Hallo Becherfreunde,
bei mir im Garten wächst grad massig ein kleines orange-gelbes Becherchen.
Ein paar Daten:
Fundort: Griechenland, Garten, direkt auf sandig-lehmigem Boden, gerne auf Stellen, die als Katzentoilette misbraucht wurden.
Farbe: Orange-gelb , nicht leuchtend orange
Größe: bis ca 7 mm
Wuchsart: rasig - große Flächen bedeckend.
Sonstiges: ungestielt, Rand glatt (keine Härchen)
Byssonectria würde auf den ersten Blick makroskopisch ganz gut passen, B. terrestris soll zudem auch auf Stellen wachsen, wo Rehe hingepinkelt haben. Katzen sind zwar keine Rehe, aber...
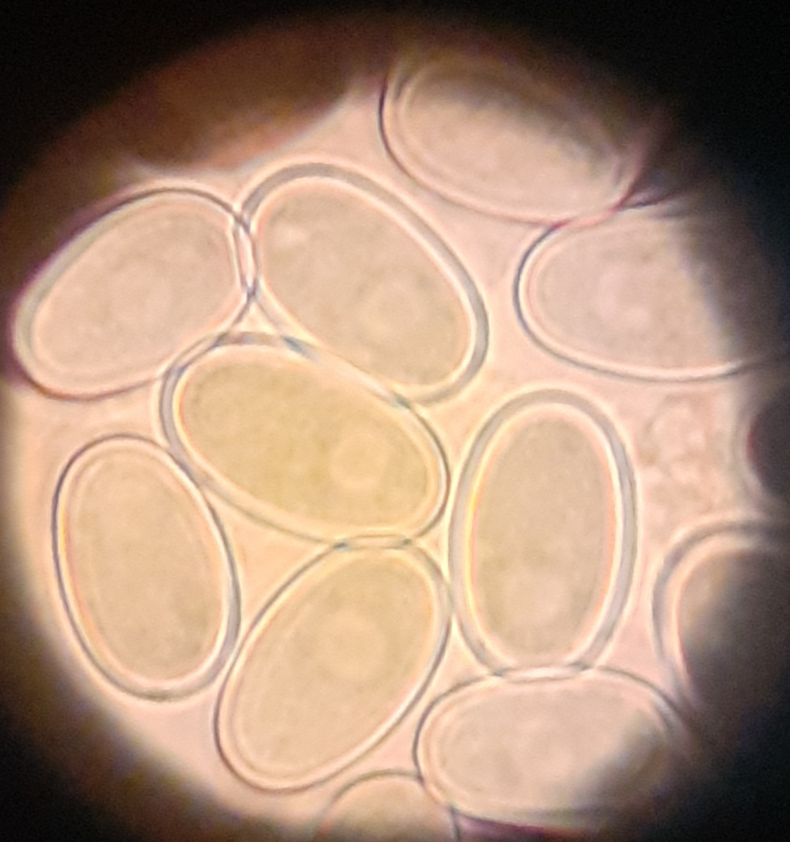
Geht da makroskopisch was, zumindest bei der Gattung? Wenn nicht: gibt es eindeutige mikroskopische Dinge, auf die ich als absoluter Pilzmikro-Laie achten kann, die weiterhelfen?
Bilder (für Originalgröße anklicken):
01: etwas unscharf, aber Kleeblatt zum Größenvergleich
02:
03:
04:
05:
06:
07:
