Inocybe aus dem Herbst

Es gibt 10 Antworten in diesem Thema, welches 2.919 mal aufgerufen wurde. Der letzte Beitrag () ist von Beflockter Kaiserling.

  • Hallo,

    ich bin gerade dabei zu versuchen einen Risspilz zu bestimmen, den ich im Herbst bei Buche gefunden habe. Pleuro- und Cheilozystiden sind vorhanden. Die Sporen sind 7-10 x 6-7 µm groß, Av=8,1x6,4. Ich würde mich sehr über etwas Hilfe freuen, mit Funga Nordica komme ich gerade nicht weiter. Wenn noch weitere Informationen benötigt werden, gerne.

    Vielen Dank und beste Grüße




  • Hallo BK,

    mit dem Namen kann ich dir nicht weiterhelfen. Aber vielleicht hilft dir die Seite von Ditte Bandini https://www.inocybe.org.

    Lieben Gruß


    Claudia


    ...leben und leben lassen... ;)


    Hier im Forum gibt es grundsätzlich keine Verzehrfreigaben.

    Pilzsachverständige findest du hier.

  • Hallo Kaisreling,

    tja, Risspilze sind ja immer so eine Sache....

    Ich könnte mir aber für deinen Pilz gut Inocybe glabrodisca vorstellen. Die glatte Hutmitte, die auch noch dunkler ist, und der rimose Rand könnten zusammen mit durchaus rötlichen Tönen ganz gut passen. Auch der weißlich überfaserte Stiel würde passen. Auf deinen Fotos macht es den Anschein, dass der Stiel nur oben bereift ist. Wenn dem wirkiich so ist, könnte es auch passen.

    Nunja, nur eine Idee, mit der du vergleichen kannst.

    Liebe Grüße

    Matthias

  • Hi,


    bei Inocyben bitte nicht mit Farbstoffen arbeiten. Am besten immer mit 3%iger KOH. Wichtig sind auch Form und Größe von Cheilo-, Pleuro- und Caulozystiden. Da die durchaus variabel geformt sein können, empfiehlt es sich, dass man mehrere Bilder einstellt. Zudem natürlich noch die Stielbereifung, Ausprägung der Stielbasis, Geruch und Aufzählung aller ektomykorrhizafähigen Pflanzen am Fundort. Das sind die generellen Bestimmungsmerkmale von Inocyben. Natürlich braucht man die nicht immer alle komplett. Dennoch ist es immer hilfreich, wenn die aufgeführt sind. Zudem sollten die FK für die Makrofotos auch abgetrocknet sein, damit man die Feinheiten der HDS gut beurteilen kann.


    Matthias Idee finde ich gut. Bin mal gespannt, ob sich Ditte oder Helmut hier noch einklinken.


    l.g.

    Stefan

    Risspilz: hui; Rissklettern: bisher pfui; ab nun: na ja mal sehen...


    Derzeit so pilzgeschädigt, das geht auf keine Huthaut. :D


    Meine Antworten hier stellen nur Bestimmungsvorschläge dar. Verzehrsfreigaben gibts nur vom PSV vor Ort.

  • Hallo Stefan,

    vielen Dank für die Informationen! Leider werde ich es heute nicht mehr schaffen, morgen Mittag liefere ich ungefärbte Mikrofotos nach. Ich hab 2 Kollektionen und Fotos davon (vom selben Standort mit 2 Wochen Abstand), da werde ich morgen auch mal nachschauen, was man da noch so zeigen kann. Bis dann und danke schonmal :)

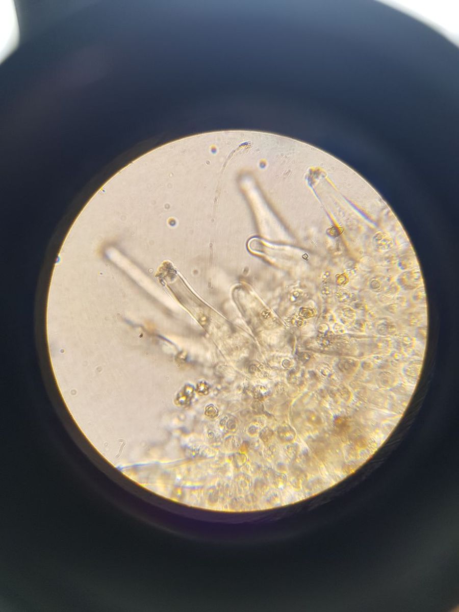
  • Hallo, ich habe nun die neuen Fotos in 3% KOH angefertigt. Dazu habe ich die Pleurozystiden und die Cheilozystiden vermessen. Caulozystiden habe ich nicht finden können.

