Hallo zusammen
Diese Woche habe ich noch zwei kleine Abendrunden gemacht, viele Pilze gibt es nicht, aber es sind spannende Sachen dabei.
Am Dienstag war ich in einem sonnenexponierten Flaumeichenwald. Der ist normalerweise im Sommer dermassen ausgetrocknet, dass dort sicher kein Pilz wächst.
Aber dank des herrlichen gewittrigen Wetters gab es folgendes:
Dann noch ein kniffliger Täubling, den ich nicht zu 100% sicher bestimmt habe. Ich denke es ist aber folgender.
Bestimmt nach Moser, im Sarnari nur erwähnt, die Darstellung bei Marxmüller passt hingegen sehr gut.
Einzig störendes Element ist das Sporenpulver, das bei mir etwas zu hell ist.
Äusserlich an R. fellea erinnernd. Ist aber mild, Geruch schwach fruchtig. KOH negativ, Eisensulfat im Fleisch blassgrau.
Im Schnitt und bei Berührung keine Farbveränderungen.
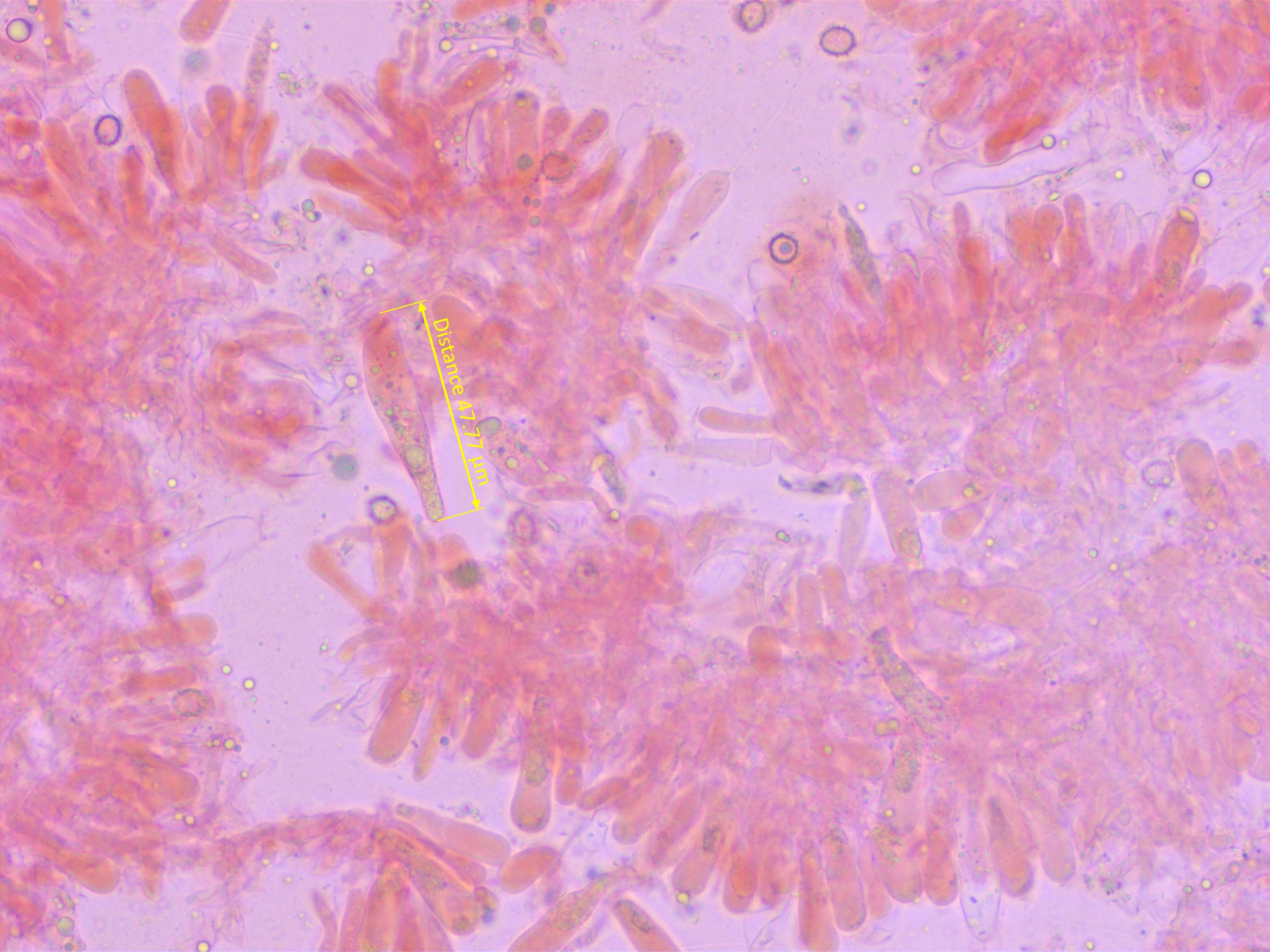
Sporen rundlich, sehr gross, im Schnitt über 10 µm lang, manche bis 12.5x10 µm, isoliert warzig.
In der HDS nichts inkrustiert.
Russula cf. straminea am Standort, es wurde schon dämmrig, deshalb sind die Farben zu blass.
Hier sieht man die Farben besser.
Sporen isoliert warzig, ganz selten mit sehr undeutlichen Verbindungen.
HDS in SV
Vielleicht hat ja jemand hier eine noch bessere Idee. R. straminea soll nach Moser zwar in der Schweiz vorkommen, ist aber sonst eher südlich orientiert.
Gestern war ich dann mal wieder in "meinem" Bruchwald. Neben dem Risspilz, den mir Ditte dankenswerterweise schon bestimmt hat, gab es da noch folgendes:
Zwei Lorcheln, nämlich:
Die zweite Lorchel ist etwas schwieriger. Im BMG-Forum habe ich eine entsprechende Diskussion gründlich studiert.
Ich meine, dass es Helvella oblongispora ist. Dafür sprechen der kaum dunkle Rand und das nicht pigmentierte Excipulum.
Vielleicht weiss Tricholomopsis , ob das stimmen kann?
Die Lorchel wuchs dort in hunderten Exemplaren, ich wusste nicht wo ich hintreten kann.
Dann zwei Trichterlinge, wie in der Gattung üblich steht die Bestimmung auf etwas wackligen Beinen.
Wenn man nach FN schlüsselt, landet man bei dieser Art. Nach Ludwig sollen sich vorherrschend gelbe Töne entwickeln, das war bei meiner Kollektion nicht der Fall.
Die Art wurde in der Gegend bereits dokumentiert und stimmt zumindest makroskopisch gut überein.
Noch bevor ich auf die Art kam, konnte ich mich für keinen Geruch entscheiden. Im Feld war er süsslich, nach einer Nacht im Kühlschrank süsslich-sauerkrautartig.
Im frischen Schnitt kommt auch noch eine Mehlkomponente dazu.
Clitocybe cf. diosma
Sporen recht klein, im Schnitt unter 5.5 µm lang.
HDS fein inkrustiert.
Dann noch ein junger Porling, den ich nach etwa 30 Minuten aus Verzweiflung mitnahm weil ich bis dahin nichts gefunden hatte.
Mein Kühlschrank ist jetzt schon wieder voll von dem heutigen Ausflug, darum werde ich dem nicht mehr viel Zeit widmen.
Er ist wohl zu jung um Sporen zu bilden, aber vielleicht kann ihm ja trotzdem jemand einen Namen geben.
Er wuchs in der Krone einer umgestürzten Kiefer.
Viele Grüsse
Raphael
