Hallo zusammen
Nachdem ich die vielen Hebelomas und Telamonien "losgeworden" bin, hier noch ein paar but gemischte Funde der letzten Wochen:
Zunächst ein paar Rötelritterlinge:
1: Lepista subconnexa
Eine Lepista von einer Alpweide. Die Hüte sind sonnengebräunt, ganz frisch wären sie weisslich.
Der Fund entspricht gut der Darstellung bei Jamoni.
Sporen mit deutlichen, cyanophilen Warzen.
2: Lepista martiorum
Unter Kiefern und Flaumeichen in einem Bruchwald. Geruch kräftig süsslich-parfümiert.
Sporen absolut glatt.
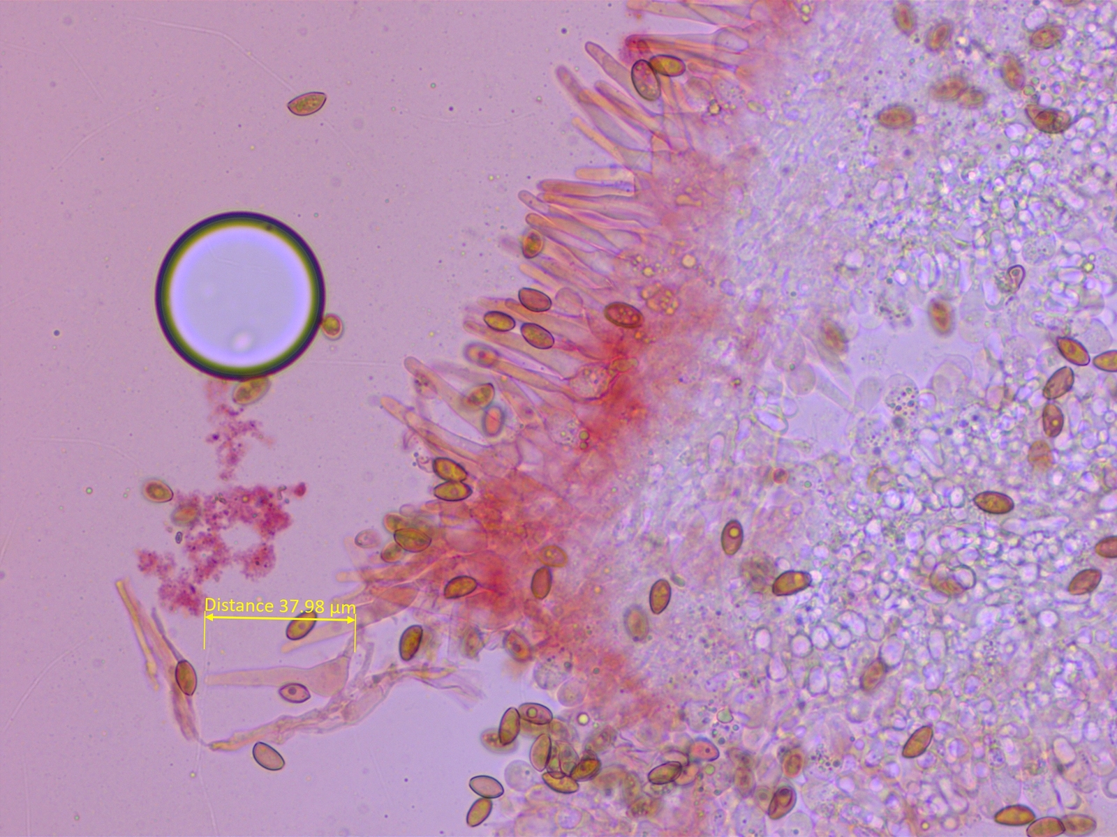
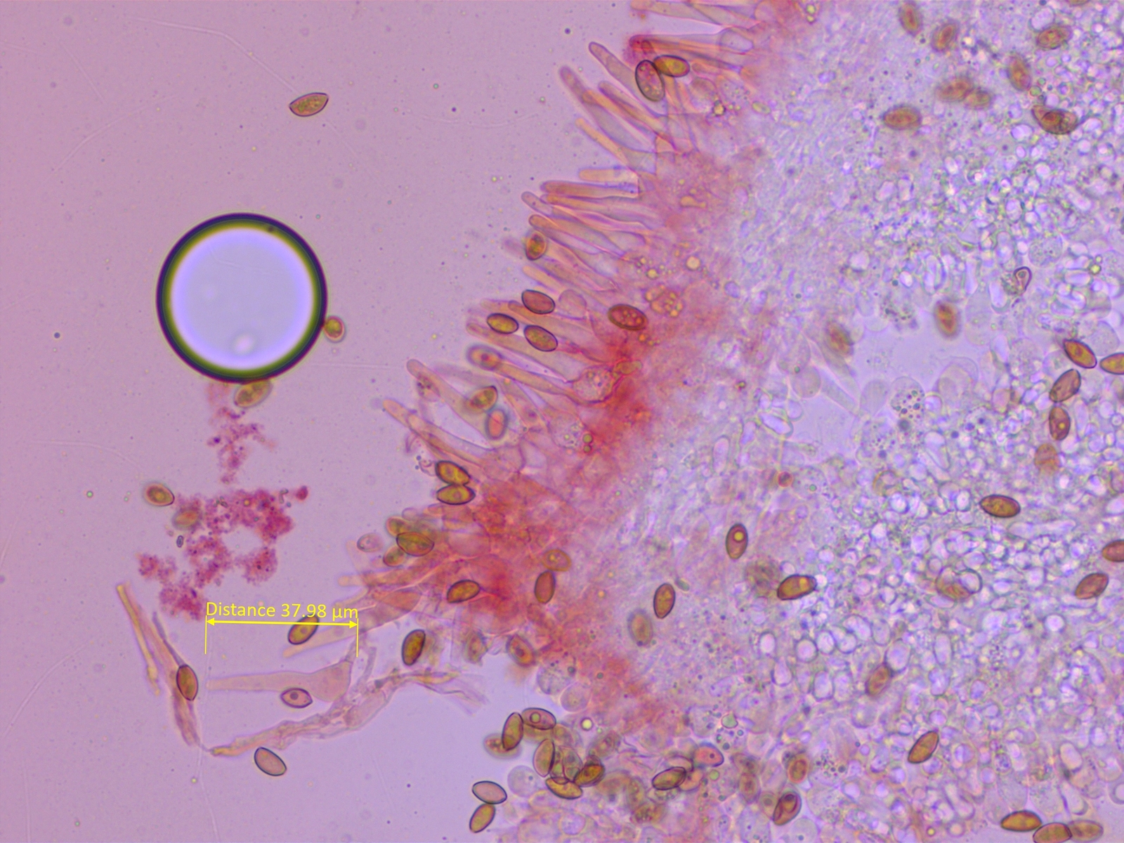
3: Lepista cf. panaeolus
Die Fruchtkörper passen mir makroskopisch nicht so recht zu L. panaeolus, aber ich finde nichts besseres.
Im Feld dachten wir erst an Atractosporocybe inornata, aber das war schnell widerlegt.
Geruch schwach aromatisch, Standort bei Kiefern.
Stark hygrophan über hellbraun zu cremefarben ausbleichend.
Sporen in Kongorot
Sporen mit wenigen, aber deutlichen, rundlichen Warzen
[trennlinie][/trennlinie]
Dann gab es jede Menge Lyophyllum's, die sich als sehr widerspenstig in der Bestimmung erwiesen.
4: Lyophyllum (Tephrocybe) cf. cessans
Dieser komische kleine graue Pilz hat siderophile Basidien und jeden Menge Cheilozystiden.
