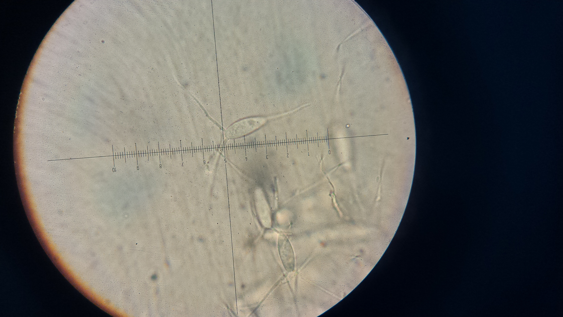
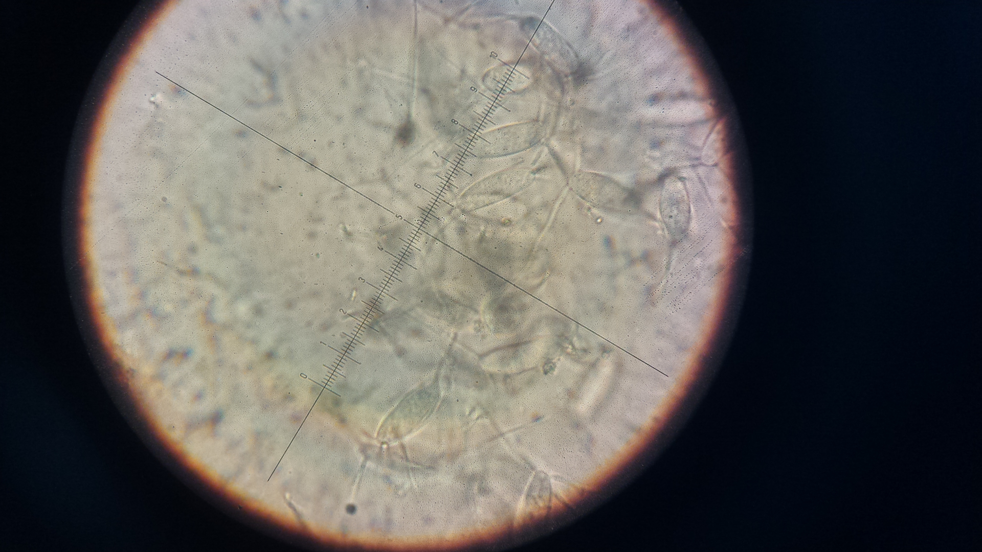
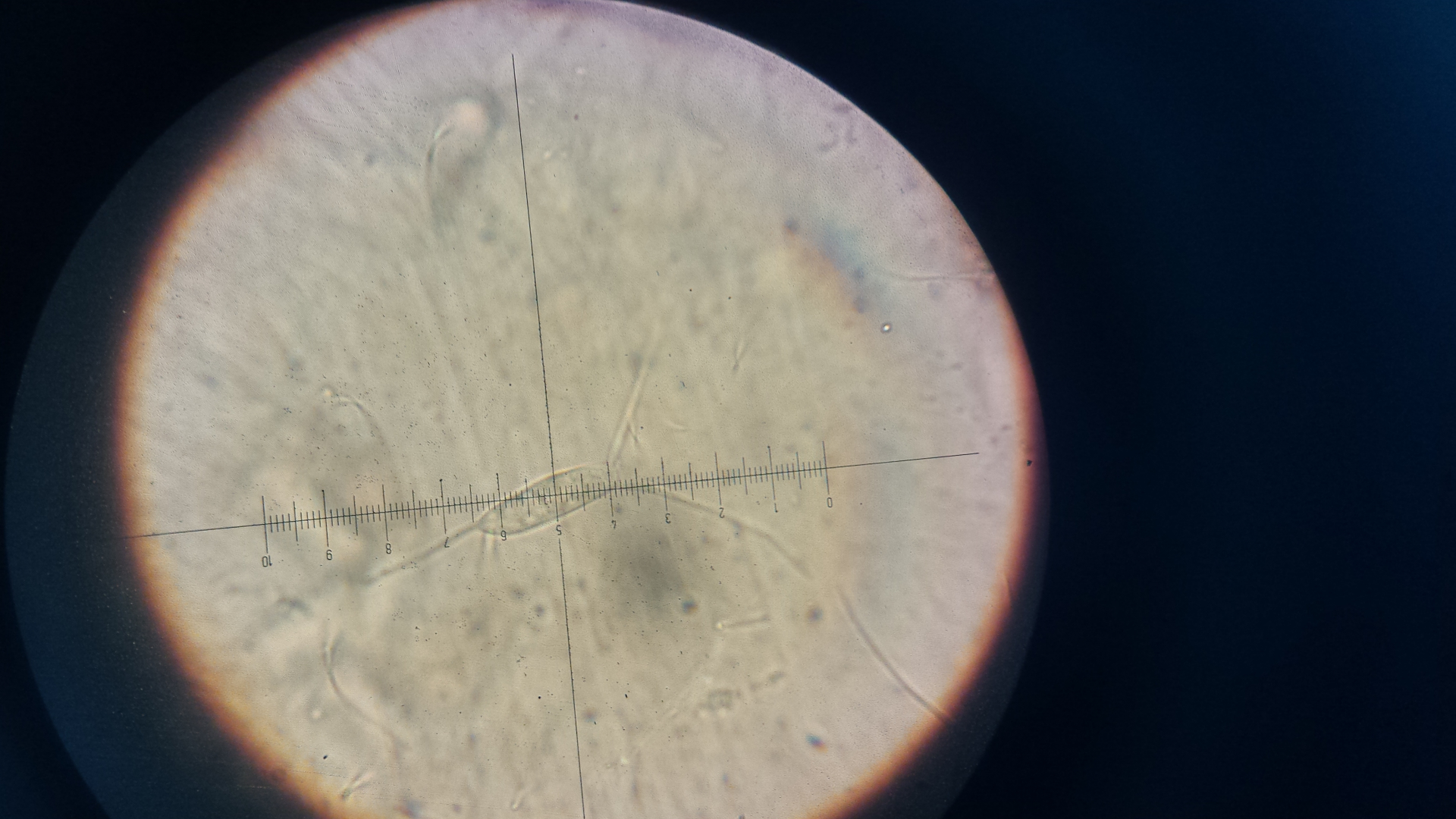
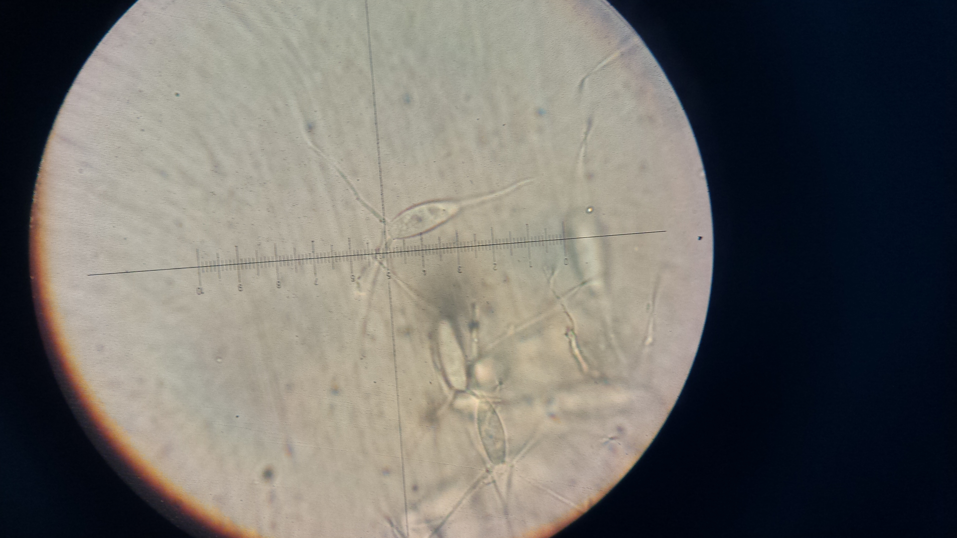
