Hallo zusammen,
am gestrigen Brückentag ging es für mich eine Runde durch den Stadtwald in Duisburg. Besonders viel war pilztechnisch nicht los, aber immerhin gab es den einen oder anderen Phytoparasiten zu bestaunen. Und Mairitterlinge hatte es auch.
1. Plasmopara nivea auf Aegopodium podagraria
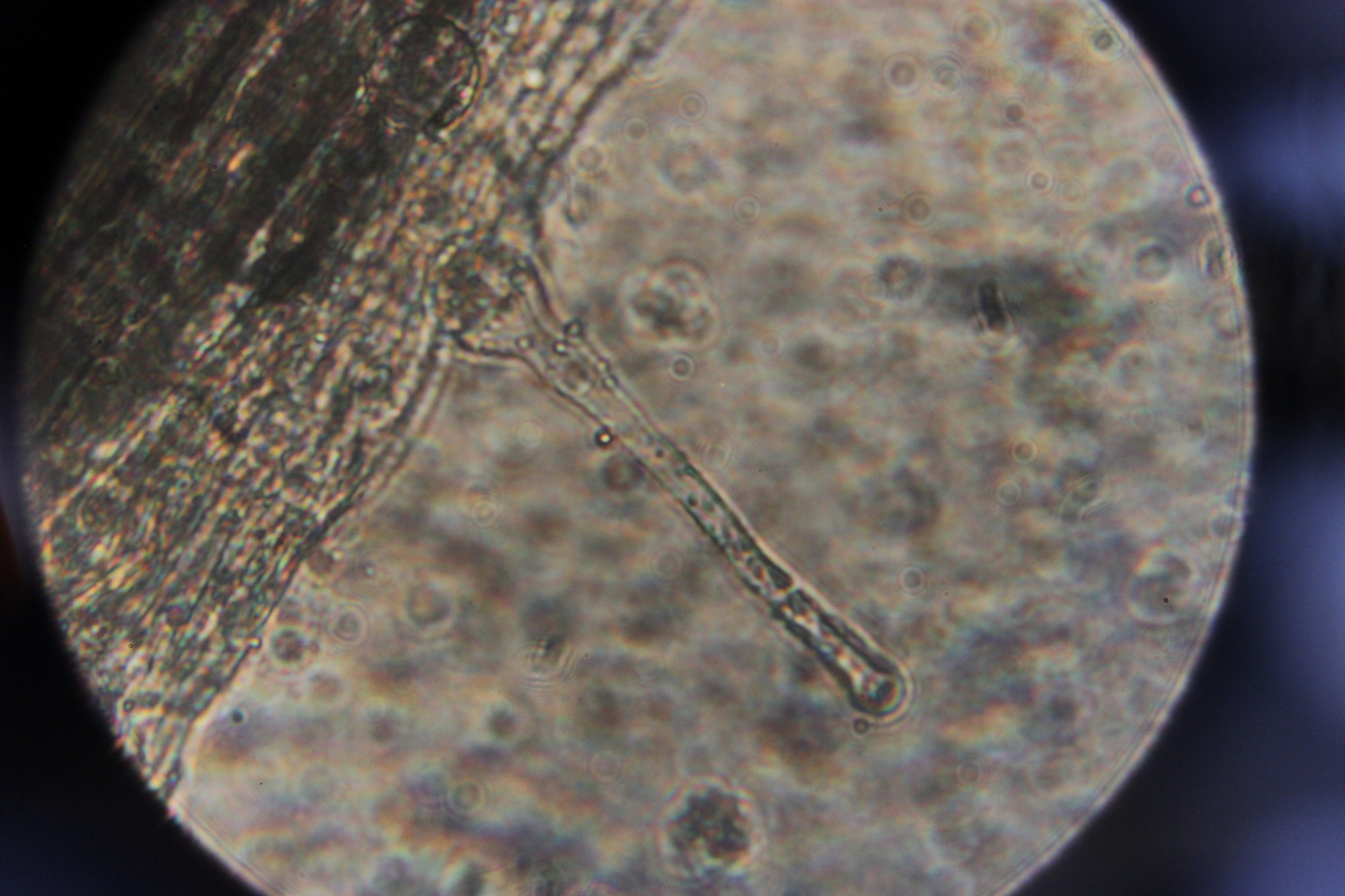
2. Hyaloperonospora niessliana auf Alliaria petiolata
3. Peronospora ficariae auf Ficaria verna
4. Puccinia sessilis on Arum maculatum
5. Kann man den aufgrund der weißen Farbe schon sicher als Enteridium lycoperdon ansprechen?
6. Calocybe gambosa mit charakterisch mehlig-gurkigem Geruch
7. Der Fund hat gestern Abend schon für einige Diskussionen gesorgt. Am Ende wird es wohl auf Coprinellus domesticus oder Coprinellus ellisii hinauslaufen. Leider kann ich ja keine absoluten Sporengrößen messen...
Björn