Habitat war ein Kiefern-/Fichtenwald. Geruch schwach mehlig.
Sporen breit elliptisch, etwas grösser als in den wenigen Beschreibungen.
Basidien nur schwach siderophil, darum bin ich nicht restlos überzeugt dass es wirklich ein Lyophyllum ist.
Die Cheilozystiden sind hingegen nicht zu übersehen.
Und am Stiel gab es auffällige büschelige Kaulozystiden.
5: Lyophyllum (Tephrocybe) baeospermum
Sieht aus wie ein langweiliger Trichterling, ist aber keiner. Geruch schwach mehlig-pilzig.
Hut hygrophan ausblassend zu creme. Habitat: Mischwald bei Kiefern und Birken.
Sporen kurz und klein, kaum grösser als 5x3.5 µm.
Basidien stark siderophil.
6: Lyophyllum (Tephrocybe) cf. platypus
Geruch stark mehlig-ranzig. Hut hygrophan zu weisslich ausblassend und denn rinnigartig bereift.
Sporen ähnlich wie bei der vorherigen Art, auch kurz und klein.
Basidien schwach siderophil.
[trennlinie][/trennlinie]
7: Pholiotina aberrans
Dieser kleine braune Pilz macht Spass unter dem Mikroskop.
Er wuchs im Kiefern-Fichtenwald.
Sporen mit Keimporus
Schneide dichtgepackt mit recht spitzen Cheilozystiden
HDS hymeniform mit auffallenden Pileozystiden.
Kaulozystiden ebenfalls zahlreich.
[trennlinie][/trennlinie]
Zwei schöne Körnchenschirmlinge gab es auch:
8: Cystodermella cinnabarina
In einem Bruchwald bei Birken, Erlen, Kiefern.
Sporen in Melzer
Brennhaar-Cheilozystiden.
9: Cystodermella granulosum
Im Kiefernwald.
Sporen in Kongorot
[trennlinie][/trennlinie]
Die Weichritterlinge sollen auch nicht zu kurz kommen...
10: Melanoleuca stridula
Nach der FN wäre das Melanoleuca melaleuca, weil er keine Zystiden hat.
Aber die neuste Publikation von Vladimir Antonin bringt etwas Licht in diese Gruppe, und M. stridula scheint mir da am besten zu passen.
Sporen mit feinen, zerstreuten Warzen.
11: Melanoleuca subpulverulenta
Dieser Weichritterling ist vergleichsweise leicht bestimmbar.
Er hat so eine feinsamtige Oberfläche.
Sporen wieder fein warzig
Cheilozystiden spärlich, aber vorhanden, meistens mit Kristallschopf
Das entscheidende Merkmal sind diese aufsteigenden Zellen in der HDS, die dem Hut sein Aussehen verleihen.
[trennlinie][/trennlinie]
12: Hemipholiota populnea
Sporen in Kongorot
Cheilozystiden
[trennlinie][/trennlinie]
13: Tricholomopsis sulfureoides
Die waren nur noch für ein schnelles Foto gut, die Unterseite war angeschimmelt.
Der vierte Nachweis dieser seltenen Art in der Gegend hier.
[trennlinie][/trennlinie]
14: Entoloma rhombisporum var. floccipes
Ein kleiner Rötling auf einer Waldwiese. Ich dachte schon das wird wieder eine Heidenarbeit, aber...
... die Sporen sind würfelförmig, damit war es dann sehr einfach.
Der Stiel war auf ganzer Länge flockig, daher var. floccipes.
HDS mit intrazellulärem Pigment.
Stiel mit büscheligen Kaulozystiden.