    Cheilo Av: Länge 64,7, Breite an breitester Stelle 18,25, Breite an Kopf 8,57

    Pleuro Av: Länge 55,17, Breite an breitester Stelle 16,83, Breite an Kopf 8,67


    Cheilozystiden:


    Pleuro:


    Hier noch die Fotos von der anderen Kollektion. Ist mit der Stielbereifung das Faserige auf dem letzten Bild direkt unter den Lamellen gemeint oder geht es da um etwas anderes?


    Über Funga Nordica bin ich die Tage tatsächlich auch schonmal bei I. calida (inkl. I. glabrodisca) rausgekommen, der scheint von FN gleichbehandelt zu werden. Habe die Arten aber wegen der Sporengröße, die bei mir häufig unter 8µm war, verworfen. Bei Inocybe.org scheint das aber zu passen, da passt mir auch die Form der Cheilozystiden, nur bei den Pleurozystiden hatte ich einige die eher wie die Cheilozystiden aussahen (hoffe das sind dann überhaupt welche), was bei inocybe.org ja nicht so zu sein scheint. Zudem finde ich es nicht so einfach die Form der Zystiden genau einzuschätzen, da die Zystiden ja auch recht variabel sind wie Stefan schrieb. Nimmt man dann die häufigste Ausprägung als Referenz oder wie löst ihr das?

    Danke für eure Hilfe bis jetzt. Über eine Einschätzung was den Pilz angeht würde ich mich natürlich freuen :)

    Liebe Grüße

  • Hallo Kaiserling,

    Ja, die Bereifung ist das, was du auf dem Foto an der Stielspitze siehst und wie bepudert aussieht. Das sind Zystiden, eben hier die Kaulozystiden. Bei Inocybe ist für die Bestimmung wichtig, bis zu welcher Stelle Die Kaulozystiden vorkommen (nur oben, bis zur Mitte oder eben bis zur Stielbasis) Da man das nicht unbedingt immer mit bloßem Auge sieht, müsste man es mikroskopisch untersuchen) Tja, die Zystidenform…wichtig ist wohl, dass man versucht einzuschätzen, welche Form häufiger vorkommt; so z.B wie bei deinem Pilz die langhalsigen, Zystiden. Dass auf Dittes Seite als Pleurozystide eine andere Form auftaucht würde mich nicht so sehr stören. Vielleicht schaut sie ja auch noch mal auf deinen Beitrag. Ich würde weiterhin denken, dass es Inocybe glabrodisca ist… aber nunja; hier noch zwei Links, wobei eine der gezeigten Kollektionen mir etwas komisch für glabrodisca vorkommt

    Inocybe glabrodisca - A.M.B. PESARO
    Genere Inocybe Specie glabrodisca Orton Exsic. n. 2833 Erbario Maletti. Determinatore: Maletti M. Foto. Maletti M. Posizione sistematica: Sottogenere Clypeus,…
    www.ambpesaro.it

    Inocybe glabrodisca P.D. Orton 1960
    Inocybe glabrodisca P.D. Orton 1960 Tassonomia Divisione Basidiomycota Classe Agaricomycetes Ordine Agaricales Famiglia Inocybaceae Genere Inocybe Sottogenere…
    www.funghiitaliani.it

    Liebe Grüße

    Matthias

  • Hallo,

    vielen Dank für die Links und die kompetente Hilfe! Das war bereits sehr hilfreich :). Ich habe gerade sehr lange nach Kaulozystiden gesucht und habe nur im oberen Stielteil Strukturen gefunden, die Kaulozystiden sein könnten. Allerdings habe ich bei diesen so lange für die Suche gebraucht, dass ich nicht ausschließen kann, dass unten welche übersehen wurden. Gibt es da einen Trick?

    Ich bin mir aber auch nicht sicher, ob das alles Kaulozystiden sind und bin am Färbemittel nicht vorbeigekommen...





    Ansonsten passt die Art tatsächlich sehr gut. Vielen Dank, ich schaue mal ob ich die Tage noch mal ein paar Stiele unter dem Mikroskop anschauen kann.

    Liebe Grüße!

  • Hi,


    die Stielbereifung solltest du checken, wenn die Fk frisch sind. Am Exsiccat ist das zwar auch noch möglich, ist aber komplizierter. Ditte hat dazu mal was geschrieben. Risspilz-Lotto Teil 1

    l.g.

    Stefan

    Risspilz: hui; Rissklettern: bisher pfui; ab nun: na ja mal sehen...


    Derzeit so pilzgeschädigt, das geht auf keine Huthaut. :D


    Meine Antworten hier stellen nur Bestimmungsvorschläge dar. Verzehrsfreigaben gibts nur vom PSV vor Ort.