Hallo zusammen,
da man dieser Tage ja nie weiß, ob nicht morgen schon der große Shutdown kommt, war ich gestern in der Westruper Heide um dort nach Gymnosporangium auf Wacholder zu schauen. Den muß es dort geben, schließlich habe ich ihn im letzten Sommer dort auf Sorbus gefunden. Leider war ich letztes Jahr erst zu früh und dann zu spät, um ihn auf Sorbus bestimmen zu können. Deshalb also jetzt die Hoffnung auf die Telien an Wacholder. Leider konnte ich den Pilz aber nicht ausfindig machen. Aber dafür gab es andere spannende Funde!
1. Ein falscher Mehltau auf einer unbekannten Pflanze. Eventuell Spergula?
2. Lophodermium juniperinum
3. Colpoma querincum
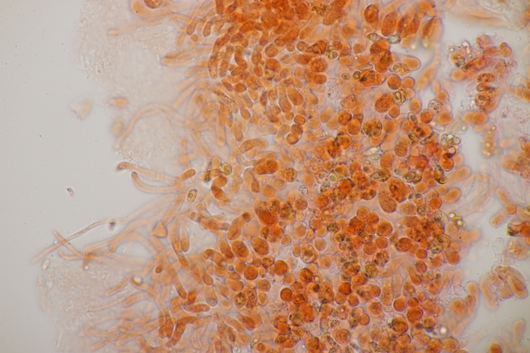
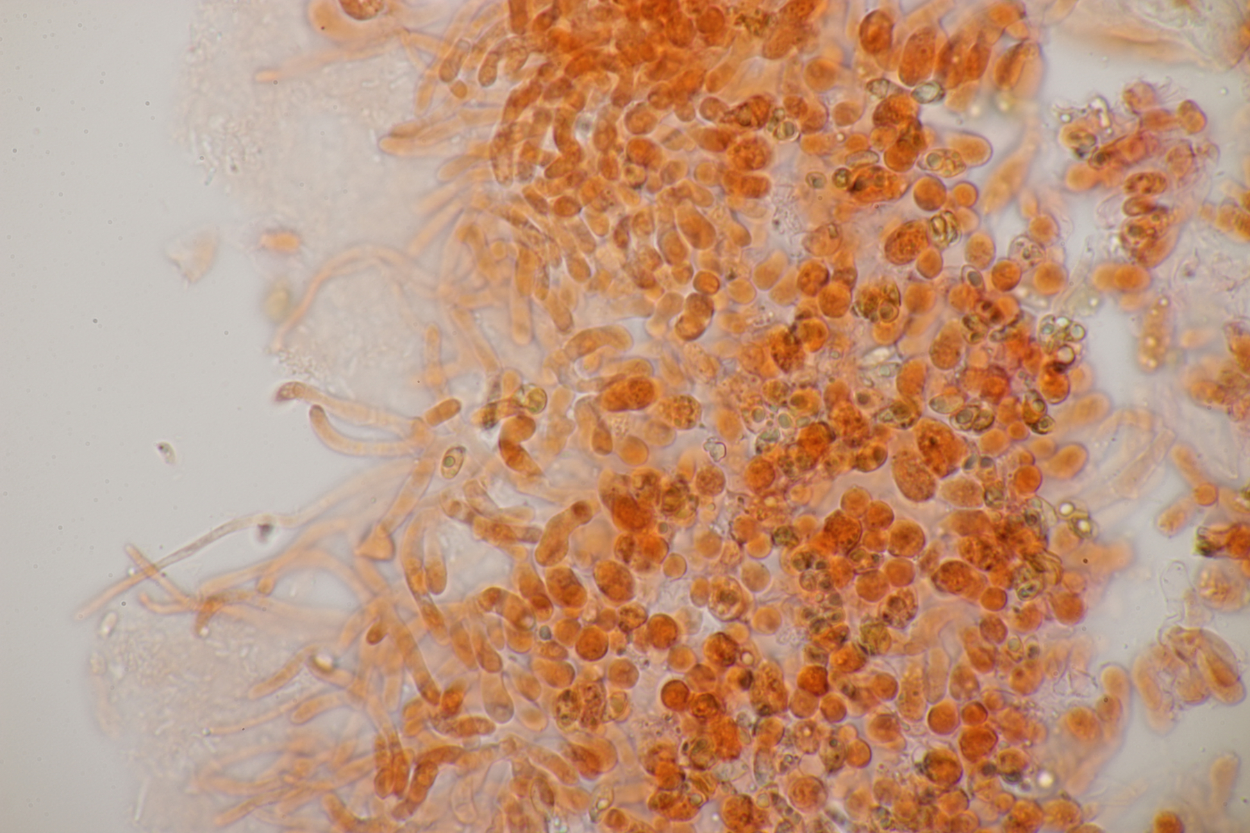
4. Hier hatte ich im Feld erst an kleine Becher gedacht. Aber im Mikroskop entpuppte sich das Ganze dann als Basidiomycet. Hat da jemand eine Idee zu?
5. Ein Porling an Kiefer. Schnallen vorhanden, oft mit Loch zum Durchgucken. Monomitisch, keine Zystiden erkennbar (oder sind die langen Hyphen Zystiden). Sporen (6.0+-0.4) µm x (2.1+-0.2) µm, Q=2.9+-0.3
6. Badhamia utricularis
7. Puccinia lapsanae ex Lapsana communis
8. Eine Anamorphe toten Kiefernnadeln
9. Deconica montana
10. Peronospora conglomerata ex Geranium sp. Auf dem Weg zum Bahnhof eingesackt, deshalb auch ohne Foto der Pflanze. Ich hoffe, daß ich das noch nachholen kann.
11. Cladonia uncialis
12. Cetraria aculeata
13. Cladonia sp.
14. Cladonia sp.
15. Cladonia uncialis
16. Cladonia sp.
17. Cladonia sp.
18. Cladonia sp.
Björn
