Hallo liebes Forum
Mein neues Mikroskop läuft heiss... Und ich habe unter anderem diesen mir unbekannten Pilz mikroskopiert, welcher ausserordentlich interessante Zystiden aufweist. Soll ja bei den Helmlingen so einige geben mit sehr interessanten Zystiden.. Hat jemand gerade eine Idee, um welche Pilzart es sich handelt? Eventuell ist es gar kein Helmling??
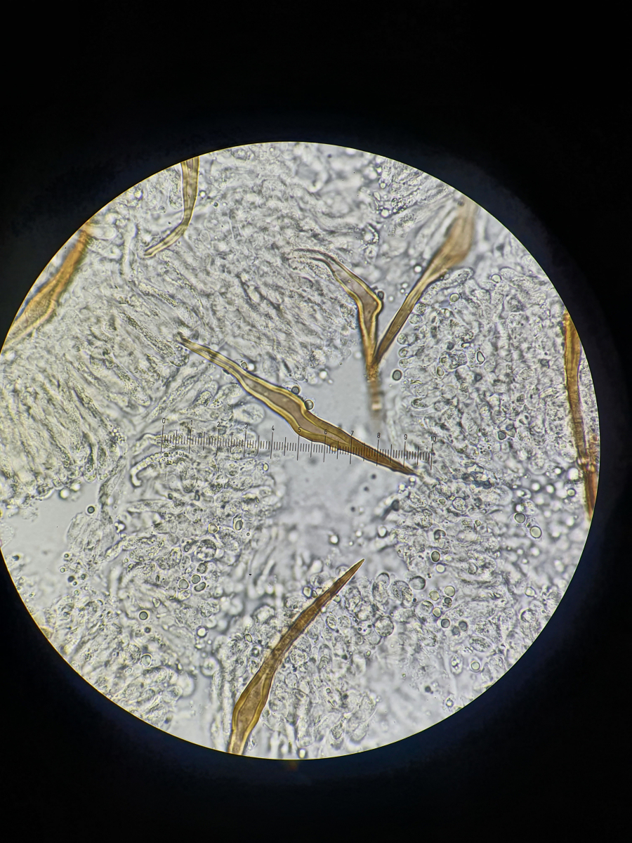
Abgebildet sind Quetschpräparate von Lamellen in KOH 3% (und einige wenige in Melzer). Diejenigen Bilder, welche eine Skala anthalten, sind in 1000x-Vergrösserung (Öl Immersion) entstanden. Die Zystiden sind teils über 100 Mikrometer lang und sind sogar durch die 40x Vergrösserung sichtbar. Einige Fotos davon sind hier auch angehängt. Sie sind überall zu finden, also Pleuro- und Cheilozystiden, wobei an der Lamellenschneide wesentlich mehr und wohl auch ein bisschen anders geformte Zystiden zu finden sind.
Besten Dank,
Bruno
