Hallo zusammen,
bevor wir hier den großen Kälteeinbruch im Januar hatten, hatte eine Pilzfreundin im Wuppertaler Süden eine riesige Ansammlung von Sarcoscyphas entdeckt. Das erforderte natürlich ein wenig Mikroskopierarbeit. Also habe ich mich am letzten Sonntag auf den Weg gemacht um nach den Fruchtkörpern Ausschau zu halten. Am Standort habe ich dann auch direkt die freigeschlagene Trasse unter einer Hochspannungsleitung entdeckt, wo sich die Pilze befinden sollten. Mein Blick ging also sofort in die Gehölze, die dort links und rechts des Weges standen und wo es zum Teil Totholz gab. Aber von den angeblich hunderten Fruchtkörpern war weit und breit nichts zu sehen. Nachdem ich also gute zwanzig Minuten immer weiter vom Weg entfernt gesucht hatte, erspähte ich oben auf dem Weg eine bekannte Gestalt. Es war Jörg, der den Standort dort kannte und ahnte, daß ich mich dort auf die Suche gemacht hätte. Als ich ihm klagte, daß ich noch keine Pilze gefunden habe, war er sehr erstaunt, da doch angeblich die ganze freigeschlagene Trasse damit voll wäre. Und in der Tat, wieder oben angelangt präsentierten sich die Sarcoscyphas in rauen Mengen. Aber wenn man nicht direkt auf der Freischlagfläche sucht, findet man die natürlich nicht. Insgesamt also ein eher ungewöhnlicher Standort für Sarcoscypha, die ich sonst eher auf Totholz im Wald kenne und nicht auf Holzhäckseln. Scheinbar schmeckt ihm die Weide aber auch in kleiner Form ![]()
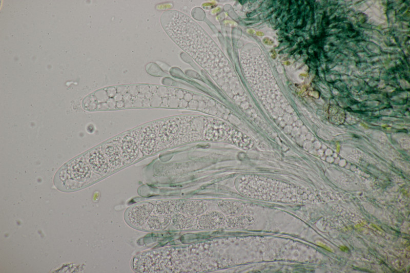
Mikroskopisch ergab sich dann ohne Zweifel Sarcoscypha austriaca:
Im Anschluß sind wir dann das Gelpetal hinaufgewandert. Kurz vor Ende des Tales kamen wir an einen Baum, an dem Jörg meinte, dort würden Lebermoose wachsen und man könne ja mal nach Mniaecia jungermanniae schauen, auch wenn es noch recht früh im Jahr war. Nach kurzer Suche hatte Jörg dann auch das Lebermoos ausfindig gemacht. Ich holte also meine 10-fach Lupe heraus, inspizierte das erste Stück Moos und hatte direkt Fundglück. Offenbar sind diese kleinen Pilze für mich deutlich einfacher zu finden, als die großen roten Brocken von oben
Insgesamt gab es auch hier einen sehr ausgeprägten Bestand dieses sehr hübschen Pilzes:
Björn
