Hallo zusammen,
am letzten Samstag war ich auf einer längeren Tour durch das Ittertal und die Hildener Heide. Zum einen wollte ich im Ittertal nach Sarcoscyphas schauen (die ich auch gefunden habe, aber dazu mehr im zweiten Teil, der den Ascomyceten gewidmet sein wird) und außerdem eine Brandstelle in der Hildener Heide genauer unter die Lupe nehmen. Das war zwar nicht so erfolgreich, weil sich kein Brandstellenpilz zeigte, aber es gab insgesamt natürlich auf der Tour auch so noch etliche interessante Funde.
1. Gloeoporus dichrous
2. An Laubholz, vermutlich Erle fand sich dieser Porling. Schnallen sind vorhanden, Basidien 4-sporig mit Basalschnalle, Zystiden habe ich keine beobachten können. Das Hyphensystem wirkte auf mich monomitisch. Auffallend waren die extrem dicken Wände der generativen Hyphen, die schon fast an Skeletthyphen anderer Porlinge erinnerten. Die Sporen sind auffallend groß (8.7+-0.5) µm x (3.4+-0.2) µm, Q=2.5+-0.2, (7.7-9.7) µm x (3.2-4.1) µm, Q=2.2-2.9. Gibt es da Ideen?
3. Peniophora incarnata
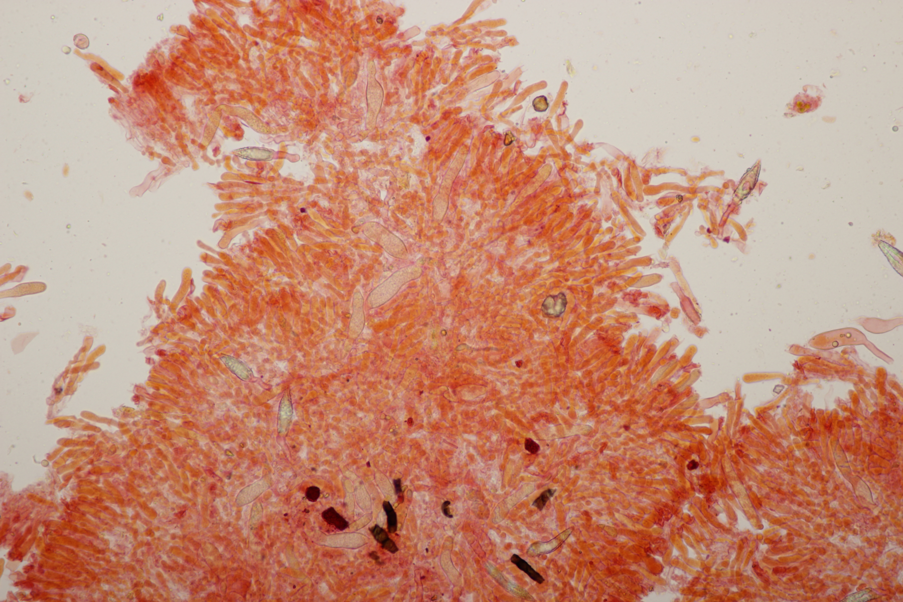
4. In der Hildener Heide dann eine Tomentella. Was man auf den Fotos hier leider nicht so gut sieht, sind Bereiche des Fruchtkörpers, die offenbar mit viel Hymenophor ausgestattet waren und schwärzlich waren. Mikroskopisch gibt es Schnallen, keine Zystiden und eine stark cyanophile Reaktion des Hymeniums. Rhizomorphen sind auch vorhanden. Die Sporen messen (7.2+-0.5) µm x (6.1+-0.6) µm, Q=1.2+-0.1, (6.4-8.0) µm x (5.1-7.2) µm, Q=1.0-1.4. Da kommen offenbar nur T. botryoides und T. ferruginea in Frage. Die Sporengröße liegt irgendwie so mittig zwischen den beiden Arten. Wegen des dunklen Hymenophors tendiere ich zu T. botryoides. Was meint Tomentella?
Einmal in Wasser
Ab hier in 3% KOH
5. Ein Rindenpilz aus der Hildener Heide auf verkohltem Kiefernstamm. Auffällig sind die septierten, dickwandigen Zystiden. Ansonsten gibt es Schnallen, 4-sporige Basidien mit Basalschnalle und Sporen von (3.7+-0.2) µm x (2.6+-0.2) µm, Q=1.4+-0.1, (3.2-4.1) µm x (2.2-2.9) µm, Q=1.3-1.7. Eigentlich hatte ich gedacht, daß man mit den septierten Zystiden schnell ans Ziel gelangt, aber irgendwie finde ich da so gar nichts Passendes.
6. Auf dem Heimweg bin ich dann noch an ein paar Ginkgobäumen vorbeigekommen. Da lohnt sich aktuell ein Blick auf die abgestorbenen Blätter des Vorjahres: Man findet dort nämlich mit etwas Glück kleine schwarze Punkte, die Teliosporen von Bartheletia paradoxa, einem ganz urtümlichen Pilz, der zwar Telien bildet, aber trotzdem kein Rost ist.
Björn