[trennlinie][/trennlinie]
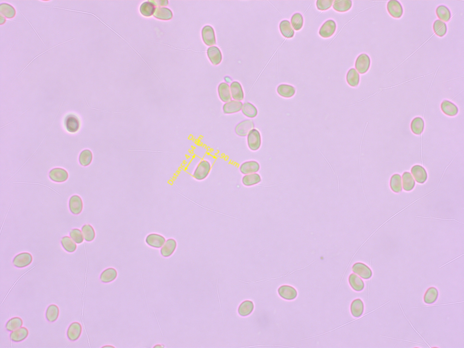
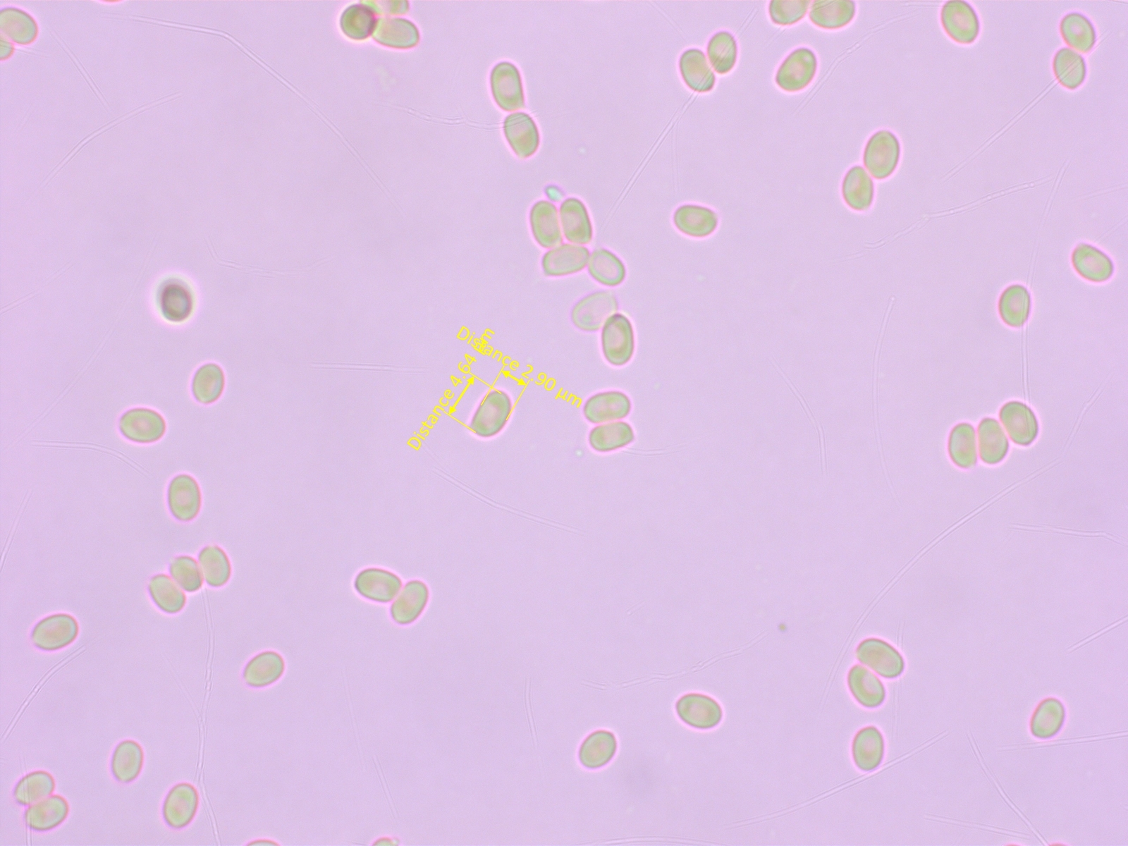
15: Hygrocybe mucronella
Der wuchs direkt neben den Rötlingen, hatte einen klebrigen Stiel und war gallebitter.
Die Sporen waren schön eingeschnürt ("muffin-förmig").
So, ich hoffe ihr hattet Spass.
Leider ist hier die Saison so ziemlich am Ende, es gab nun drei Tage lang Frost.
Viele Grüsse
Raphael
