Servus,
keine Ahnung sollte man ja nicht sagen, denn Ahnungen hat man genug.
Nur führen die oft nicht zum Ergebnis.
So wie hier:
Habe vorgestern auf grobem Rindenmulch den Pilz hier gefunden.
Hut 1,2 cm, hell rostrot,
Stiel 3,5 x 0,4cm, Basis nur leicht verdickt, voll.
Lamellen hellgelblich, ausgebuchtet angewachsen
Das
Fleisch im Hut rötet stark und in der Stielrinde sind
Karotinanhäufungen eingelagert. 3%
KOH im Hutfleisch leicht dunkel-olive-grau 3%
KOH im Stielfleisch deutlich gelb
3%
KOH auf Lamelle keine starke Verfärbung
KOH 3 % auf Hutfleisch und Stielfleisch
Schnitt sofort rötend
deutliche Karotinklumpen auch in der Stielrinde
Es ist ein Braunsporer .
Und -wenn ich alles richtig interpretiert hab - mit
Chrysozystiden, Cheilozystiden und Kaulozystiden –
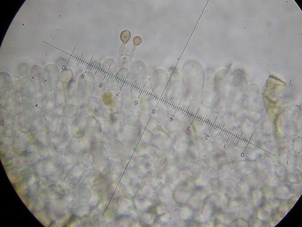
Lamellenschneide
in Kongorot mit kollabierter Chrysozystide - vermutlich !
Chrysozystide?
Außerdem hat das Teil hauptsächlich 1-2 und nur selten 3-4 sporige Basidien.
Schnallen sind überall vorhanden.
Die Sporen (10)12-17(20) x 6-8µ,
sind langellipsoid-tropfig – teils schiffchenförmig,
braun, leicht dickwandig und glatt,
mit abgestutztem, deutlich sichtbaren Keimporus
Mit Melzers
Die HDS besteht - keine Ahnung wie ich das beschreiben soll - aus
Hyphen und kurzgliedrigen Zellen.
Keine Pileozystiden.
Darunter lockerer Verband aus großen, zylindrisch-taillierten Hyphen
Kaulozystiden ? fädig, 90°abstehend
So, hab jetzt 2 Tage damit verbracht einen Namen zu finden,
komme aber nicht einmal in eine sichere Gattung.
Das nächste wäre vielleicht Hypholoma oder Pholiota.
Ph. tuberculosa würde ja vom Namen her passen ( Rötender Schüppling)
nur sind die Sporen zu groß – womöglich wegen der 1-2sporigen Basidien,
doch auch der sichtbare KP
und der nicht faserschuppige Hut sprächen m.M.n. dagegen.
Was meint ihr denn dazu ?
Grüße
Felli
