Hallo zusammen,
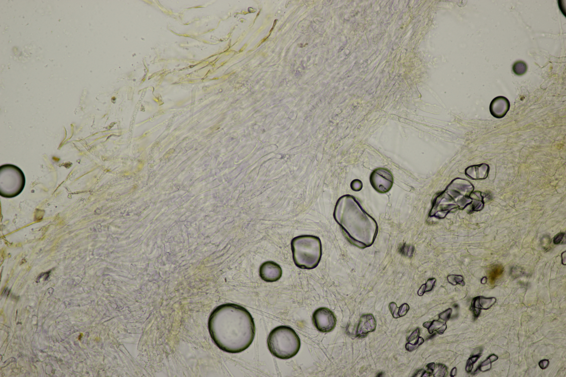
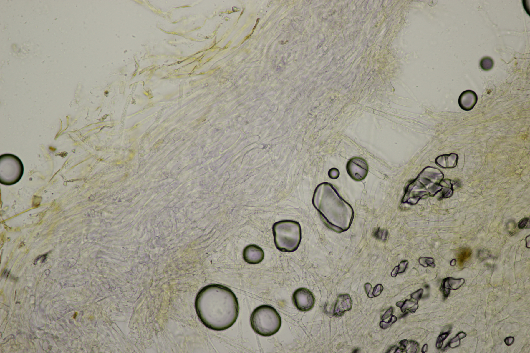
bei der gestrigen Exkursion an der Panzertalsperre haben wir auf einem moosigen Rasenstreifen am Straßenrand unter Carpinus und Betula einen Zwergenpopo ein Phlegmacium gefunden. Leider nur ein Einzelexemplar, aber was will man machen...Geruch war kein besonderer festzustellen, die Sporen messen 9-10.8 µm x 4.8-5.9 µm, Q=1.8-2.1 und sind feinwarzig. Mit KOH färbt das Fleisch gelb, die Huthaut orange-gelb. Wenn ich mit der Funga Nordica schlüssel, lande ich bei Phlegmacium im Telschlüssel G und dort dann bei C. balteatocumatilis. Jetzt habe ich von Cortinarien aber ja leider gar keine Ahnung. Was sagen die Experten?
Huthaut
Lamelle
Björn
