Hallo,
In Wiesloch im Idustriegebiet kommen jedes Jahr Risspilze auf einem Grünstreifen, ich hab mal eine dokumentiert. Ich würde mich freuen wenn sie jemand kennt und bestimmen kann.
Dokumentation:
Fundort: Industriegebiet Wiesloch
Mögliche My Partnerbäume: Zierweide, Kirsche, Birke
Stiel: Durchmesser 5mm hellbraun, Stielbasis der Stieldicke entsprechend.
Lamellen: hellbraun leichter Bruggraben angewachsen, weißer Ring direkt unter dem Lamellenansatz.
Hut: Durchmesser 29mm,hellbraun, in der Mitte dunkler, etwas schuppig, filzig wirkend.
Größe Pilz: 36mm
Geruch: unaufällig. (evtl: leicht säuerlich)
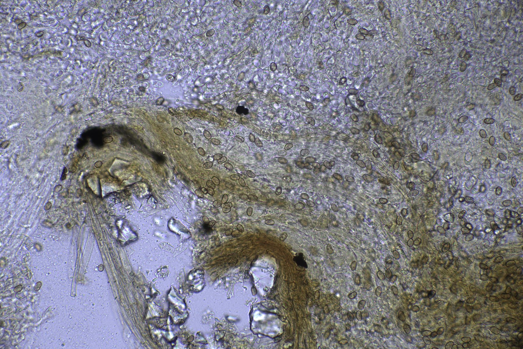
Sporen: 5,3µm x 8,5µm; 5,8µm x 8,8µm; 6,7µm x 9,3µm
Sporen Messung 2: 6µm x 9,9µm; 6,2µm x 9,7µm; 6,4µm x 10,5µm
Zystiden: 35,1µm x 8,5µm
Fruchtkörper oben:
pilzforum.eu/attachment/460257/
Fruchtkörper unten:
pilzforum.eu/attachment/460258/
Sporen und Messung:
pilzforum.eu/attachment/460259/
pilzforum.eu/attachment/460260/
Zystide:
pilzforum.eu/attachment/460267/
Zystide gemessen:
pilzforum.eu/attachment/460268/
Viele Grüße Marwin
