dann ein sehr nettes Bachtal, wo es an einer Stelle auch ein kleines Schwimmbad mit kaltem Bachwasser gibt und oben auf den Felsen dann größere Trockenrasen.

    Hier stehe ich an der Kante, die man im ersten Bild sieht und schaue in die Tiefe


    1. Da es dort Kalk gibt, wächst überall Falcaria vulgaris und einige Pflanzen sind mit Puccinia sii-falcariae befallen


    2. Dann gezielt nachgesucht: Tilletia contraversa ex Elymus hispidus. Riecht ganz wunderbar nach altem Fischbrötchen


    3. Hier eine Quecke, bei deren Bestimmung ich mir nicht sicher bin, mit einer Epichloe.


    4. Auf einem der Plateaus dann Tilletia contraversa in großen Mengen, außerdem noch Tranzscheliella hypodytes


    5. Microbotryum dianthorum ex Dianthus cartusianorum


    6. Und an einer dritten Stelle noch mal die Tilletia contraversa


    7. Macalpinomyces neglectus ex Setaria pumila, hatte ich dort vor 2 Jahren schon mal gefunden.


    8. Entyloma eryngii ex Eryngium campestre


    9. Erysiphe maclayeae ex Chelidonium majus


    10. Erysiphe heraclei ex Falcaria vulgaris


    11. Und zum Abschluß noch ein seltenes Tier: Die Loriotsches Steinlaus


    Björn

  • Hallo zusammen,


    am Donnerstag war ich dann direkt ein weiteres Mal bei der Divoká Šárka.


    1. Microstroma album ex Quercus petraea. Eigentlich ein häufiger Pilz, den ich auf diesem Wirt aber noch nicht hatte.


    2. Flechten gab es auf den Felsen auch


    3. Einige ließen sich sogar bestimmen: Parmelia saxatilis


    4. Nochmal wie zwei Tage zuvor schon Puccinia sii-falcariae ex Falcaria vulgaris


    5. Ustilago bromivora ex Bromus sterilis


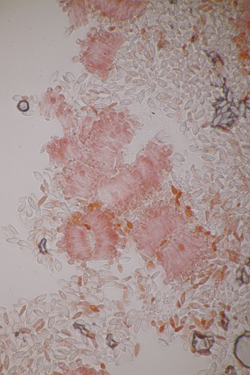
    6. Hier noch mal die Tilletia contraversa, diesmal auch mit Mikrobildern. Ist sie nicht hübsch?


    7. Noch eine farbenfrohe Flechte


    8. Und Lasallia pustulata


    Björn

  • Hallo zusammen,


    Freitag war ich dann in Prokopské údolí, einem Bachtal mit beeindruckenden Trockenhängen, die eine steppenartige Vegetation aufweisen. Auch dort gab es natürlich kranke Pflanzen zu bestaunen.


    1. Microbotryum saponariae ex Saponaria officinalis


    2. Sawadaea bicornis ex Acer campestre


    3. Arthrocladiella mougeotii ex Lycium barbarum


    4. Vermutlich Puccinia pseudocesatii ex Bothriochloa ischaemum



    5. Puccinia sii-falcaria ex Falcaria vulgaris gab es auch hier


    6. Pucciniastrum agrimoniae ex Agrimonia eupatoria


    7. Tranzscheliella hypodytes ex Bromus erectus



    8. Uromyces onobrychidis ex Onobrychis viciifolia




    9. Hier dachte ich erst an einen echten Mehltau, aber es handelt sich offenbar um einen Pyrenomyceten auf Astragalus cicer. Eventuell Laestadia astragalina





    10. Erysiphe berberidis ex Berberis vulgaris


    11. Aus der beliebten Reihe "Laßt Blumen sprechen": Der Blasenstrauch


    12. Lobothallia radiosa


    13. Nochmal Puccinia sii-falcariae



    14. Und auch gesunde Pflanzen können hübsch sein: Sorbus aucuparia in der Abendsonne


    Björn

  • Hallo Karl,


    was den Transport und die Haltbarkeit angeht, hast du natürlich grundsätzlich recht. Aber wenn man dann so eine Butterbrottüte voller Tilletia im Rucksack hat, fragt man sich am Ende schon, ob da ein gammelnder Hering im Rucksack liegt :D


    Björn

  • Aber wenn man dann so eine Butterbrottüte voller Tilletia im Rucksack hat, fragt man sich am Ende schon, ob da ein gammelnder Hering im Rucksack liegt :D

    Hallo Björn,

    beim nächsten mal lieber nach Schweden fahren, da gibt es den gammelnden Hering in Dosen geruchsneutral verpackt :D

    viele Grüsse

    Matthias

  • Hallo Björn,


    danke für's Zeigen und Mitnehmen.


    Wenn man Beruf und Hobby so gut verbinden kann – prima. Aber wie war das? Zeitmanagement ist alles. :gzwinkern:

    Ich hoffe aber, Du hast auch einmal eines der tschechischen Biere probiert. Und die traditionelle Küche.


    Sehr bemerkenswert Deine Aussage, das auch gesunde Pflanzen hübsch sein können.


    Mir reicht es mit Phytos, die haben meinen Liebstöckel umgebracht, die Zuckerschoten, Gurken, Melonen, Zucchini, Tomaten...



    Viele Grüße,

    Steffen

  • Na Steffen, vielleicht war ja ein Erstfund für Deutschland dabei ? ==Prust

  • Na Steffen, vielleicht war ja ein Erstfund für Deutschland dabei ? ==Prust

    Ganz bestimmt... g:D