Hallo zusammen,
letzte Woche habe ich drei Porlinge gefunden (alle an Buche); bei dem einen bin ich mir recht sicher, bei den anderen bräuchte ich eure Hilfe.
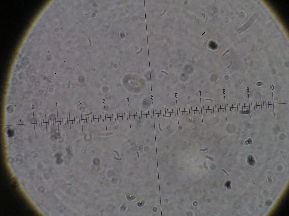
Hier zunächst die Art, die ich als Skeletocutis nivea (Kleinsporiger Knorpelporling) angesprochen habe; charakteristisch die winzigen Sporen (sorry .. meine ziemlich ersten Versuche mit dem Mikroskop!):
2. Vollresupinat; irgendwie grünlich irisierend, mit weißem Rand; ich dachte an Inonotus, konnte aber nichts Stimmiges finden:
3. Halbresupinat; wahrscheinlich Phellinus, aber auch hier passte nichts wirklich:
Ich bedanke mich im Voraus für eure Unterstützung!
Viele Grüße
Wilfried