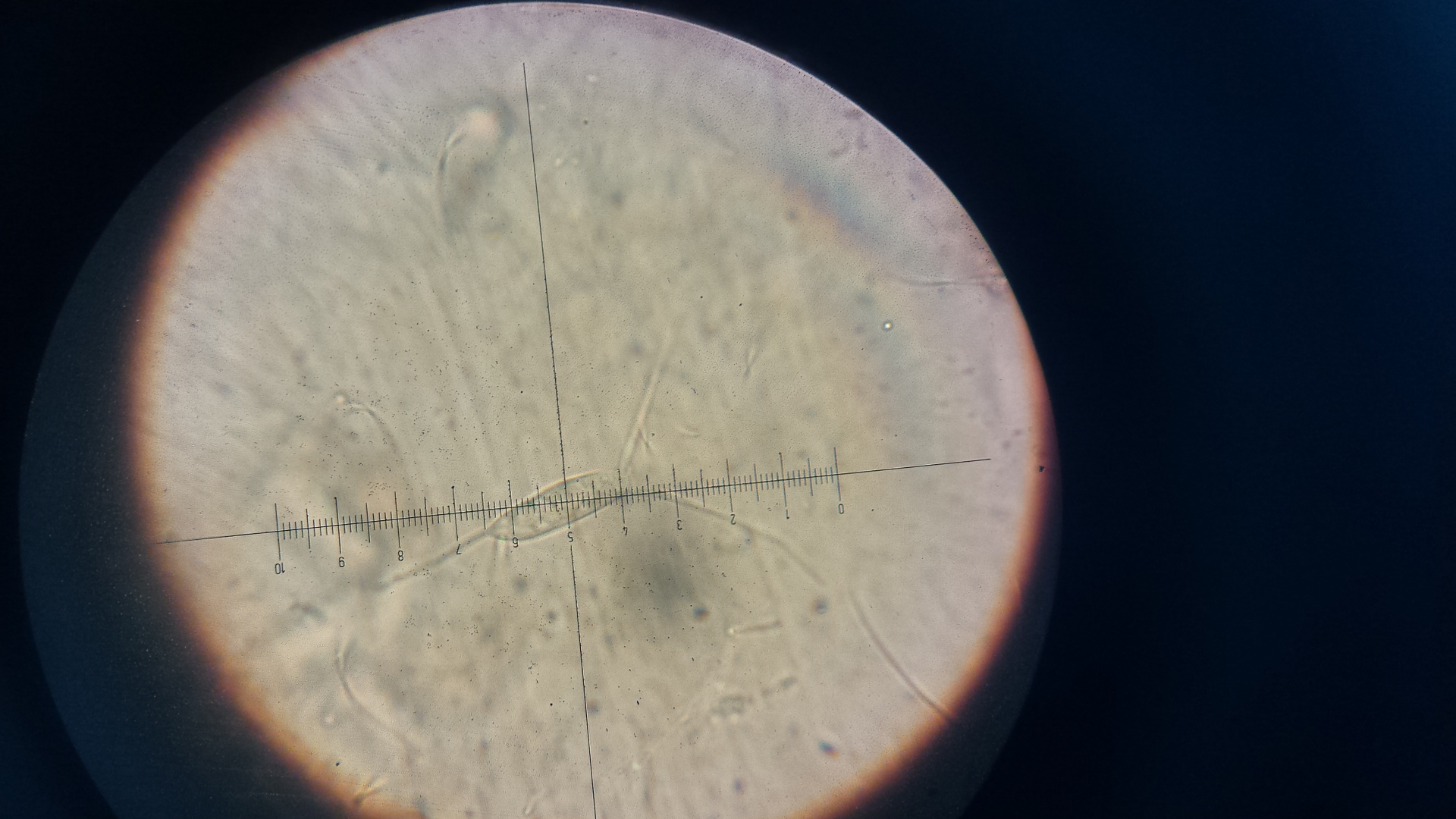
Das hatte ich gerade auf dem Namibia-Hase, winziger schwarzer Punkt, eine einzelne Delitschia-spore und ganz viele von den Dingern, ca. 22 µm lang, mit 1-3 Anhängseln an jedem Ende, etwas länger als die Spore. Ich hab keinerlei Idee.
Es gibt 3 Antworten in diesem Thema, welches 2.209 mal aufgerufen wurde. Der letzte Beitrag () ist von Mreul(✝).
